freeman22 Опубликовано 6 октября, 2015 Поделиться Опубликовано 6 октября, 2015 Здравствуйте.Имеется пролеченный зуб (левая шестёрка) с удалёнными и запломбированными каналами. Но вот уже более месяца время с момента лечения время от времени в зубе возникают ноющие боли, которые отдаются в другие зубы. Как вариант мне сказали, что это может быть из-за неправильно установленного штифта. Возможно при просмотре снимков у вас появятся и другие варианты...В общем посмотрите пожалуйста!Прилагаю снимок до установки штифта и два после. Ссылка на комментарий
red_butler Опубликовано 6 октября, 2015 Поделиться Опубликовано 6 октября, 2015 Снимки не читаемые 3 Ссылка на комментарий
Shaid Опубликовано 9 октября, 2015 Поделиться Опубликовано 9 октября, 2015 Автор, возьмите снимки на цифровом носителе. Ссылка на комментарий
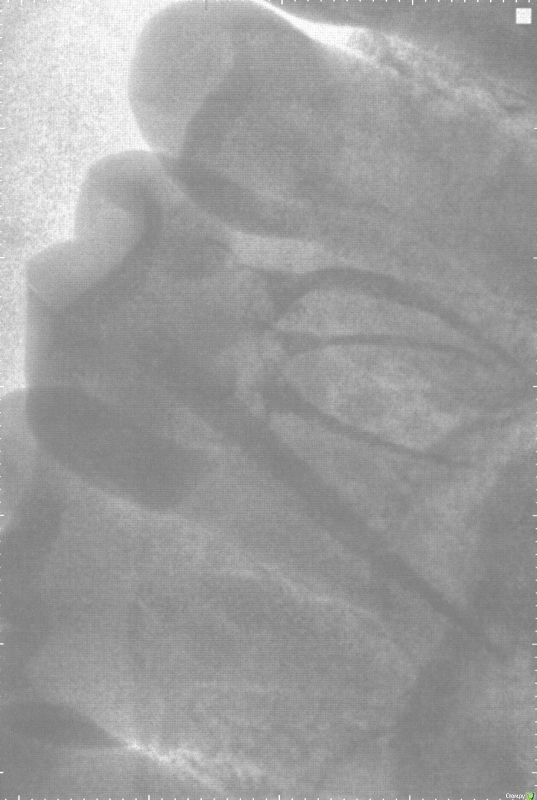
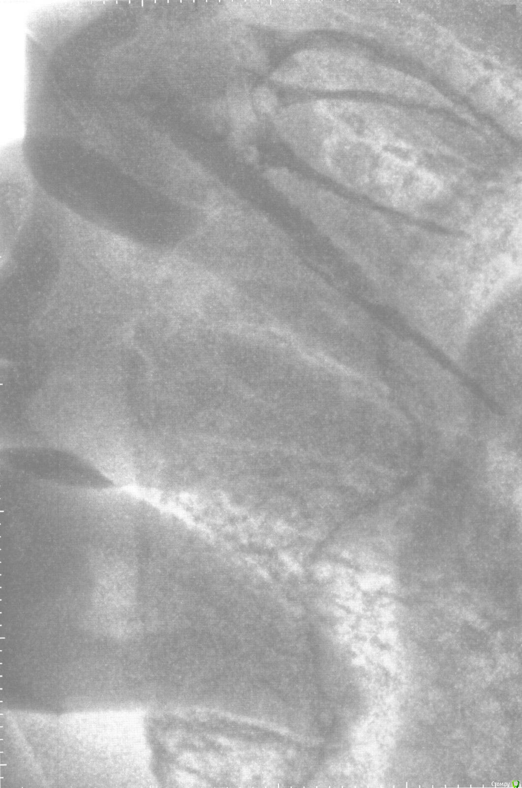
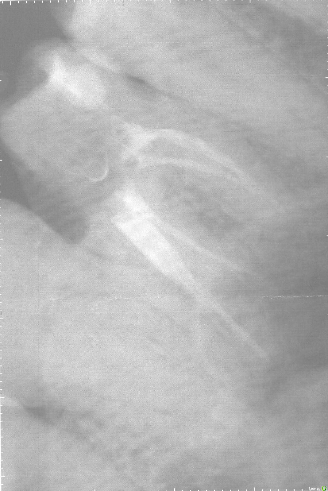
freeman22 Опубликовано 26 октября, 2015 Автор Поделиться Опубликовано 26 октября, 2015 (изменено) Здравствуйте. Я обновил снимки, теперь должно быть всё видно!Так же опишу поподробнее свою ситуацию.В конце августа, после удаления 4-каналов и их пломбирования была поставлена пломба с титановым (анкерным) штифтом. Ещё во время её установки, причём под обезбаливающим!! у меня была сильная боль, которая отдавалась в висок. Я сообщил это врачу, но она никак не отреагировала! Потом примерно в течении недели была ноющая боль, которая отдавалась на другие зубы. Далее всё прекратилось и вот спустя более 3 недель боли опять появились (периодические), плюс сейчас стал ещё побаливать сам зуб, то есть у меня такое ощущение, что внутри него под пломбой что-то не так!Показывал снимки другому врачу, она говорит, что каналы пролечены нормально, а боль может вызывать перелом корня зуба, вызванного штифтом, но на рентген снимках его часто не видно, так как они делаются под одной проекцией. В общем предложила сделать 3Д-снимок - то есть томографию (с описанием).Так же, как один из вариантов оба врача говорят, что у меня глубокие десневые карманы и так получилось, что посталвення пломба не очень прилегает к соседним зубам, то есть в эти карманы попадает пища и они могут вызывать такие боли. Предложили поставить коронку прямо на зуб со штифтом и она таким образом сможет более плотно закрыть эти десневые карманы.