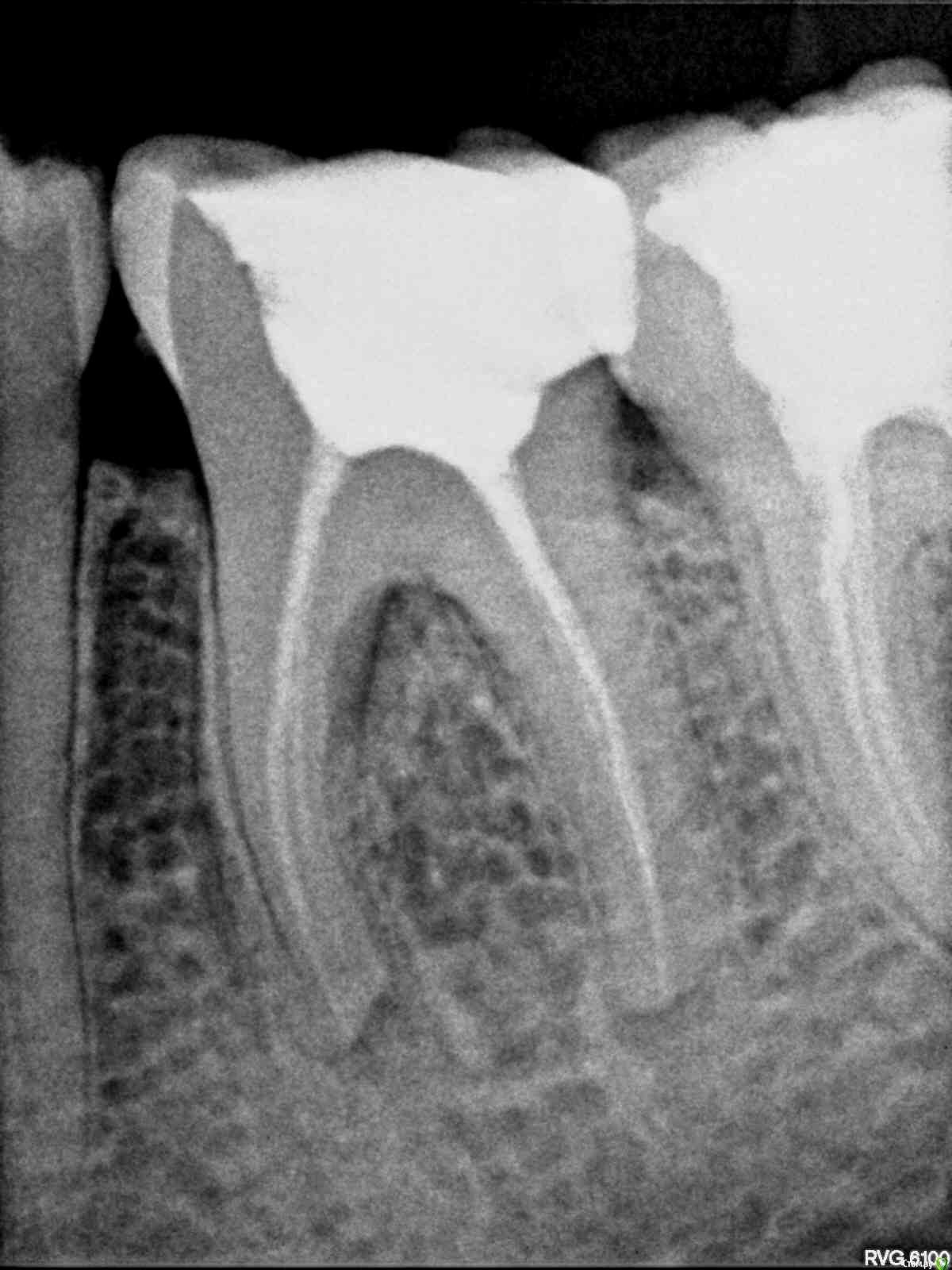
Alex_V6 Опубликовано 8 октября, 2015 Поделиться Опубликовано 8 октября, 2015 Здравствуйте !История такова , в июне обратился в клинику по поводу удаления зубов мудрости , там сделали снимок , обнаружили темные области под 36 зубом ( он был пролечен уже лет 10 тому назад, не болел абсолютно ) сказали что там инфекция и нужно заново пролечить каналы, я согласился. все почистили и подготовили под установку коронки , в итоге 2 недели назад почуствовал сильную боль внизу челюсти сделал снимок .. врач кто собственно перелечивал каналы говорит что мол , не получилось убрать инфекцию и она где то там , и надо теперь делать либо резекцию верхушек , либо удалять зуб, а мой знакомый стоматолог сказал что пролечивание было сделано плохо , материал вывели за пределы зуба и поэтому все проблемы ..Помогите пожалуйста разобраться, действительно ли воспаление из за врачебной ошибки , плохой работы, или всему виной инфекция которая жила у меня 10 лет и видимо осталась внутри . Спасибо за помощь !!снимки прилагаю Ссылка на комментарий
anvladd Опубликовано 8 октября, 2015 Поделиться Опубликовано 8 октября, 2015 (изменено) Каналы запломбированы хорошо,материал конечно выведен за верхушку,бывает(верхушки корней были "разъедены"воспалением,судя по всему) а доктор видно,старался.Что вас в данный момент беспокоит? Чем запломбированы каналы? Изменено 8 октября, 2015 пользователем anvladd Ссылка на комментарий
Alex_V6 Опубликовано 8 октября, 2015 Автор Поделиться Опубликовано 8 октября, 2015 Добрый день , беспокоила боль , пью антибиотики уже 5 дней , боль прошла. врач кто перелечивал сказал что антибиотики лишь на время снимут воспаление но это не решение и нужно делать резекциюи пробовать отрезать верхушки и смотреть что дальше , должно мол помочь . соственно были 2 вопроса , плохо ли сработал врач - вы уже ответили что все хорошо и то что материал выведен это не страшно и нормально.и второй вопрос - действительно ли нужно делать резекцию либо возможно выздоровление с антибиотиками и нужно лишь подождать и понаблюдать. нужно решить что делать , т.к коронки уже готовы и нужно понимать куда двигаться дальшеспасибо. Ссылка на комментарий
