Секатор Опубликовано 4 октября, 2015 Поделиться Опубликовано 4 октября, 2015 (изменено) Здраствуйте,уже писал,но проблем много,но сча есть снимки зд(ссори за флуд).Начну издалека года два летом примерно неделю начили болеть зубы справа с отдованием в ухо и висок,оперативно ничего не делал(спас ал алкоголь),но я решил,что это 8-ки,и за зиму последнию все удалил,но отдования в висок и болезненность уха осталось,много времени прошло после удаления.Напряжение у виска и в области уха,взгляните на мою 6 справа,дно пазухи деформировано под её давлением,боли в области зуба нет-она причина?По лор все чисто,как будто болит зуб отдовая в ухо и висок,но без боли в области челюсти.Ближе к внутренней стенки пазухи и заходя на неё сформирован остроконечный конус дном пазухи,вследствии давлении корня зуба. Изменено 4 октября, 2015 пользователем Секатор 1 Ссылка на комментарий
IvanK Опубликовано 4 октября, 2015 Поделиться Опубликовано 4 октября, 2015 симптомы пульпитасходите к терапевту Ссылка на комментарий
kozloff Опубликовано 8 октября, 2015 Поделиться Опубликовано 8 октября, 2015 (изменено) Ничего у Вас там не деформировано, нормальная анатомия гайморовой пазухи. Пожалуйста, не пытайтесь анализировать медицинские данные без специального образования.+1 за пульпит. Скорее всего даже в зубе на нижней челюсти Изменено 8 октября, 2015 пользователем kozloff 3 Ссылка на комментарий
Секатор Опубликовано 12 октября, 2015 Автор Поделиться Опубликовано 12 октября, 2015 (изменено) Вы оказались правы пульпит 47,дело в том,что я описывал не все.Была операция на перегородке зимой,были предпосылки на лор-паталогию,после операции,у меня блокируется лобная пазуха,и плюс вот эта боль в ухе и в затылок,когда уже иду на операцию по фронтиту и описываю Лору симптомы:давит на веко и глаз,болит ухо и затылок,и второе ухо подбаливает,ухудшается зрение,его ответ.-сходите к психиатору после операции ,вобщем симптомы фронтита и пульпит,без боли в челюсти(зубы у меня плохие,но никогда не болели)смешались,гадать пришлось с вашей помощью,но предпосылки были лор,специально не описывал лор-паталогию,чтобы не уводить далеко,лор мне чётко заявил при фронтите(чётко дал понять иди к психиатру),столько болей не может быть..Стоматолог,смотрела,как на дурака,кариес поверх.(с виду),зуб не болит,а ты с ухом пришёл.Начала сверлить,там пульпит.Спасибо. Изменено 12 октября, 2015 пользователем Секатор Ссылка на комментарий
kozloff Опубликовано 13 октября, 2015 Поделиться Опубликовано 13 октября, 2015 Вот и хорошо. Планируете ли замещать отсутствующие зубы на верхней челюсти? Ссылка на комментарий
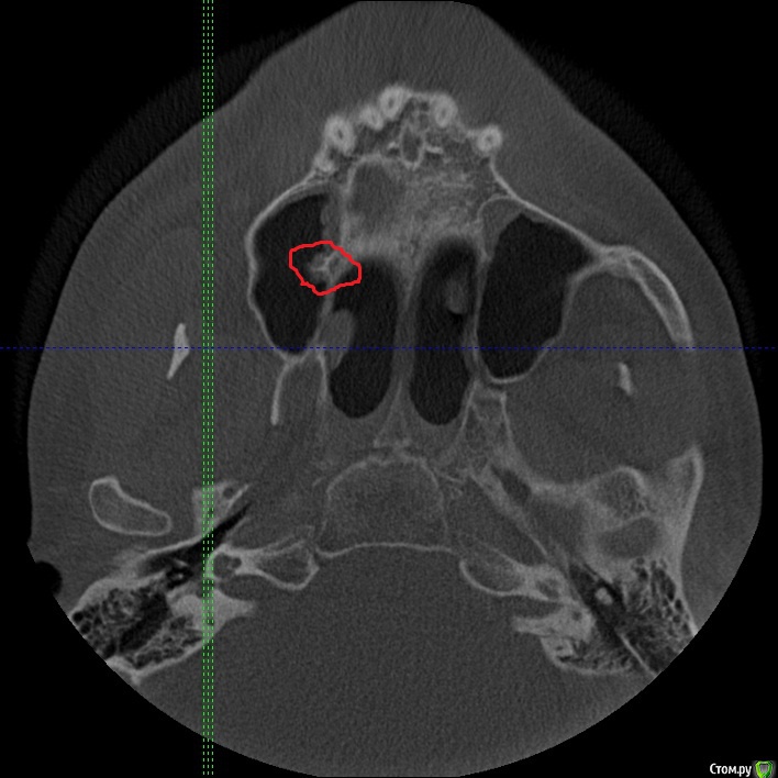