Я вот не знаю, нужно ли делать в данной ситации КТ, потому что, если боли и в зубе под коронкой не пройдут....Сами врачи говорят, что не обязательно делать!?Собственное хотелось бы узнать ваше мнение, что мне делать в данной ситуации.На 1 снимке - полностью пролеченный зуб перед установкой пломбы со штифтом (снимок делалася в Августе).На 2 и 3 снимках - зуб с пломбой и штифтом (снимки сделаны в Октябре). Изменено 26 октября, 2015 пользователем freeman22 Ссылка на комментарий
Гарриевич Опубликовано 26 октября, 2015 Поделиться Опубликовано 26 октября, 2015 Подскажите как проходило лечение каналов, в один или в два этапа? Доктор использовала коффердам? Сразу после лечения боль была? Ссылка на комментарий
freeman22 Опубликовано 26 октября, 2015 Автор Поделиться Опубликовано 26 октября, 2015 (изменено) Лечение зуба проходило в 3 посещения. 1 - мех-кая и мед-зная обработка каналов, пломбирование каналов лечебной пастой, мех-кая и мед-зная обработка кариозной полости, временная пломба.Через 3 недели.2 - мех-кая и мед-зная обработка каналов, пломбировка каналов методом латеральной конденсации, временная пломба.Через сутки.3 - наложение изол. прокладки 1 полость (цемент светового отверждения), использование матричной системы, анестезия, постановка пломбы из нанокомпозита 2 полости, армирование зуба титановым штифтом. Также отмечу (возможно это важно) в это же время лечилась такая же шестёрка с другой стороны челюсти (обе верхние), проделывались такие же манипуляции - с ней вроде бы проблем нету. То есть аллергии на материалы быть не может. По поводу боли я же написал выше, что она было не только сразу, но и во время установки пломбы и ощутимая! С другой шестеркой такого не было! Изменено 26 октября, 2015 пользователем freeman22 Ссылка на комментарий
Рекомендуемые сообщения
Для публикации сообщений создайте учётную запись или авторизуйтесь
Вы должны быть пользователем, чтобы оставить комментарий
Создать аккаунт
Зарегистрируйте новый аккаунт в нашем сообществе. Это очень просто!
Регистрация нового пользователяВойти
Уже есть аккаунт? Войти в систему.
Войти