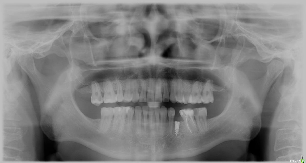
hisurfer Опубликовано 7 октября, 2015 Поделиться Опубликовано 7 октября, 2015 Добрый день!В конец марта этого года мне установили имплант roott , через месяц начался переимплантит, пришлось удалить.На вопрос, почему произошло отторжение, врач ничего толком не ответил, кроме возможной аллергии на титан (или сплав импланта), предложил попробовать установить еще раз через 2 месяца, когда кость заживет.Я решил второй раз не пробовать на авось, притом что причина первой неудачи осталась неясна. Сейчас интересует вопрос, возможно ли по снимкам определить, почему произошло отторжение?Также нужен совет по дальнейшему лечению. Хочу еще раз попробовать установить имплант.Уже консультировался, но хотелось бы услышать еще мнения, ибо страшно. Приложил снимок сразу после установки импланта (1) и перед удалением (2), и скрины кт недельной давности.При необходимости могу выложить полный КТ. Благодарю! 2_20150423 14-28-17.bmp Ссылка на комментарий
Bier Опубликовано 21 октября, 2015 Поделиться Опубликовано 21 октября, 2015 не рекомендую ставить имплантаты ROOTT и прочие из этой линейки. Скорее всего это слишком агрессивный имплантат для плотной кости (в вашем случае) 2 Ссылка на комментарий
Alejandro Опубликовано 24 октября, 2015 Поделиться Опубликовано 24 октября, 2015 И, если помните, скажите: с большим усилием доктор закручивал этот имплантат? Ссылка на комментарий
hisurfer Опубликовано 2 ноября, 2015 Автор Поделиться Опубликовано 2 ноября, 2015 Bier, очень благодарен за ответ! А какой можете порекомендовать? Alejandro, усилие было, но не могу оценить, насколько оно было сильным, потому как сравнивать не с чем. По субъективным ощущениям скорее с большим, чем с небольшим. Вечером, после того, как отошла анестезия, работать не мог, боль была сильная. Ссылка на комментарий
Рекомендуемые сообщения
Для публикации сообщений создайте учётную запись или авторизуйтесь
Вы должны быть пользователем, чтобы оставить комментарий
Создать аккаунт
Зарегистрируйте новый аккаунт в нашем сообществе. Это очень просто!
Регистрация нового пользователяВойти
Уже есть аккаунт? Войти в систему.
Войти