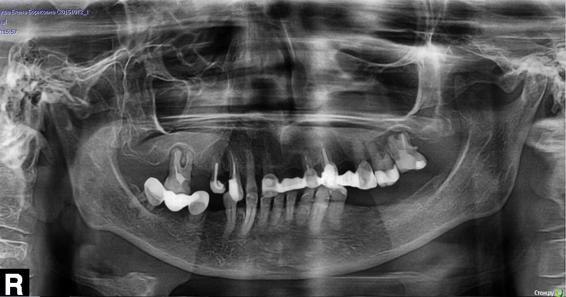
Swa Опубликовано 13 октября, 2015 Поделиться Опубликовано 13 октября, 2015 Здравствуйте, уважаемые специалисты! Пожалуйста, помогите разобраться с возникшей проблемой. Проблема у моей мамы (возраст 67 лет). Я понимаю, что консультирование через третьих лиц не приветствуется, но мама не дружит с интернетом и плохо представляет, что означает «форум» в интернете. Ниже прикрепляю её панорамный снимок (на всякий случай двумя способами, увеличиваются кликом). Где-то месяц назад начала появляться припухлость левой щеки (на снимке справа – зеркальное отражение). В данный момент припухлость довольно ярко выражена, кожа натянута. Лицо стало ассиметричным. Область припухлости: чуть ниже периорбитальной области и спускается вниз вдоль носогубной складки, в непосредственной близости с носом. То есть припухлость находится скорее над передними зубами, а не над боковыми зубами. Покраснения кожи нет.Если смотреть на снимок на мониторе, то проблемная область справа вверху, а не слева.Размеры припухлости примерно: 4,5 см. на 5 см. Боли, по словам мамы, «нет никакой абсолютно». Температура не повышена (36,2 ). Дней 5 назад она ездила в государственную стоматологическую поликлинику, её долго осматривали терапевт, затем несколько хирургов. Простукивали все зубы. Реакции в виде боли не было. Было только «неприятное ощущение» при простукивании верхней «семёрки» с левой стороны (на снимке справа).Все (и терапевт, и хирурги) единогласно сказали, что припухлость данной локализации могут давать только передние зубы, а с ними, якобы, всё в порядке (судя по реакции на простукивание).Сказали также, что, возможно, это какое-то заболевание челюсти и что они могут выписать направление в стационар челюстно-лицевого отделения. Два дня спустя она сделала панорамный снимок (в поликлинике направить на рентген не посчитали нужным). Также я увидела на верхней челюсти над третьим и четвёртым зубом (на снимке справа вверху) сильное воспаление десны (больше над третьим). Десна ярко розового цвета, выступает (десна) немного вперёд, но без свища! По словам мамы, такое воспаление десны возникло почти сразу после установления моста с коронками. Мост вверху установлен около трёх лет назад. Я понимаю, что, возможно, нужно обратиться также к дерматологу, но прежде чем это сделать, хотелось бы исключить проблему с зубами / челюстью. Была бы очень признательна за подсказки коллективного разума: 1) Видите ли Вы на снимке какое-либо заболевание челюсти, требующее госпитализации в стационар челюстно-лицевой хирургии? Возможно, остеомиелит (или что-то ещё)? Или по панорамному снимку подобные заболевания определить невозможно?2) Есть ли воспаление вокруг корней третьего и четвёртого зубов (на снимке справа вверху)? Повторюсь, над ними очень воспалена десна. Могут ли эти зубы (или воспалённая десна над ними) вызывать ярко выраженную припухлость на щеке?3) Есть ли воспаление вокруг корней верхней семёрки (на снимке справа)? При простукивании неприятные ощущения (+ он немного шатается).4) На какие ещё зубы (судя по снимку) нужно обратить внимание?5) Какие именно зубы (из проблемных на снимке) могут давать такую припухлость (если вообще могут)?6) Какие зубы (из проблемных на снимке) не подлежат лечению и которые необходимо только удалить?7) Какие зубы можно попробовать пролечить?8) Может ли пародонтоз (пародонтит?) (вижу по снимку, что он есть) вызвать такое вот воспаление в виде припухлости на щеке? Заранее большое спасибо всем за ответы, с ув., Светлана. http://s017.radikal.ru/i436/1510/f0/61e1f7d9beaf.jpg Ссылка на комментарий
kozloff Опубликовано 14 октября, 2015 Поделиться Опубликовано 14 октября, 2015 (изменено) Видится мне приличных размеров киста на зубе 11 (первый резец справа вверху)Помимо этого: воспаления на корнях 13 (клык слева), 17 (второй моляр слева), 16 (моляр справа)Так же с Ваших слов подразумевается гигнивит (пародонтит) от мостовидного протеза. Зубы лечению не подлежат.Показания для изготовления полного съёмного протеза.Ситуация сложная, ищите врача, все нужно решать индивидуально, учитывая возраст, самочувствие и настрой пациента. Изменено 14 октября, 2015 пользователем kozloff 1 Ссылка на комментарий