Секатор Опубликовано 15 октября, 2015 Автор Поделиться Опубликовано 15 октября, 2015 Здравствуйте,сос...Рано поспешил радоваться,дело в следующем мне хорошо обкололи,и сверлили 47,положили мышьяк,ухо прошло на два часа,как в сказке был,но боль снова началась.Невралгия нерва по-любому есть,а вот причина!И,что где-то рядом с зубами.Все-таки планирую удалять 7 справа сверху,а ккак быть?Придётся методом тыка,у 7 корня небольшое утолщение слизистой пазухи,но вот ещё что,на уровне 5,6 была киста пазухи,прошла после удаления зубов. Ссылка на комментарий
Секатор Опубликовано 15 октября, 2015 Автор Поделиться Опубликовано 15 октября, 2015 (изменено) И,ещё раз прошу взглянуть смотрите,как деформирована внутреннеяя стенка пазухи зубом,у дна.Может корень подцепил,стенку пазухи? Изменено 15 октября, 2015 пользователем Секатор Ссылка на комментарий
St. Опубликовано 15 октября, 2015 Поделиться Опубликовано 15 октября, 2015 Здравствуйте,сос...Рано поспешил радоваться,дело в следующем мне хорошо обкололи,и сверлили 47,положили мышьяк,ухо прошло на два часа,как в сказке был,но боль снова началась.Невралгия нерва по-любому есть,а вот причина!И,что где-то рядом с зубами.Все-таки планирую удалять 7 справа сверху,а как быть?Придётся методом тыка,у 7 корня небольшое утолщение слизистой пазухи,но вот ещё что,на уровне 5,6 была киста пазухи,прошла после удаления зубов.Так лечение каналов Вам закончили или Вы ходите с "мышьяком"? Р.S. Не делайте поспешных выводов и не придумывайте себе диагнозы и проблемы. Ссылка на комментарий
red_butler Опубликовано 15 октября, 2015 Поделиться Опубликовано 15 октября, 2015 зачем "мышьяк"? 1 Ссылка на комментарий
Секатор Опубликовано 15 октября, 2015 Автор Поделиться Опубликовано 15 октября, 2015 (изменено) Хожу с мышьяком,нашли пульпит 47,кололи хорошо. Изменено 15 октября, 2015 пользователем Секатор Ссылка на комментарий
Секатор Опубликовано 15 октября, 2015 Автор Поделиться Опубликовано 15 октября, 2015 Блин,все попутал разговор сначала про 7 сверху,на первых снимках 8 и7. Ссылка на комментарий
kozloff Опубликовано 16 октября, 2015 Поделиться Опубликовано 16 октября, 2015 Поймите, с пазухой все хорошо, просто отлично, и с корнем верхнего зуба тоже. Удаляйте злосчастный мышьяк, пломбируйте каналы в пульпитом зубе и будет вам счастье! Ссылка на комментарий
IvanK Опубликовано 16 октября, 2015 Поделиться Опубликовано 16 октября, 2015 С пазухой все хорошо Меньше читайте про зубы и не надо постоянно смотреть свое кт... Хорошего дня) 1 Ссылка на комментарий
Рекомендуемые сообщения
Для публикации сообщений создайте учётную запись или авторизуйтесь
Вы должны быть пользователем, чтобы оставить комментарий
Создать аккаунт
Зарегистрируйте новый аккаунт в нашем сообществе. Это очень просто!
Регистрация нового пользователяВойти
Уже есть аккаунт? Войти в систему.
Войти