L'azur Опубликовано 4 октября, 2015 Поделиться Опубликовано 4 октября, 2015 Красота! Ссылка на комментарий
Saymon Опубликовано 4 октября, 2015 Поделиться Опубликовано 4 октября, 2015 (изменено) Покажите оттиск? Как проняли между 11, 21,22? Изменено 4 октября, 2015 пользователем Saymon Ссылка на комментарий
Чертков Александр Опубликовано 4 октября, 2015 Поделиться Опубликовано 4 октября, 2015 Что за "биламинарные" виниры? Ссылка на комментарий
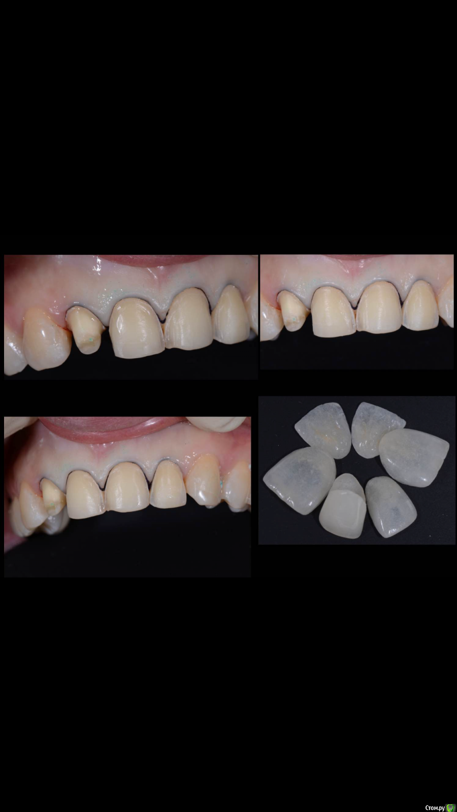
zxc Опубликовано 4 октября, 2015 Автор Поделиться Опубликовано 4 октября, 2015 Покажите оттиск? Как проняли между 11, 21,22? Фото слепков нет Что за "биламинарные" виниры?Это виниры с двух сторон Ссылка на комментарий
Сева северный Опубликовано 4 октября, 2015 Поделиться Опубликовано 4 октября, 2015 Гармонично..+1 Ссылка на комментарий
zxc Опубликовано 4 октября, 2015 Автор Поделиться Опубликовано 4 октября, 2015 Что за "биламинарные" виниры?У Манье вот так они выглядят Ссылка на комментарий
zxc Опубликовано 4 октября, 2015 Автор Поделиться Опубликовано 4 октября, 2015 Красота! Гармонично..+1Спасибо Ссылка на комментарий
Doc.IQ Опубликовано 5 октября, 2015 Поделиться Опубликовано 5 октября, 2015 смысл изготовления таких виниров??Почему не полные?? Ссылка на комментарий
DoctorT Опубликовано 5 октября, 2015 Поделиться Опубликовано 5 октября, 2015 смысл изготовления таких виниров??Почему не полные?? для того чтобы тканей меньше сошлифовывать, тк путь введения другой и конус не нужен) думаю что поэтому. Ссылка на комментарий
Mailze Опубликовано 5 октября, 2015 Поделиться Опубликовано 5 октября, 2015 Отлично. Какие были показания для препарирования язычных поверхностей? 1 Ссылка на комментарий
Чертков Александр Опубликовано 5 октября, 2015 Поделиться Опубликовано 5 октября, 2015 Фото слепков нет Это виниры с двух сторонСпасибо, понял. Ссылка на комментарий
