carloss Опубликовано 1 октября, 2015 Поделиться Опубликовано 1 октября, 2015 http://savepic.ru/7886604.jpg http://savepic.ru/7866124.jpg http://savepic.ru/7924495.jpg http://savepic.ru/7928591.jpg в лунке сначала биоосс, поверх биосс-коллаген 15 Ссылка на комментарий
Чертков Александр Опубликовано 1 октября, 2015 Поделиться Опубликовано 1 октября, 2015 Карен, а откуда "ножка"? С неба, с преддверия? Ссылка на комментарий
carloss Опубликовано 1 октября, 2015 Автор Поделиться Опубликовано 1 октября, 2015 Карен, а откуда "ножка"? С неба, с преддверия?c неба.. с предверия вряд ли что-то толковое может получится Ссылка на комментарий
carloss Опубликовано 1 октября, 2015 Автор Поделиться Опубликовано 1 октября, 2015 тут ситуация такая, что без графта в полость кисты, через пару месяцев высота уйдёт в ноль и придется идти на синус 1 Ссылка на комментарий
krokomot Опубликовано 1 октября, 2015 Поделиться Опубликовано 1 октября, 2015 Карлос что с люлей то хрюкает есчо?)) Ссылка на комментарий
diesel87 Опубликовано 1 октября, 2015 Поделиться Опубликовано 1 октября, 2015 тут ситуация такая, что без графта в полость кисты, через пару месяцев высота уйдёт в ноль и придется идти на синусА так считай киста за вас синус сделала, а вы его графтом забили) Ссылка на комментарий
колесников Опубликовано 1 октября, 2015 Поделиться Опубликовано 1 октября, 2015 тут ситуация такая, что без графта в полость кисты, через пару месяцев высота уйдёт в ноль и придется идти на синусИменно так-без графта уйдёт в ноль. Ссылка на комментарий
krokomot Опубликовано 1 октября, 2015 Поделиться Опубликовано 1 октября, 2015 А так считай киста за вас синус сделала, а вы его графтом забили)кисты дают экспансивный рост в пределах губчатого вещества, кортикалка не затрагивается и уж точно не мигрирует в полость пазухи))) Вся заслуга исключительно карлоса)) Ссылка на комментарий
carloss Опубликовано 1 октября, 2015 Автор Поделиться Опубликовано 1 октября, 2015 Карлос что с люлей то хрюкает есчо?)) ищу оптимальный микс Ссылка на комментарий
carloss Опубликовано 1 октября, 2015 Автор Поделиться Опубликовано 1 октября, 2015 кисты дают экспансивный рост в пределах губчатого вещества, кортикалка не затрагивается и уж точно не мигрирует в полость пазухи))) Вся заслуга исключительно карлоса))не очень понял что вы имели ввиду, но тут киста с кортикалкой проросла таки в пазуху.. это точно не лунка, размеры тут побольше.. а графтом этот объем сохранится и после 1 Ссылка на комментарий
krokomot Опубликовано 1 октября, 2015 Поделиться Опубликовано 1 октября, 2015 имел в виду то, что переапекальные абсцессы увеличиваются разрушая губчатое вещество, кортикальный слой как правило истончается и появляется сиптом так называемый пластмассовой игрушки, но вздутия при этих кистах не должно быть в отличие от опухолей. Поэтому киста просто бы проросла внутрь пазухи, но не сместила бы её дно. Ссылка на комментарий
carloss Опубликовано 1 октября, 2015 Автор Поделиться Опубликовано 1 октября, 2015 имел в виду то, что переапекальные абсцессы увеличиваются разрушая губчатое вещество, кортикальный слой как правило истончается и появляется сиптом так называемый пластмассовой игрушки, но вздутия при этих кистах не должно быть в отличие от опухолей. Поэтому киста просто бы проросла внутрь пазухи, но не сместила бы её дно.значит я правильно вас понял.. но вы ошибаетесь.. эта ветка пример того, как кортикалка сместилась в пазуху.. ещё пример http://forum.stom.ru/topic/29183-sinus-lifting-v-polost-kisty/ ну и вообще я такое часто вижу.. раньше правда не забивал графтом.. и всё уходило в ноль 2 Ссылка на комментарий
krokomot Опубликовано 1 октября, 2015 Поделиться Опубликовано 1 октября, 2015 (изменено) Согласен всякое бывет, главное знать как вести такие чтуки)) Изменено 1 октября, 2015 пользователем krokomot Ссылка на комментарий
