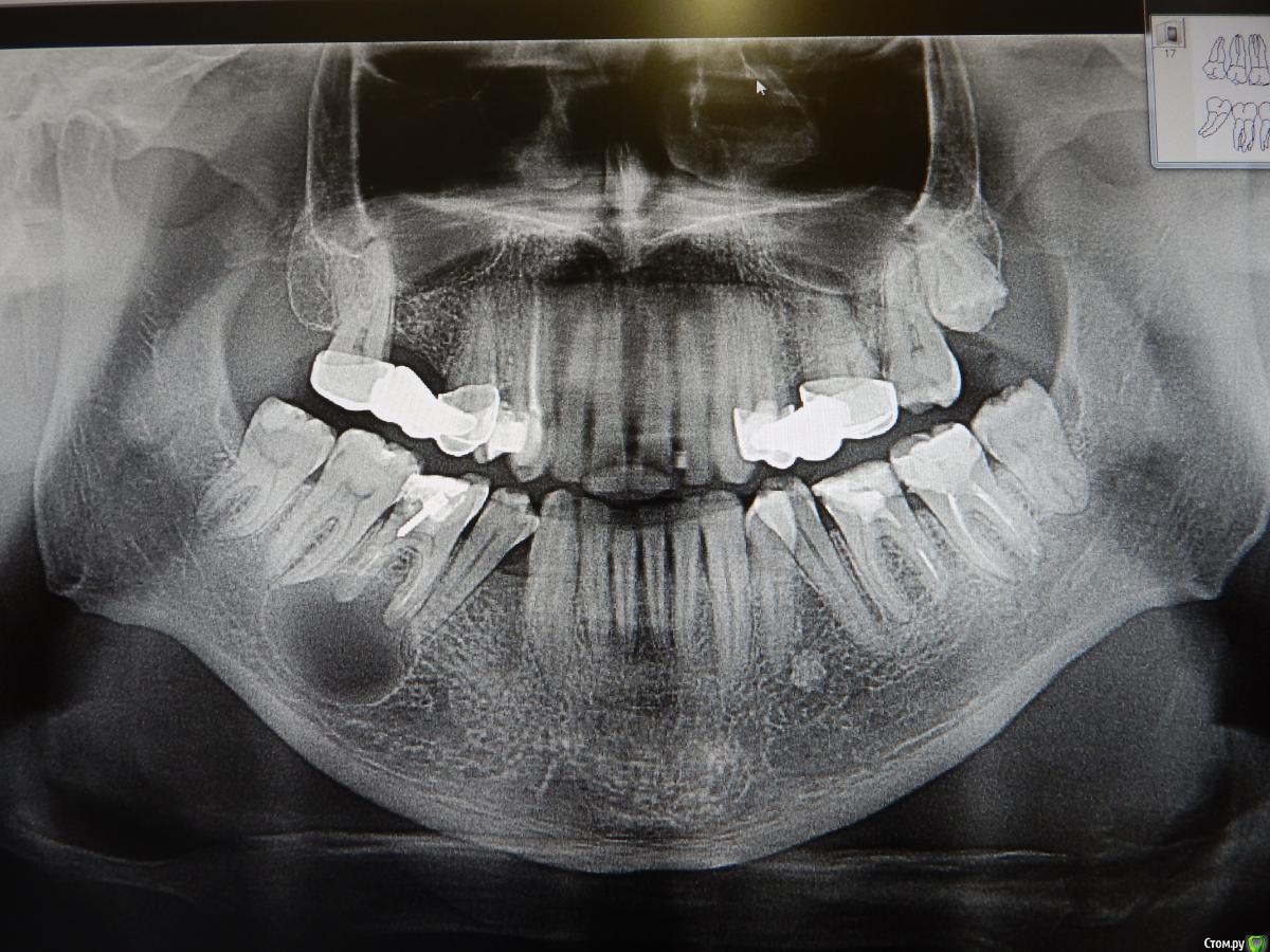
dantist_movani Опубликовано 8 октября, 2015 Поделиться Опубликовано 8 октября, 2015 Привет всем! Нужен Ваш совет! Пациент обратился с жалобой на скол пломбы 4.6 окклюзионно-лингвально, острые края режут язык. Делаю интраоральный снимок 4.6, периапикально изменения не помещаютя. Делаем ОПГ. Делаем ЭОД(4.5 и 4.7)=7-10мкА. 4.6 без обострения и со слов пациента никогда не болел, лечили более 10 лет назад. Помогите разобраться, что делать в такой клинической ситуации? Можно ли перелечить этот зуб либо необходима госпитализация пациента в ЧЛХ с последующим удалением зуба и цистотомией? Ссылка на комментарий
red_butler Опубликовано 8 октября, 2015 Поделиться Опубликовано 8 октября, 2015 Я бы начал с полноценного эндо. 2 Ссылка на комментарий
dantist_movani Опубликовано 8 октября, 2015 Автор Поделиться Опубликовано 8 октября, 2015 Я бы начал с полноценного эндо.Спасибо, пугают размеры Ссылка на комментарий
red_butler Опубликовано 8 октября, 2015 Поделиться Опубликовано 8 октября, 2015 Спасибо, пугают размерыразмер не имеет значения. Проверьте соседние зубы на витальность. 1 Ссылка на комментарий
Рекомендуемые сообщения
Для публикации сообщений создайте учётную запись или авторизуйтесь
Вы должны быть пользователем, чтобы оставить комментарий
Создать аккаунт
Зарегистрируйте новый аккаунт в нашем сообществе. Это очень просто!
Регистрация нового пользователяВойти
Уже есть аккаунт? Войти в систему.
Войти