ivan.b88 Опубликовано 9 октября, 2015 Поделиться Опубликовано 9 октября, 2015 Уважаемые доктора, объясните, пожалуйста, что лучше: на каждый имплант - свой абатмент или на несколько имплантов установить один большой абатмент? Конечно, все зависит от конкретной ситуации, но, на мой взгляд, лучше если на каждом импланте установлен свой абатмент. Прошу вашего совета. 2 Ссылка на комментарий
red_butler Опубликовано 9 октября, 2015 Поделиться Опубликовано 9 октября, 2015 Уважаемые доктора, объясните, пожалуйста, что лучше: на каждый имплант - свой абатмент или на несколько имплантов установить один большой абатмент? Что Вы под этим подразумеваете? 1 1 Ссылка на комментарий
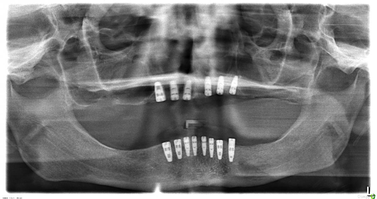
IvanK Опубликовано 9 октября, 2015 Поделиться Опубликовано 9 октября, 2015 Выложите панорамный снимок, Ссылка на комментарий
Dr.Ru Опубликовано 9 октября, 2015 Поделиться Опубликовано 9 октября, 2015 Не обижайтесь, но у Вас каша в голове, видимо от прочитаного в интернете. Выбор абатментов оставьте Вашему доктору. 1 1 Ссылка на комментарий
ivan.b88 Опубликовано 9 октября, 2015 Автор Поделиться Опубликовано 9 октября, 2015 Вот снимок. 2 Ссылка на комментарий
red_butler Опубликовано 9 октября, 2015 Поделиться Опубликовано 9 октября, 2015 Скажите а какая конструкция планировалась изначально, особенно интересно про нижнюю челюсть 1 1 Ссылка на комментарий
ivan.b88 Опубликовано 9 октября, 2015 Автор Поделиться Опубликовано 9 октября, 2015 Изначально планировалось, что на каждый имплант будут ставить отдельную коронку, за исключением верхних резцов (там на каждом импланте будет сдвоенная коронка). Мне хотелось бы, чтобы так и было. 2 Ссылка на комментарий
ivan.b88 Опубликовано 9 октября, 2015 Автор Поделиться Опубликовано 9 октября, 2015 (изменено) Никто ничего конкретно посоветовать не может?Можете написать личным сообщением. Изменено 9 октября, 2015 пользователем ivan.b88 2 Ссылка на комментарий
ivan.b88 Опубликовано 11 октября, 2015 Автор Поделиться Опубликовано 11 октября, 2015 (изменено) К сожалению, ни от кого из врачей конкретного ответа не получил даже личным сообщением. Мне интересно хотя бы кто-то может сказать, что в большинстве случаев лучше то или другое? Неужели нет хотя бы одного толкового ортопеда, который смог бы ответить на этот простой вопрос? Изменено 11 октября, 2015 пользователем ivan.b88 2 1 Ссылка на комментарий
Doc Опубликовано 11 октября, 2015 Поделиться Опубликовано 11 октября, 2015 К сожалению, ни от кого из врачей конкретного ответа не получил даже личным сообщением. Мне интересно хотя бы кто-то может сказать, что в большинстве случаев лучше то или другое? Неужели нет хотя бы одного толкового ортопеда, который смог бы ответить на этот простой вопрос?Тут много толковых, но врачебная этика не всегда позволяет говорить то, что думаешь. А если не извинитесь перед врачами и еще раз кого-то оскорбите, то я лично Вас забаню. 2 2 Ссылка на комментарий
Рекомендуемые сообщения