Swa Опубликовано 14 октября, 2015 Автор Поделиться Опубликовано 14 октября, 2015 Ничего себе, вот это поворот Огромное спасибо, Вы очень нам помогли. Если кто-нибудь ещё что-то увидит – велкам )) Ссылка на комментарий
Swa Опубликовано 14 октября, 2015 Автор Поделиться Опубликовано 14 октября, 2015 Видится мне приличных размеров киста на зубе 11 (первый резец справа вверху)Помимо этого: воспаления на корнях 13 (клык слева), 17 (второй моляр слева), 16 (моляр справа)Так же с Ваших слов подразумевается гигнивит (пародонтит) от мостовидного протеза. Зубы лечению не подлежат.Показания для изготовления полного съёмного протеза.Ситуация сложная, ищите врача, все нужно решать индивидуально, учитывая возраст, самочувствие и настрой пациента. Доктор, я немного запуталась в нумерации По поводу 11-го верхнего резца всё понятно, на всякий случай сделаем прицельный снимок этого зуба. Вы упомянули о воспалении «на корнях 13 (клык слева), 17 (второй моляр слева), 16 (моляр справа)». Если не сложно, посмотрите, пожалуйста, я правильно их обвела красными окружностями? http://i004.radikal.ru/1510/a8/10e04e0b0d57.jpg Ссылка на комментарий
shishok Опубликовано 14 октября, 2015 Поделиться Опубликовано 14 октября, 2015 13-это клык справа,моляр слева-это 27.Я бы ещё посоветовала убрать 14(предпоследний вверху справа(собранный на штифте из проволоки)-он разрушен под пломбой. 1 Ссылка на комментарий
Swa Опубликовано 14 октября, 2015 Автор Поделиться Опубликовано 14 октября, 2015 13-это клык справа,моляр слева-это 27.Я бы ещё посоветовала убрать 14(предпоследний вверху справа(собранный на штифте из проволоки)-он разрушен под пломбой. Ага, поняла, спасибо большое! Про 14-й тоже думала... Завтра сделаем ещё штук 5 прицельных снимков. На всякий случай выложу их здесь. Продолжаю следить за темой. Ссылка на комментарий
DmitrySH Опубликовано 14 октября, 2015 Поделиться Опубликовано 14 октября, 2015 КТ информативнее будет чем прицельные снимки. 3 Ссылка на комментарий
Swa Опубликовано 14 октября, 2015 Автор Поделиться Опубликовано 14 октября, 2015 КТ информативнее будет чем прицельные снимки. Спасибо за ответ! Сорри за глупый вопрос, а на КТ видны ли будут воспаления вокруг корней? Ссылка на комментарий
Гарриевич Опубликовано 14 октября, 2015 Поделиться Опубликовано 14 октября, 2015 Вам к хирургу -пародонтологу надоЕсли отек до сих пор есть, то уже вчера надо 3 Ссылка на комментарий
Swa Опубликовано 14 октября, 2015 Автор Поделиться Опубликовано 14 октября, 2015 Вам к хирургу -пародонтологу надоЕсли отек до сих пор есть, то уже вчера надо Охохонюшки, спасибо за ответ... Отёк до сих пор есть, конечно же... Ссылка на комментарий
shishok Опубликовано 14 октября, 2015 Поделиться Опубликовано 14 октября, 2015 а на КТ видны ли будут воспаления вокруг корней? Обязательно. 1 Ссылка на комментарий
Swa Опубликовано 14 октября, 2015 Автор Поделиться Опубликовано 14 октября, 2015 Обязательно. Класс, отлично, спасибо! Ссылка на комментарий
major Опубликовано 14 октября, 2015 Поделиться Опубликовано 14 октября, 2015 КТ информативнее будет чем прицельные снимки. Вам к хирургу -пародонтологу надоЕсли отек до сих пор есть, то уже вчера надо +1периапикальные проблемы конечно есть, но как бы чего серьезнее не проспать. Сделайте кт и обратитесь в стационар ЧЛХ, собственно побыстрее. 1 Ссылка на комментарий
Swa Опубликовано 14 октября, 2015 Автор Поделиться Опубликовано 14 октября, 2015 +1периапикальные проблемы конечно есть, но как бы чего серьезнее не проспать. Сделайте кт и обратитесь в стационар ЧЛХ, собственно побыстрее. Поняла! Спасибо огромное, так и сделаем... Ссылка на комментарий
Рекомендуемые сообщения
Для публикации сообщений создайте учётную запись или авторизуйтесь
Вы должны быть пользователем, чтобы оставить комментарий
Создать аккаунт
Зарегистрируйте новый аккаунт в нашем сообществе. Это очень просто!
Регистрация нового пользователяВойти
Уже есть аккаунт? Войти в систему.
Войти