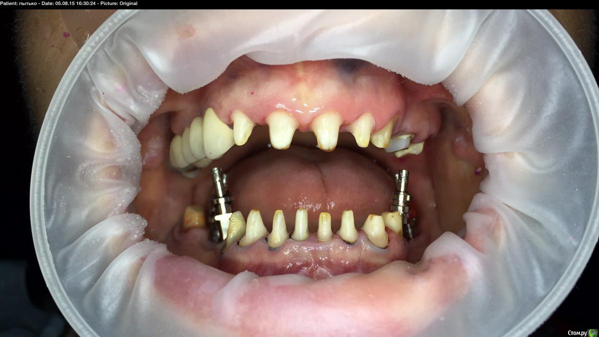
kemak Опубликовано 9 октября, 2015 Поделиться Опубликовано 9 октября, 2015 Добрый день, коллеги оцените кейс, жду вашей критики. Одиночные коронки емах, мостовидные протезы цирконий, с права мост оставил( делал другой доктор, прошло всего 3 месяца). Ссылка на комментарий
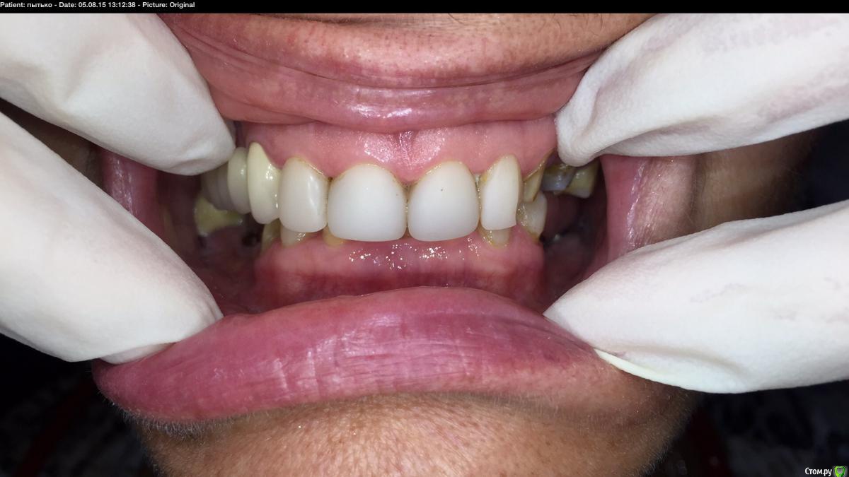
Sampson Опубликовано 11 октября, 2015 Поделиться Опубликовано 11 октября, 2015 (изменено) Надо было еще сфотографировать на модели. ИМХО на 3-ей фотографии 1.1 недосажен. Изменено 11 октября, 2015 пользователем Sampson Ссылка на комментарий
Magomed Опубликовано 11 октября, 2015 Поделиться Опубликовано 11 октября, 2015 зачем выкладывать чужую работу? оценка 5 а по какой шкале сами решайте☺ 2 Ссылка на комментарий
Saymon Опубликовано 11 октября, 2015 Поделиться Опубликовано 11 октября, 2015 (изменено) зачем выкладывать чужую работу? оценка 5 а по какой шкале сами решайте☺Тоже так подумал, но чуть повнимательней прочитать, то мост 13-16 оставил, его делал другой доктор. Остальная работа автора поста. Изменено 11 октября, 2015 пользователем Saymon 1 Ссылка на комментарий
kemak Опубликовано 12 октября, 2015 Автор Поделиться Опубликовано 12 октября, 2015 зачем выкладывать чужую работу? оценка 5 а по какой шкале сами решайте☺Работа моя, другой доктор делал мост мк 16-13. Ссылка на комментарий
chervoncevdaniil Опубликовано 12 октября, 2015 Поделиться Опубликовано 12 октября, 2015 Мне врачебная часть понравилась,расскажите,пожалуйста, как определяли прикус,я так понимаю в ЦС делали? Ссылка на комментарий
DimaKoleso Опубликовано 12 октября, 2015 Поделиться Опубликовано 12 октября, 2015 Так переточено ж. Снизу культи на разной высоте 1 Ссылка на комментарий
chervoncevdaniil Опубликовано 12 октября, 2015 Поделиться Опубликовано 12 октября, 2015 Мне кажется циркон,не emax,в плане минимально инвазивного препа не особо дает разгуляться,особенно на нижних резцах,хотя немного переточено,согласен,но не критично.Хотелось бы взглянуть фото готовой работы во рту с ретракторами,если есть,интересно шейки нижних зубов посмотреть Ссылка на комментарий
SanderS Опубликовано 12 октября, 2015 Поделиться Опубликовано 12 октября, 2015 Так переточено ж. Снизу культи на разной высотена 3.1 была изначально пломба, а на премолярах скорее всего нужна была высота под толщину коронок. А еще зависит как техник переваривает минимально-инвазивный преп, например у меня под безметалл 0.7-0.8 уступ - маловато технику Ссылка на комментарий
Рекомендуемые сообщения
Для публикации сообщений создайте учётную запись или авторизуйтесь
Вы должны быть пользователем, чтобы оставить комментарий
Создать аккаунт
Зарегистрируйте новый аккаунт в нашем сообществе. Это очень просто!
Регистрация нового пользователяВойти
Уже есть аккаунт? Войти в систему.
Войти