sydnik Опубликовано 5 октября, 2015 Поделиться Опубликовано 5 октября, 2015 извиняюсь, а цена ?( смею предположить как за 2) Ссылка на комментарий
zxc Опубликовано 5 октября, 2015 Автор Поделиться Опубликовано 5 октября, 2015 для того чтобы тканей меньше сошлифовывать, тк путь введения другой и конус не нужен) думаю что поэтому.Все верноОтлично. Какие были показания для препарирования язычных поверхностей?Язычную поверхность никто не препарировал, со слов пациента Это все после яблочных диет)) Ссылка на комментарий
zxc Опубликовано 5 октября, 2015 Автор Поделиться Опубликовано 5 октября, 2015 извиняюсь, а цена ?( смею предположить как за 2) Цена как за два полноценных винира ))) 1 Ссылка на комментарий
Фарид Расулыч Опубликовано 5 октября, 2015 Поделиться Опубликовано 5 октября, 2015 Доктор взял цельнокерамическую коронку расколол ее пополам и продал как 2 винира)) Вот он Бог маркетинга))) 7 Ссылка на комментарий
Фарид Расулыч Опубликовано 5 октября, 2015 Поделиться Опубликовано 5 октября, 2015 а стык 2х виниров находится где?? Ссылка на комментарий
zxc Опубликовано 5 октября, 2015 Автор Поделиться Опубликовано 5 октября, 2015 Доктор взял цельнокерамическую коронку расколол ее пополам и продал как 2 винира)) Вот он Бог маркетинга))) На мой взгляд решить проблему таким образом было правильно и дело не в деньгах! а стык 2х виниров находится где??На небной стороне, на фото видно)) Ссылка на комментарий
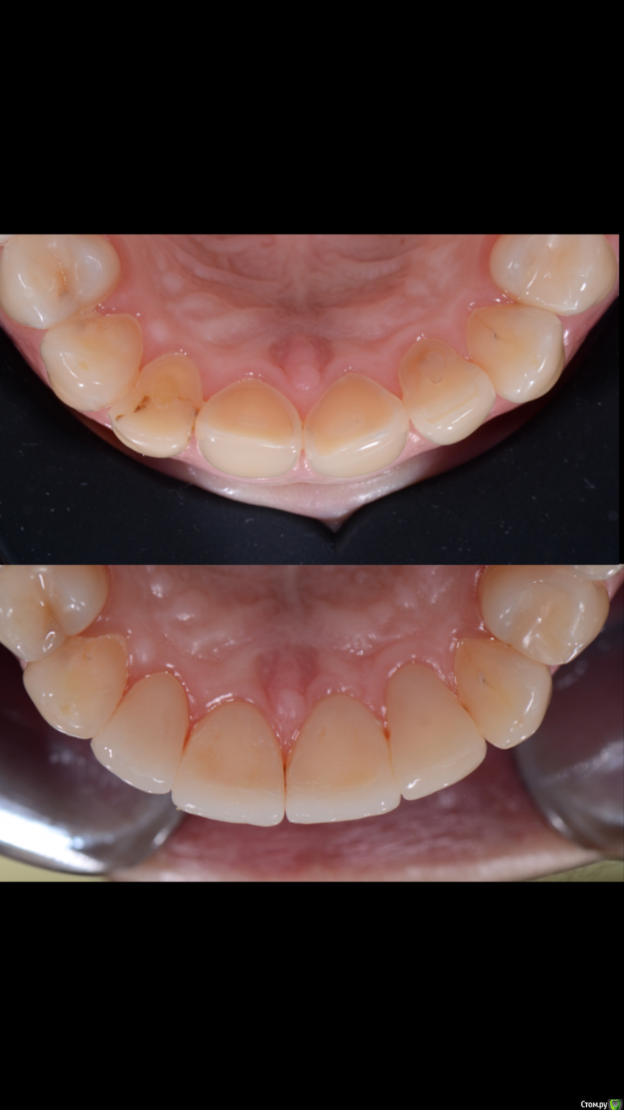
Фарид Расулыч Опубликовано 5 октября, 2015 Поделиться Опубликовано 5 октября, 2015 (изменено) Есть фото небной стороны до препа?то что зубы разной длинны, так задумывалось?Еще бы фото улыбки до кучи) Изменено 5 октября, 2015 пользователем Фарид Расулыч Ссылка на комментарий
