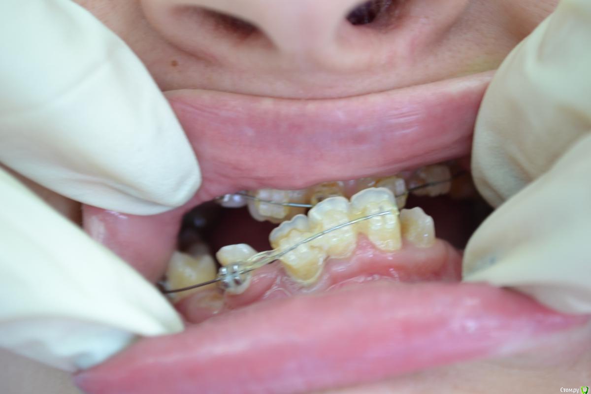
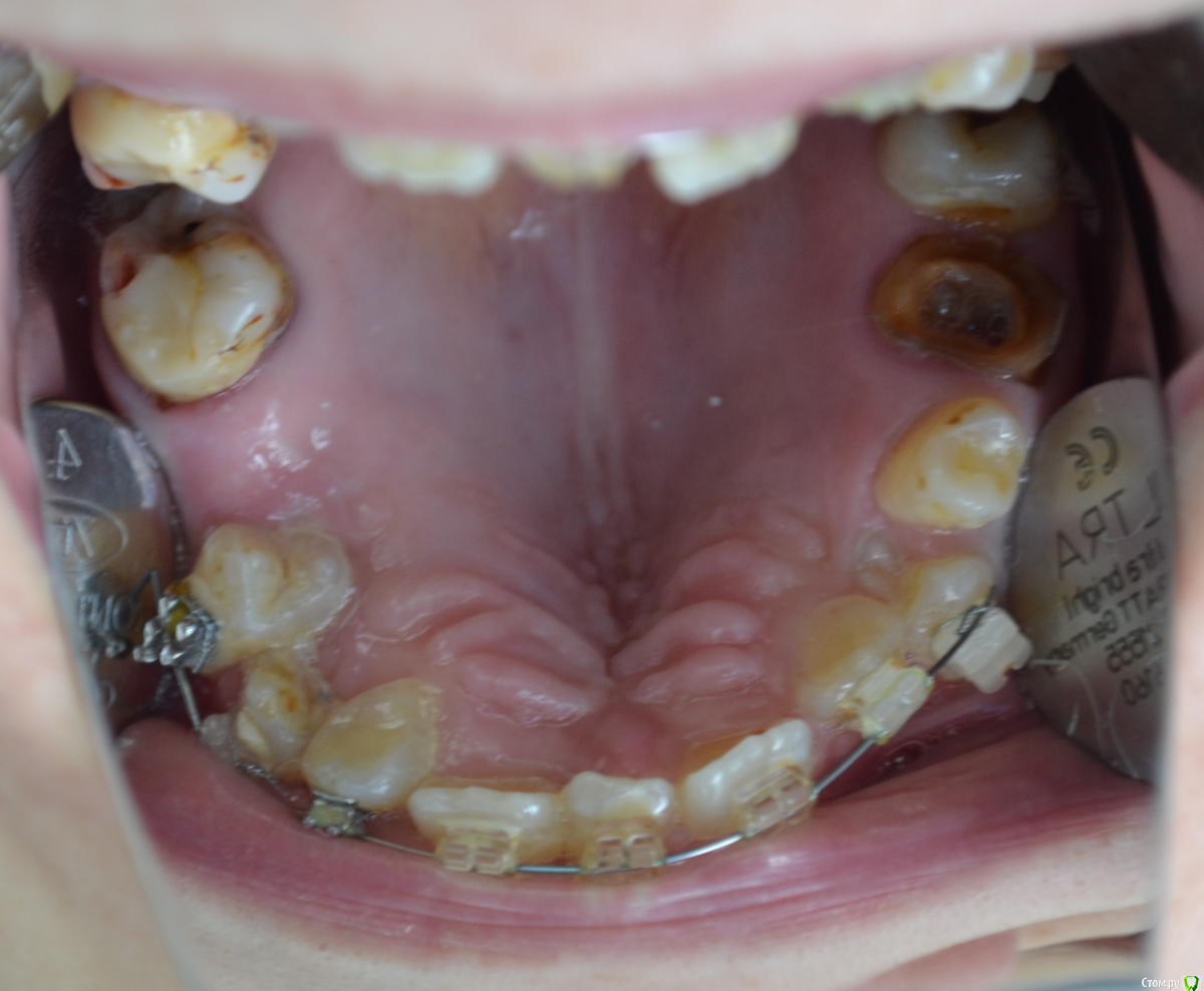
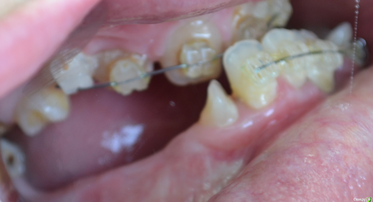
nikor117 Опубликовано 14 октября, 2015 Поделиться Опубликовано 14 октября, 2015 Здравствуйте, уважаемые коллеги.Извиняюсь за качество фото. Хотелось бы помочь пациентке 28 лет. В общем ситуация видна по фото. Сам я ортопед опыта в таких ситуациях нет, возможно подскажете куда ей стоит обратиться. Заранее спасибо. Если нужна дополнительная информация скажите постараюсь выложить. Ссылка на комментарий
Brigita Опубликовано 14 октября, 2015 Поделиться Опубликовано 14 октября, 2015 а что она хочет-то?у ортодонта она, кмк уже давно не была Ссылка на комментарий
nikor117 Опубликовано 14 октября, 2015 Автор Поделиться Опубликовано 14 октября, 2015 Возможность красиво улыбаться, с ее слов на ортодонтии она уже порядка 8 лет, брекеты стоят 1.5 или 2 года, сама врач, сложность ситуации представляет, хочет услышать совет Ссылка на комментарий
Yana guapa Опубликовано 14 октября, 2015 Поделиться Опубликовано 14 октября, 2015 эти фото были ведь на соседнем форуме "...." . там были советы, и хирурги и ортодонты отписывались. причем не так давно. и фото были без брекетов, до начала лечения (около 6 месяцев назад). не похоже на 1.5 года с брекетами здесь . тем, что у нее на зубах стоит сейчас - не помочь это точно. 4 Ссылка на комментарий
Yana guapa Опубликовано 14 октября, 2015 Поделиться Опубликовано 14 октября, 2015 ТЕ советы не помогли? Ссылка на комментарий
nikor117 Опубликовано 14 октября, 2015 Автор Поделиться Опубликовано 14 октября, 2015 впервые они выложены здесь, Ссылка на комментарий