Павел7809 Опубликовано 8 октября, 2015 Поделиться Опубликовано 8 октября, 2015 (изменено) Добрый день , беспокоила боль , пью антибиотики уже 5 дней , боль прошла. врач кто перелечивал сказал что антибиотики лишь на время снимут воспаление но это не решение и нужно делать резекциюи пробовать отрезать верхушки и смотреть что дальше , должно мол помочь . соственно были 2 вопроса , плохо ли сработал врач - вы уже ответили что все хорошо и то что материал выведен это не страшно и нормально.и второй вопрос - действительно ли нужно делать резекцию либо возможно выздоровление с антибиотиками и нужно лишь подождать и понаблюдать. нужно решить что делать , т.к коронки уже готовы и нужно понимать куда двигаться дальше спасибо.Резекция в данном случае это процентов 70 неудачи(и потерянный зуб). Подождать когда пройду боли(аони скорее всего пройдут) восстановить зуб культевой вкладкой , только после этого коронка. Да, еще зуб изначально был плохой и рано или поздно бы заболел. Изменено 8 октября, 2015 пользователем Павел7809 1 Ссылка на комментарий
anvladd Опубликовано 8 октября, 2015 Поделиться Опубликовано 8 октября, 2015 (изменено) Через пол года сделаете снимок и посмотрите вместе с доком есть ли положительная динамика,если не будет беспокоить до этого времени. Изменено 8 октября, 2015 пользователем anvladd 1 Ссылка на комментарий
Alex_V6 Опубликовано 8 октября, 2015 Автор Поделиться Опубликовано 8 октября, 2015 а по опыту вашему есть шанс что все наладится после курса антибиотиков?мне врач сказал что антибиотиками инфекцию из зуба не убрать , а по всей видимости она там осталась в боковых каналах ну вобщем где то , и рано или поздно вылезет снова , может через пол года может через год и тд что думаете? Ссылка на комментарий
anvladd Опубликовано 8 октября, 2015 Поделиться Опубликовано 8 октября, 2015 Успакоится зуб может,поэтому и надо будет сделать снимок и посмотреть есть ли уменьшение очага воспаления,если нет резекция. Док сразу не предупредил вас о возможной резекции? Ссылка на комментарий
Alex_V6 Опубликовано 8 октября, 2015 Автор Поделиться Опубликовано 8 октября, 2015 нет Ссылка на комментарий
Рекомендуемые сообщения
Для публикации сообщений создайте учётную запись или авторизуйтесь
Вы должны быть пользователем, чтобы оставить комментарий
Создать аккаунт
Зарегистрируйте новый аккаунт в нашем сообществе. Это очень просто!
Регистрация нового пользователяВойти
Уже есть аккаунт? Войти в систему.
Войти