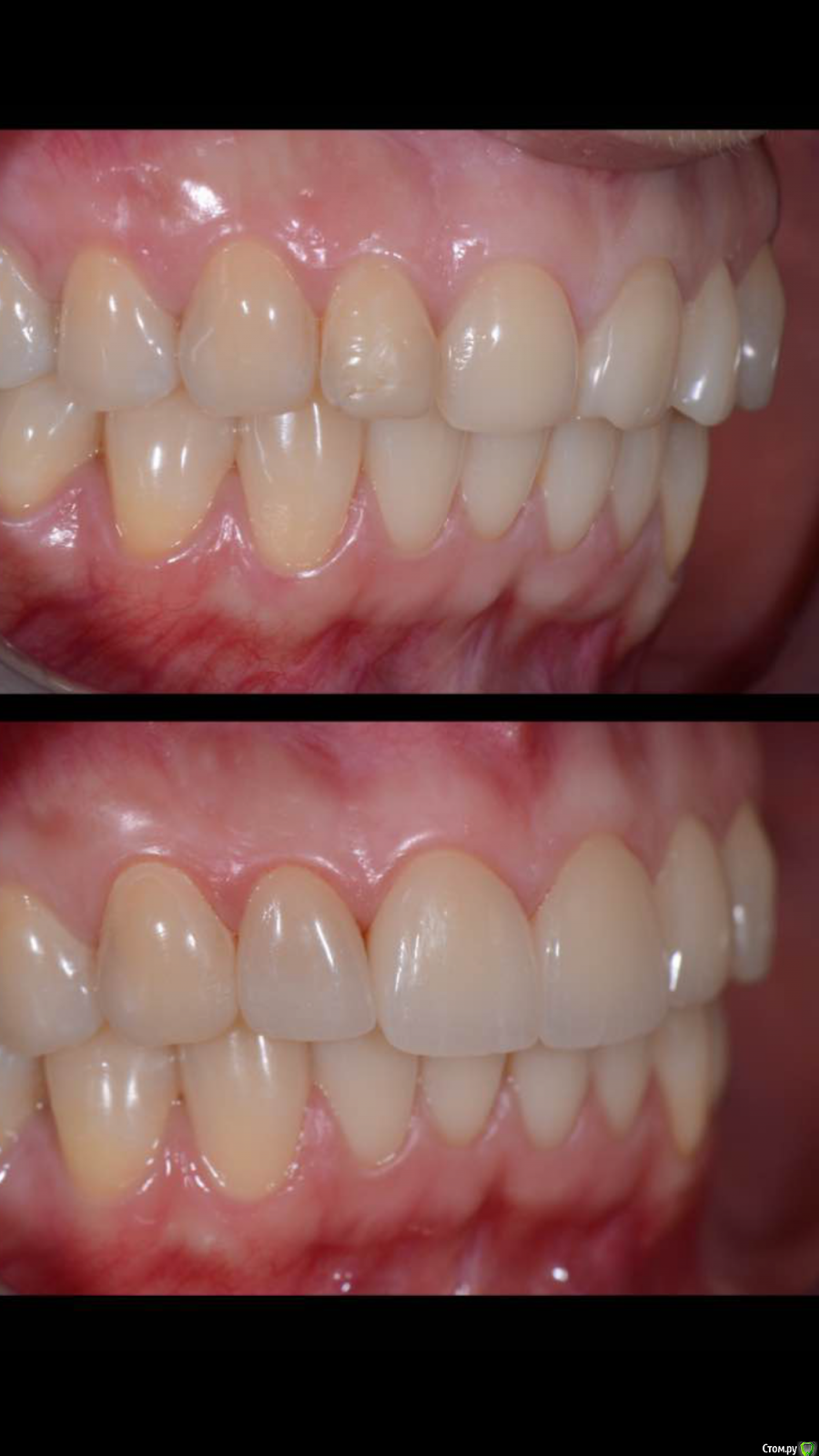
zxc Опубликовано 5 октября, 2015 Автор Поделиться Опубликовано 5 октября, 2015 Есть фото небной стороны до препа?то что зубы разной длинны, так задумывалось?Еще бы фото улыбки до кучи) задумывалось сделать гармоничнее Ссылка на комментарий
Фарид Расулыч Опубликовано 5 октября, 2015 Поделиться Опубликовано 5 октября, 2015 Красавцы!) Это небо до препа?? Я чёт подумал что это такой преп аккуратный ) Ссылка на комментарий
Фарид Расулыч Опубликовано 5 октября, 2015 Поделиться Опубликовано 5 октября, 2015 КМК, одинаковой длинны резцы смотрелись бы лучше. Но это только мое мнение. Главное чтоб пациенту нравилось, ну и доктору Ссылка на комментарий
Dr.Sham Опубликовано 5 октября, 2015 Поделиться Опубликовано 5 октября, 2015 (изменено) Но Манье предложил делать небную часть из композита. По причине того, что на небной поверхности весь стресс, и керамика трескается; плюс керамика стирает антагонисты. Путь ведения там не обсуждался. Изменено 5 октября, 2015 пользователем Dr.Sham Ссылка на комментарий
Doc.IQ Опубликовано 5 октября, 2015 Поделиться Опубликовано 5 октября, 2015 для того чтобы тканей меньше сошлифовывать, тк путь введения другой и конус не нужен) думаю что поэтому.Понял..спасибо..работка конечно супер!!!!! Ссылка на комментарий
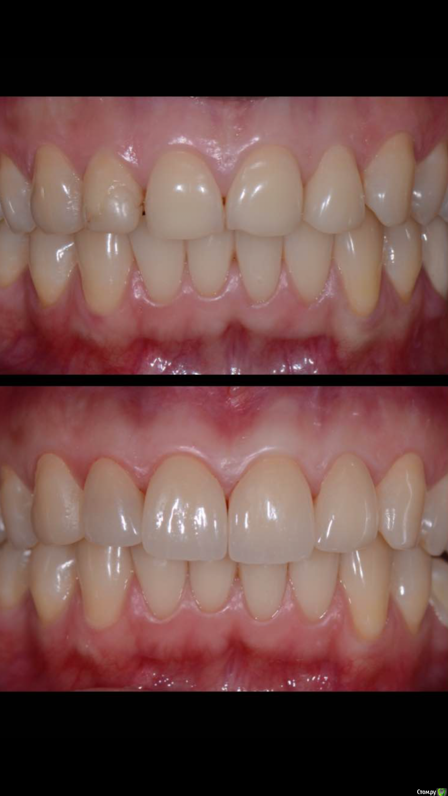
zxc Опубликовано 25 мая, 2016 Автор Поделиться Опубликовано 25 мая, 2016 http://s017.radikal.ru/i425/1605/c8/f065a4cc989d.jpgЧерез пол года, небные стоят )) 2 Ссылка на комментарий
Рекомендуемые сообщения
Для публикации сообщений создайте учётную запись или авторизуйтесь
Вы должны быть пользователем, чтобы оставить комментарий
Создать аккаунт
Зарегистрируйте новый аккаунт в нашем сообществе. Это очень просто!
Регистрация нового пользователяВойти
Уже есть аккаунт? Войти в систему.
Войти