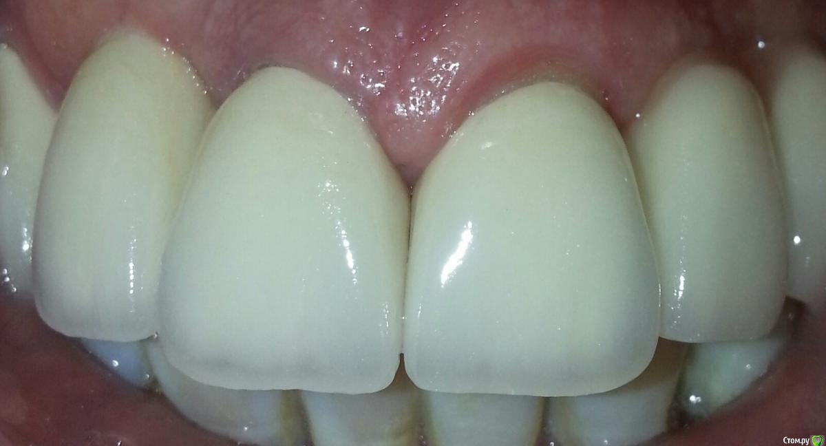
pandas17 Опубликовано 6 октября, 2015 Поделиться Опубликовано 6 октября, 2015 Здравствуйте,скажите правильно я вижу то,что левая 1ка меньше правой.низ мокап. Ссылка на комментарий
anvladd Опубликовано 6 октября, 2015 Поделиться Опубликовано 6 октября, 2015 Левая от вас или от нас) Ссылка на комментарий
IvanK Опубликовано 6 октября, 2015 Поделиться Опубликовано 6 октября, 2015 А к чему вопрос, можно ведь измерить Если Вас не устраивает эстетика нужно обратиться к Вашему Врачу. 1 Ссылка на комментарий
Рекомендуемые сообщения
Для публикации сообщений создайте учётную запись или авторизуйтесь
Вы должны быть пользователем, чтобы оставить комментарий
Создать аккаунт
Зарегистрируйте новый аккаунт в нашем сообществе. Это очень просто!
Регистрация нового пользователяВойти
Уже есть аккаунт? Войти в систему.
Войти