lulana Опубликовано 9 октября, 2015 Поделиться Опубликовано 9 октября, 2015 Здравствуйте, доктора!Как бы Вы решили поступить с нашим случаем: девочка 11,5 лет, все зубы сменились год назад.Можно ли ещё исправить без брекетов? (Био-блоки, трейнеры?)ортовеб.bmphttp://s018.radikal.ru/i500/1510/6c/5c2205aa41f2.jpg Ссылка на комментарий
lulana Опубликовано 10 октября, 2015 Автор Поделиться Опубликовано 10 октября, 2015 (изменено) Добавлю конкретики в свои вопросы:1. Можно ли в нашем случае пробовать исправлять трейнерами (например Т4К или Т4А), био-блоками доктора Мью? Так как от вредных привычек мы ещё не избавились: привычка дышать ртом, грызть ногти, ручка, карандаши и пр., возможно вышеперечисленные приспособления нам помогут?2. Если вариант только с установкой брекет-системы, то можно ли устанавливать сейчас, или подождать как минимум до полных 12 лет? Изменено 10 октября, 2015 пользователем lulana Ссылка на комментарий
m.d.n Опубликовано 11 октября, 2015 Поделиться Опубликовано 11 октября, 2015 Only braces. Трг конечно увидеть надо ,но тут либо удаление 4 зубов вам светит либо ищите доктора владеющего meaw или tweed техника Ссылка на комментарий
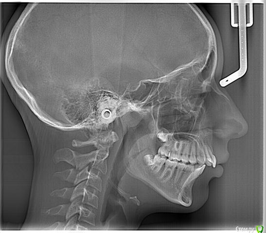
lulana Опубликовано 13 октября, 2015 Автор Поделиться Опубликовано 13 октября, 2015 (изменено) Only braces. Трг конечно увидеть надо ,но тут либо удаление 4 зубов вам светит либо ищите доктора владеющего meaw или tweed техникаСпасибо за ответ!С доктором владеющим meaw техникой, мы познакомились, но ещё не определилиь точно... Вопрос ещё такой возник: можно ли начинать лечение на брекет-системе незамедлительно, или стоит подождать до полных 12-ти лет, в связи с формированием (закрытием?) корней зубов? Вчера сделали ТРГ, прилагаю, может появятся ещё версии. Изменено 13 октября, 2015 пользователем lulana Ссылка на комментарий
Force Опубликовано 16 октября, 2015 Поделиться Опубликовано 16 октября, 2015 1. Трейнерами не избавляются от привычек и уж тем более не лечат такую скелетную деформацию. От привычек номер один - хороший психотерапевт. Плюс нормализация носового дыхания (КТ + грамотный лор-эндоскопист)2. Полная реконструкция прикуса после конусно лучевой томографии и полного анализа. с MEAW должен быть опытный пользователь. Не удалять четверки ни в коем случае. Добавлю конкретики в свои вопросы:1. Можно ли в нашем случае пробовать исправлять трейнерами (например Т4К или Т4А), био-блоками доктора Мью? Так как от вредных привычек мы ещё не избавились: привычка дышать ртом, грызть ногти, ручка, карандаши и пр., возможно вышеперечисленные приспособления нам помогут?2. Если вариант только с установкой брекет-системы, то можно ли устанавливать сейчас, или подождать как минимум до полных 12 лет? 1 Ссылка на комментарий
m.d.n Опубликовано 17 октября, 2015 Поделиться Опубликовано 17 октября, 2015 Но если tweed техника то премоляры удаются Ссылка на комментарий
Рекомендуемые сообщения
Для публикации сообщений создайте учётную запись или авторизуйтесь
Вы должны быть пользователем, чтобы оставить комментарий
Создать аккаунт
Зарегистрируйте новый аккаунт в нашем сообществе. Это очень просто!
Регистрация нового пользователяВойти
Уже есть аккаунт? Войти в систему.
Войти