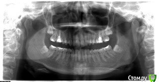
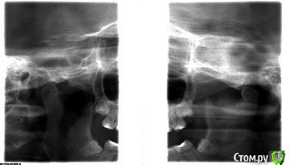
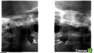
Pourtoi Опубликовано 7 октября, 2015 Поделиться Опубликовано 7 октября, 2015 Добрый вечер! Возникла проблема в начале августа с ВНЧС с левой стороны. Сначала в одно утро не могла пошевелить челюстью, открывалась только на пару мм. Тут же побежала к врачу, выписал диклофинак. Помогло, но через несколько дней снова начались боли. Рот открывается на 2-3 см, но слева внизу слегка опухшая щека. Болит при нажатии возле уха. Периодически стреляет в это же ухо. Потом появилось ощущение при глотании, как будто иголку глотаю. Выписывали Трилептал, пью его... До хирурга ещё много времени ждать... Пока что сделаны только рентгеновские снимки. Результат МРТ узнаю только через две недели. Была безумная боль во время МРТ, когда поставили в рот какую-то штуку. Я рыдала в капсуле. Теперь боли только усиливаются. Ещё добавились постоянный хруст и как будто соскакивание сустава, когда закрываю рот (именно когда закрываю!) и когда шевелю челюстью в разные стороны. Больно жевать. Нет сил терпеть, Трилептал перестаёт помогать совершенно. Подскажите, что это может быть и чем можно облегчить до визита к челюстно-лицевому хирургу? Снимки прилагаю к сообщению. Заранее спасибо! Ссылка на комментарий
krokomot Опубликовано 7 октября, 2015 Поделиться Опубликовано 7 октября, 2015 вы выложили фото в очень маленьком формате поэтому на них нельзя ничего толком определить Ссылка на комментарий
Pourtoi Опубликовано 7 октября, 2015 Автор Поделиться Опубликовано 7 октября, 2015 вы выложили фото в очень маленьком формате поэтому на них нельзя ничего толком определитьПочему-то с диска сохраняется только такой размер Ссылка на комментарий
Рекомендуемые сообщения
Для публикации сообщений создайте учётную запись или авторизуйтесь
Вы должны быть пользователем, чтобы оставить комментарий
Создать аккаунт
Зарегистрируйте новый аккаунт в нашем сообществе. Это очень просто!
Регистрация нового пользователяВойти
Уже есть аккаунт? Войти в систему.
Войти