alenakot Опубликовано 12 октября, 2015 Поделиться Опубликовано 12 октября, 2015 здравствуйте !! помогите разобраться, ровно 1,5 года назад заболел зуб мудрости, пошла к врачу, болел не как зуб, а шея . в ощем зуб удалили, воач сказал что отек пошел в шею по каналам поэтому и болит шея. удаление прошло успешно, быстро заросла лкнка,но боль в шее осталась, пришла повторно с этой болью в шее , врач сделал снимок и обнаружил кисту нижней челюсти, боль в шее - лимфоузел шейный и подчелюстный. сказали едь удаляй срочно кисту. я грубо говоря забила на это дело. сейчас прошло 1,5 года имею боль в нижней челюсти и отдает в ухо , лимфоденопатия до 1см подчелюстного, шейного, надключечного и подмышечного лимфоузла( по узи лимфоденит с повышеным кровоотоком, форма не изменена) сделала кт всего тела с контастом-онкопаталогий нет. это я кисту запустила?сое 23, немного увелич лимфоциты. температура 37 под вечер.. боль в челюсти постоянноя. Ссылка на комментарий
alenakot Опубликовано 12 октября, 2015 Автор Поделиться Опубликовано 12 октября, 2015 левосторонняя лимфоденопатия и киста нижней челюсти тоже слева) Ссылка на комментарий
red_butler Опубликовано 13 октября, 2015 Поделиться Опубликовано 13 октября, 2015 http://forum.stom.ru/topic/20613-sovety-patcientam-obiazatelno-k-prochteniiu/ 1 Ссылка на комментарий
IvanK Опубликовано 13 октября, 2015 Поделиться Опубликовано 13 октября, 2015 Здравствуйте, Врачам нужны объективные данные Ссылка на комментарий
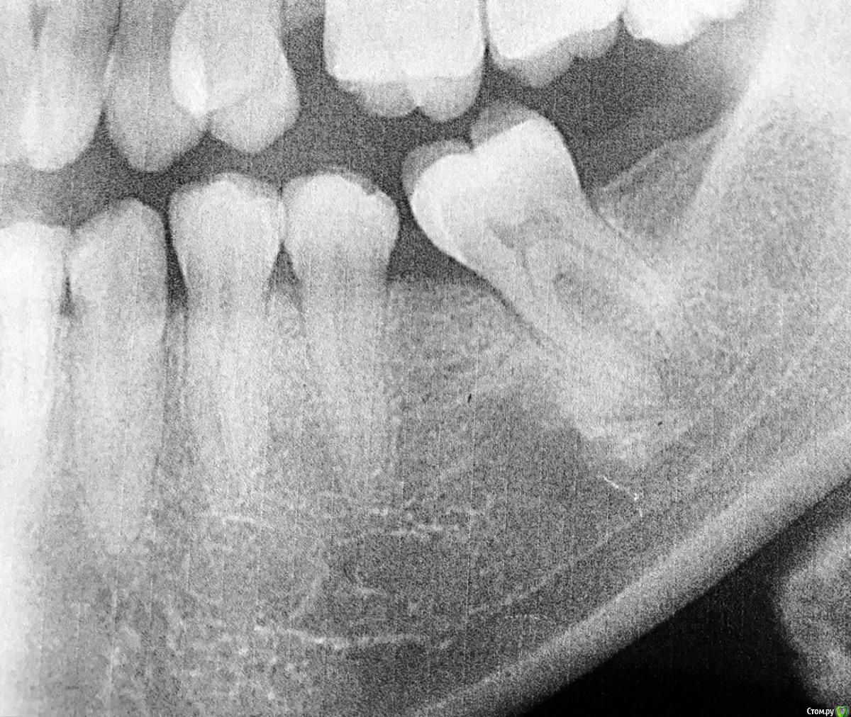
alenakot Опубликовано 13 октября, 2015 Автор Поделиться Опубликовано 13 октября, 2015 (изменено) снимок кисты..2 раза направляли удалять.. но я как то мимо ушей, ребенок маленький времени нет, ортопонограма доктор сказал плохо сделали, типа кму не видно. еще кстате зуб болит этот периодически то болит то не болит. десна припухает на утро спадает... жевать на нем могу, но когда болит то жевать больно..] Изменено 13 октября, 2015 пользователем alenakot Ссылка на комментарий
red_butler Опубликовано 13 октября, 2015 Поделиться Опубликовано 13 октября, 2015 снимок кисты..2 раза направляли удалять.. но я как то мимо ушей, ребенок маленький времени нет.image.jpegпере залейте снимок через радикал, вторая ссылка http://forum.stom.ru/topic/10742-kak-razmestit-snimok-ili-foto-v-teme/ Ссылка на комментарий
alenakot Опубликовано 13 октября, 2015 Автор Поделиться Опубликовано 13 октября, 2015 (изменено) http://s017.radikal.ru/i417/1510/03/4c5456496a94.jpg http://i056.radikal.ru/1510/33/fe43a9f925bd.jpg Изменено 13 октября, 2015 пользователем alenakot Ссылка на комментарий
red_butler Опубликовано 13 октября, 2015 Поделиться Опубликовано 13 октября, 2015 Кисту не вижу, нужно искать другую причину лимфаденопатии и исключить дисфункцию сустава. Ссылка на комментарий
alenakot Опубликовано 13 октября, 2015 Автор Поделиться Опубликовано 13 октября, 2015 http://s003.radikal.ru/i202/1510/e9/d751e19cb8e7.jpg вот чотко сняла) Ссылка на комментарий
red_butler Опубликовано 13 октября, 2015 Поделиться Опубликовано 13 октября, 2015 http://s003.radikal.ru/i202/1510/e9/d751e19cb8e7.jpg вот чотко сняла)Маникюр хороший, а снимок нет. Зуб вроде интактный, но есть пародонтальный карман связанный с наклоном зуба. Ссылка на комментарий
St. Опубликовано 13 октября, 2015 Поделиться Опубликовано 13 октября, 2015 Подозреваю, что врачей беспокоит это образование. Но по такому снимку сказать что-то конкретное нельзя. Переделайте снимок, а лучше сделайте КТ. Ссылка на комментарий
alenakot Опубликовано 14 октября, 2015 Автор Поделиться Опубликовано 14 октября, 2015 Подозреваю, что врачей беспокоит это образование. Но по такому снимку сказать что-то конкретное нельзя. Переделайте снимок, а лучше сделайте КТ. есть кт на диске всего тела, смотрели онкопаталонии.. ниче не нашли.. в общем сходила к врачу дал направление на удаления этого образования.. кто то говорит киста, кто то что непонятно что это.. в общем поеду .. а еще скажите, когда удаляют они иследуют эту штуку что в челюсти? ну мало ли че это.. Ссылка на комментарий
St. Опубликовано 14 октября, 2015 Поделиться Опубликовано 14 октября, 2015 а еще скажите, когда удаляют они иследуют эту штуку что в челюсти? ну мало ли че это.. Да, обычно отправляют на гистологию и потом сообщают о результатах. Ссылка на комментарий
Рекомендуемые сообщения
Для публикации сообщений создайте учётную запись или авторизуйтесь
Вы должны быть пользователем, чтобы оставить комментарий
Создать аккаунт
Зарегистрируйте новый аккаунт в нашем сообществе. Это очень просто!
Регистрация нового пользователяВойти
Уже есть аккаунт? Войти в систему.
Войти