nikor117 Опубликовано 14 октября, 2015 Автор Поделиться Опубликовано 14 октября, 2015 на каком форуме, хотелось бы посмотреть Ссылка на комментарий
Yana guapa Опубликовано 14 октября, 2015 Поделиться Опубликовано 14 октября, 2015 сейчас поищу, в личку ссылку скину. Ссылка на комментарий
m.d.n Опубликовано 14 октября, 2015 Поделиться Опубликовано 14 октября, 2015 А можно и мне в личку Ссылка на комментарий
Ayrat_zub Опубликовано 18 октября, 2015 Поделиться Опубликовано 18 октября, 2015 и мне) Ссылка на комментарий
Monkey Опубликовано 18 октября, 2015 Поделиться Опубликовано 18 октября, 2015 (изменено) и мне, пожалуйста у пациентки похоже синдром Крузона Изменено 18 октября, 2015 пользователем Monkey 1 Ссылка на комментарий
Yana guapa Опубликовано 18 октября, 2015 Поделиться Опубликовано 18 октября, 2015 (изменено) и мне)Айрат, скинула Изменено 18 октября, 2015 пользователем Yana guapa 1 Ссылка на комментарий
Dina_N Опубликовано 3 ноября, 2015 Поделиться Опубликовано 3 ноября, 2015 сейчас поищу, в личку ссылку скинускиньте, пожалуйста! интересный случай Ссылка на комментарий
Magomed Опубликовано 12 ноября, 2015 Поделиться Опубликовано 12 ноября, 2015 и мне ,пожалуйста Ссылка на комментарий
IvanK Опубликовано 13 ноября, 2015 Поделиться Опубликовано 13 ноября, 2015 Коллеги, пользуйтесь личкой 1 Ссылка на комментарий
Рекомендуемые сообщения
Для публикации сообщений создайте учётную запись или авторизуйтесь
Вы должны быть пользователем, чтобы оставить комментарий
Создать аккаунт
Зарегистрируйте новый аккаунт в нашем сообществе. Это очень просто!
Регистрация нового пользователяВойти
Уже есть аккаунт? Войти в систему.
Войти