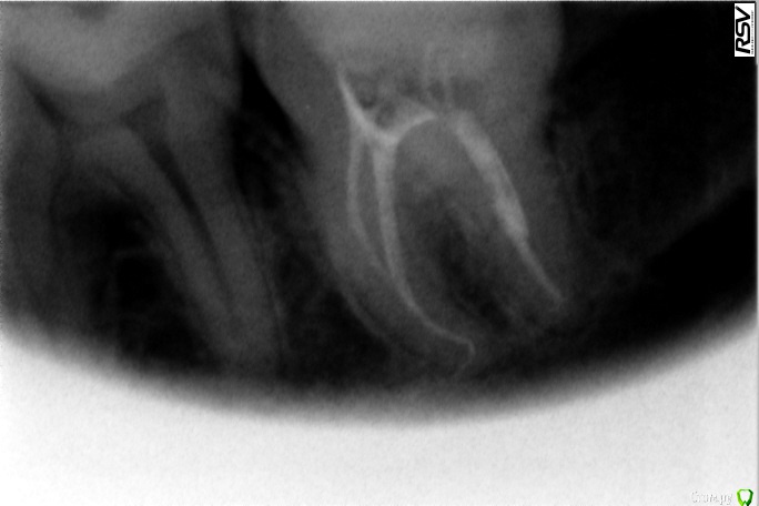
katrineigma Опубликовано 10 октября, 2015 Поделиться Опубликовано 10 октября, 2015 (изменено) Добрый день.Мне депульпировали зуб, дней через 5 после этого он начал просто невыносимо болеть, врач сказал, что зуб запломбирован хорошо, немного выведен пломбировочный материал за верхушку корня, но это не страшно, просто постпломбировочные боли. Дней 10 жила на обезболивающих, потом болеть все перестало. Сейчас прошло 4 месяца с того момента, зуб стал периодически ныть, сделала рентген в другой клинике - воспаление. Врач этой клиники говорит, что вряд ли такое воспаление может быть из-за выведенного за пределы корня материала, и вообще его не так много выведено, скорее всего, когда делали зуб, не нашли просто еще один канал и он остался пустым, от того и воспаление. Очень хотелось бы услышать мнения, в чем реальная причина воспаления всё-таки, и рекомендации, что теперь делать с зубом, можно ли его перелечить и нужно ли, или лучше не трогать? Прикладываю 2 снимка сразу после пломбировки каналов и 1 свежий, с воспалением.Заранее спасибо. Изменено 10 октября, 2015 пользователем katrineigma Ссылка на комментарий
Гарриевич Опубликовано 10 октября, 2015 Поделиться Опубликовано 10 октября, 2015 (изменено) Перелечить можноЕсли беспокоит именно он, то нужноСамо по себе выведение пломбировочного материала к таким болям привести не может Изменено 10 октября, 2015 пользователем Гарриевич Ссылка на комментарий
katrineigma Опубликовано 10 октября, 2015 Автор Поделиться Опубликовано 10 октября, 2015 Перелечить можноЕсли беспокоит именно он, то нужноСамо по себе выведение пломбировочного материала к таким болям привести не можетСпасибо за комментарий! Получается, воспаление всё-таки тоже не из-за того, что материал выведен? Ссылка на комментарий
anvladd Опубликовано 10 октября, 2015 Поделиться Опубликовано 10 октября, 2015 Дело не в выведенном материале. Просто нужно перепломбировать каналы. 1 Ссылка на комментарий
Shaid Опубликовано 11 октября, 2015 Поделиться Опубликовано 11 октября, 2015 Дело в инфекции, которая находится в корневом канале - в запломбированном или не найденном пустом канале. 1 Ссылка на комментарий
Рекомендуемые сообщения
Для публикации сообщений создайте учётную запись или авторизуйтесь
Вы должны быть пользователем, чтобы оставить комментарий
Создать аккаунт
Зарегистрируйте новый аккаунт в нашем сообществе. Это очень просто!
Регистрация нового пользователяВойти
Уже есть аккаунт? Войти в систему.
Войти