Перейти к содержанию
Стоматология для всех

Флюороз или гипоплазия


Юлия Пучнина

Рекомендуемые сообщения

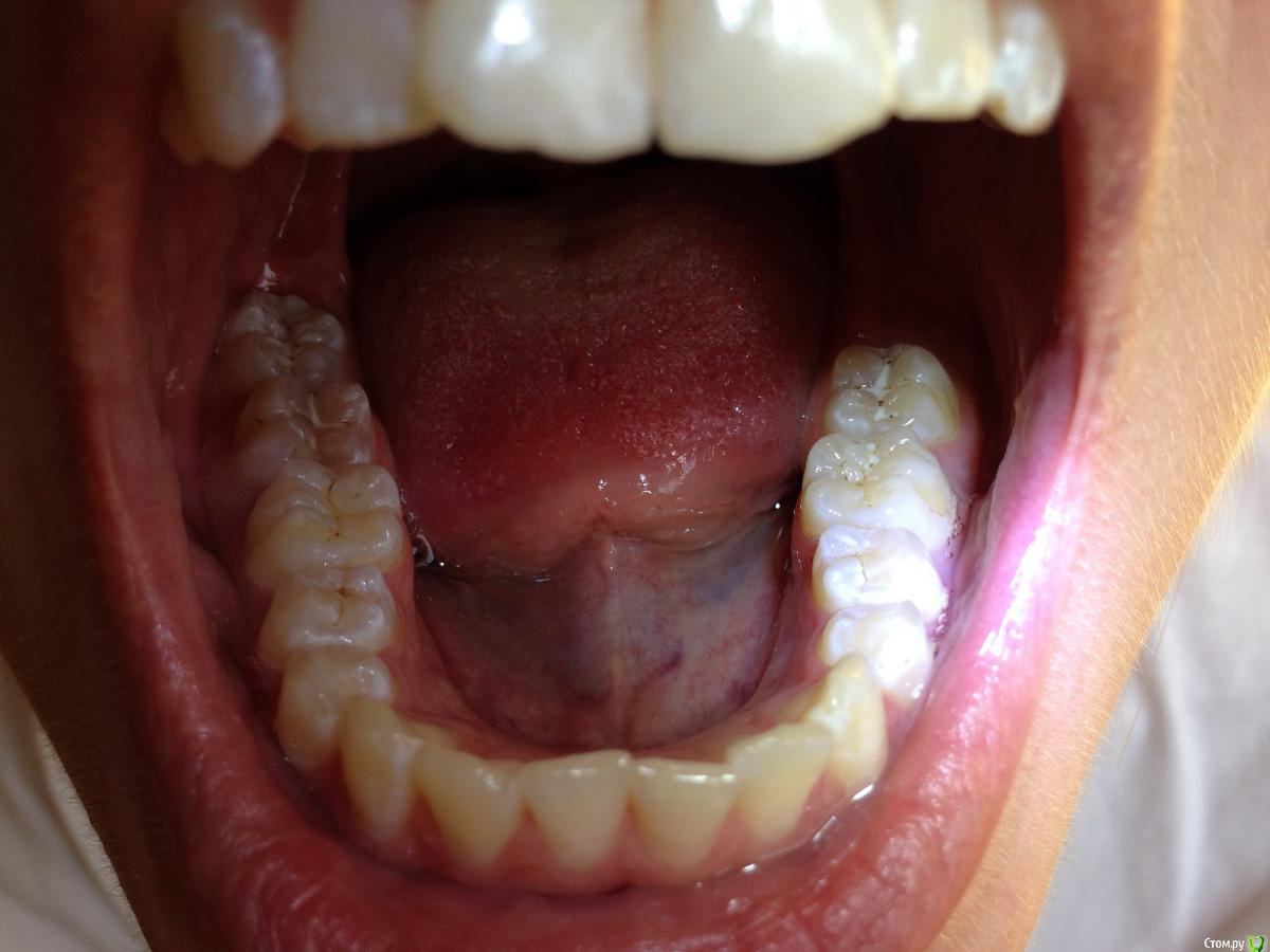
Добрый вечер, уважаемые специалисты!

Ситуация следующая: сколько себя помню, всегда на зубах были белые пятна. Сейчас белые пятна почти на всех зубах и местами коричневые. Я не помню, когда появились коричневые пятна и очень беспокоюсь, что состояние эмали может в дальнейшем ухудшиться.

Врачи, у которых я консультировалась ставят разные диагнозы: флюороз, гипоплазия эмали. Рекомендуют наблюдаться и, к сожалению, не могут дать никаких прогнозов о развитии заболевания.

 

Подскажите, пожалуйста:

1. Все-таки гипоплазия у меня или флюороз?

2. Прогрессируют ли данные заболевания в течение жизни и что ждет мои зубы в перспективе?

 

Фото зубов и снимок прилагаю. Буду очень благодарна за ваше профессиональное мнение.

post-45022-0-01746800-1444671728_thumb.jpgpost-45022-0-00244400-1444671735_thumb.jpgpost-45022-0-18900600-1444671742_thumb.jpgpost-45022-0-64084500-1444671748_thumb.jpgpost-45022-0-36041700-1444671755_thumb.jpgpost-45022-0-65487500-1444671757_thumb.jpg

Ссылка на комментарий

Это у вас гипоплазия эмали вследствии флюороза, или так называемые крапчатые зубы. Что делать?, Ничего страшног просто участки с поврежденной эмалью очень хрупкие и поэтому выкрашиваются, просто пломбируйте, зато у вас устойчивостьт к кариесу повышенная

Ссылка на комментарий

Это у вас гипоплазия эмали вследствии флюороза, или так называемые крапчатые зубы. Что делать?, Ничего страшног просто участки с поврежденной эмалью очень хрупкие и поэтому выкрашиваются, просто пломбируйте, зато у вас устойчивостьт к кариесу повышенная

Спасибо за ваш комментарий! 

Про устойчивость к кариесу меня порадовало)

А эта крапчатость будет дальше распространяться по зубам?

И не совсем поняла, выкрашиваются вы имеете ввиду крошаться или окрашиваются в те самые коричневые пятна?

И подскажите,пожалуйста, мне можно проводить фторирование?

Изменено пользователем Юлия Пучнина
Ссылка на комментарий

Спасибо за ваш комментарий! 

Про устойчивость к кариесу меня порадовало)

А эта крапчатость будет дальше распространяться по зубам?

И не совсем поняла, выкрашиваются вы имеете ввиду крошаться или окрашиваются в те самые коричневые пятна?

И подскажите,пожалуйста, мне можно проводить фторирование?

Крошатся всмысле участки эмали разрушаются,открывая дентин который под эмалью, он сам по себе темнее и активно окрашивается, поэтому нада реставрировать утраченные участки эмали,фторирование вам не требуется,
  • Поддерживаю 1
Ссылка на комментарий

 

 

Прогрессируют ли данные заболевания в течение жизни и что ждет мои зубы в перспективе?

Крошиться будут и дальше. Нужно следить и пломбировать вовремя.  Неприятно, но не страшно)

  • Поддерживаю 2
Ссылка на комментарий

Для публикации сообщений создайте учётную запись или авторизуйтесь

Вы должны быть пользователем, чтобы оставить комментарий

Создать аккаунт

Зарегистрируйте новый аккаунт в нашем сообществе. Это очень просто!

Регистрация нового пользователя

Войти

Уже есть аккаунт? Войти в систему.

Войти
×
×
  • Создать...
Вверх