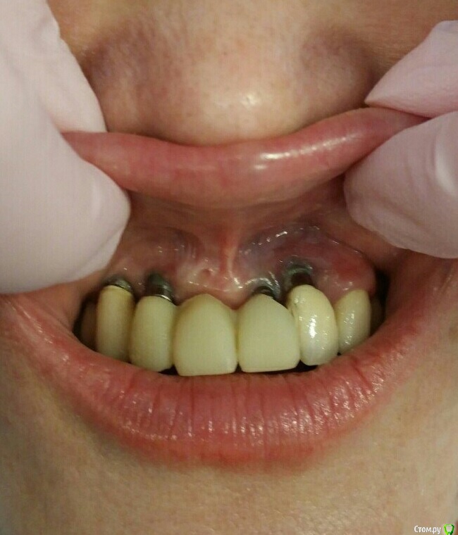
aka_sol Опубликовано 11 октября, 2015 Поделиться Опубликовано 11 октября, 2015 Доброго времени суток, уважаемые доктора! Ко мне обратилась коллега за консультацией по такому случаю. Имплантаты установлены 5-6 лет назад, мягкотканной пластики не проводилось. На данный момент 1.2-2.1 временный мостовидный протез. Пациентку лично не видел, пока все дистанционно. Вопрос от коллеги: "можно ли что-то сделать с мягкими тканями?". Доктор, проводивший операцию, сейчас в полном отказе что-либо делать.Ссылка на КТ: https://cloud.mail.ru/public/E9HK/63LaxeGLU Какие в данном случае есть варианты? Ссылка на комментарий
Фарид Расулыч Опубликовано 11 октября, 2015 Поделиться Опубликовано 11 октября, 2015 Где то тут подобный случай освещался. Ссылка на комментарий
колесников Опубликовано 11 октября, 2015 Поделиться Опубликовано 11 октября, 2015 Объём большой. Я бы использовал в таком случае а-прф. Ссылка на комментарий
Большой Зеленый Опубликовано 12 октября, 2015 Поделиться Опубликовано 12 октября, 2015 Какой ПРФ то?! Все вынимать ,НКР и новые винты. 15 Ссылка на комментарий
ILGAMSA Опубликовано 12 октября, 2015 Поделиться Опубликовано 12 октября, 2015 Объём большой. Я бы использовал в таком случае а-прф.Куда этот ПРФ подсадить? 6 Ссылка на комментарий
Большой Зеленый Опубликовано 12 октября, 2015 Поделиться Опубликовано 12 октября, 2015 сегодня что-нибудь запротоколирую и выложу.Очень просим. Мне думается Вы не совсем представляете себе что такое а ПРФ и в руках его не держали. Хотелось бы увидеть что нибудь подобное... Ссылка на комментарий
dantist_movani Опубликовано 12 октября, 2015 Поделиться Опубликовано 12 октября, 2015 К сожалению, судя по фото (КТ так и не смог открыть) придется извлекать имплантаты. За это следующие факты: - высокая убыль десны вокруг имплантатов;- за пять лет структура оголенной поверхности имплантатов несомненно изменилась под действием механических воздействий и микробного фактора, поэтому пытаться жалеть пациента и сохранять имплантаты не надо;-при снятии Ме-керамических коронок есть риск повредить поверхность имплантатов.кЯ за удаление этих имплантатов и дальнейшую реабилитацию пациента. Ссылка на комментарий
kriokov Опубликовано 12 октября, 2015 Поделиться Опубликовано 12 октября, 2015 Топикстартеру- кт не открыл, если есть возможность скрины по позициям имплантатов и реформат панорамы фронта залейте в тему. Ссылка на комментарий
колесников Опубликовано 12 октября, 2015 Поделиться Опубликовано 12 октября, 2015 Очень просим. Мне думается Вы не совсем представляете себе что такое а ПРФ и в руках его не держали. Хотелось бы увидеть что нибудь подобное...Специально для вас сегодня снял. В руках как видите держал. Мне кажется вы несколько резки в суждениях . 1 Ссылка на комментарий
Большой Зеленый Опубликовано 13 октября, 2015 Поделиться Опубликовано 13 октября, 2015 )))Это конечно очень ценное доказательство. Хотелось бы еще кейс. 6 Ссылка на комментарий
red_butler Опубликовано 15 октября, 2015 Поделиться Опубликовано 15 октября, 2015 Коллеги, заканчивайте оффтоп 1 Ссылка на комментарий
Рекомендуемые сообщения
Для публикации сообщений создайте учётную запись или авторизуйтесь
Вы должны быть пользователем, чтобы оставить комментарий
Создать аккаунт
Зарегистрируйте новый аккаунт в нашем сообществе. Это очень просто!
Регистрация нового пользователяВойти
Уже есть аккаунт? Войти в систему.
Войти