zzkz Опубликовано 2 октября, 2015 Поделиться Опубликовано 2 октября, 2015 в область 5-ки какой размер? какой торк удалось достичь и как вообще это удалось))?корень соседнего зуба близко показалось Ссылка на комментарий
carloss Опубликовано 2 октября, 2015 Автор Поделиться Опубликовано 2 октября, 2015 Торк 25.. Диаметр 3,8.. Бикортикально.. Но действительно сложно было)) 1 Ссылка на комментарий
zzkz Опубликовано 2 октября, 2015 Поделиться Опубликовано 2 октября, 2015 если не затруднит пжста выложите снимок Ссылка на комментарий
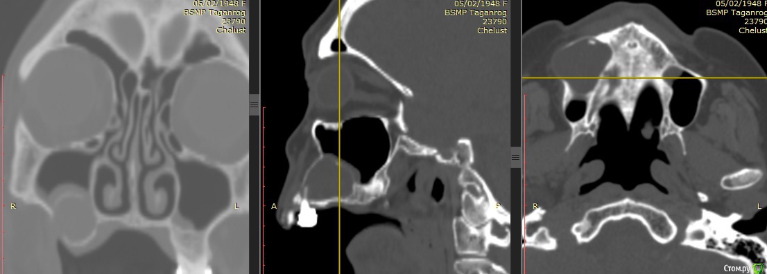
carloss Опубликовано 3 октября, 2015 Автор Поделиться Опубликовано 3 октября, 2015 (изменено) если не затруднит пжста выложите снимокhttp://savepic.ru/7900701.jpg имплантат аспексом нёбно.. там очень далеко от верхушки.. проекция такая Изменено 3 октября, 2015 пользователем carloss 1 Ссылка на комментарий
Alexey Doc Опубликовано 3 октября, 2015 Поделиться Опубликовано 3 октября, 2015 кисты дают экспансивный рост в пределах губчатого вещества, кортикалка не затрагивается и уж точно не мигрирует в полость пазухиНе согласен с вами! Как можете объяснить свою точку зрения?Недавно оперировал больную с радикулярной кистой Ссылка на комментарий
ПалСаныч Опубликовано 3 октября, 2015 Поделиться Опубликовано 3 октября, 2015 О! Расскажи пожалуйста, как делал? У меня один в один случай. Вот думаю просто убрать и под сгустком оставить или заполнить графтом и ушить? Ссылка на комментарий
Alexey Doc Опубликовано 3 октября, 2015 Поделиться Опубликовано 3 октября, 2015 Пал Саныч 2 месяца вел на декомпрессии - размер немного поубавился, стенки местами стали плотнее. Планировал цистэктомию, если не повезет ороназальную цистэктомию. Но все прошло удачно - вестибулярная стенка частично отсутствовала, частично была сильно истончена почти всю удалил, оболочку выделил всю целиком удалил вместе с причинным зубом, сглажены края. Полость кисты выполнена отечественным (дешевым) материалом коллост в перемешку с нарезанным PRF, поверх мембрана тойже фирмы ( достаточно жесткая), и оставшиеся PRF мембранки поверх ее. Думаю что в таком объеме произойдет ретракция сгустка если не чем не заполнять. В январе по моему будет 6 месяцев вызову на контроль.Вот несколько фото с операции даже нашел 4 Ссылка на комментарий
krokomot Опубликовано 3 октября, 2015 Поделиться Опубликовано 3 октября, 2015 Не согласен с вами! Как можете объяснить свою точку зрения?Недавно оперировал больную с радикулярной кистой колодкина киста..jpg Патогистологическое исследование стенки околокорневых кист, оттесняющих верхнечелюстной синус, показало, что независимо от наличия или отсутствия воспалительного процесса наблюдается резорбция костной ткани между дном синуса и куполом (стенкой) околокорневой кисты. По сути при миграции дна пазухи как таковой костной ткани нет есть прослойка соеденительной ткани и остеойдного вещества при стихании процесса остеойдная ткань превращается в костную и так далее. Т.е по глубине нарушения микроциркуляции от стенки кисты наиболее выраженными являются прорастающие в полость пазухи киты, затем оттесняющие дно и уж потом прилегающие к стенке пазухи. О чем я и говорил что при миграции дна пазухи кортикалка по сути в этот момент лизируется и перемещается соеденительная ткань, надкостница и слизистая пазухи. когда процессы лизиса перестают преобладать, остеобласты начинают структуировать остеодное вещество появляется костная пластинка на новом месте. Ссылка на комментарий
zzkz Опубликовано 3 октября, 2015 Поделиться Опубликовано 3 октября, 2015 http://savepic.ru/7900701.jpg имплантат аспексом нёбно.. там очень далеко от верхушки.. проекция такаяСпасибо Ссылка на комментарий
Sahan Опубликовано 4 октября, 2015 Поделиться Опубликовано 4 октября, 2015 Пал Саныч 2 месяца вел на декомпрессии -А это как? Ссылка на комментарий
Alexey Doc Опубликовано 4 октября, 2015 Поделиться Опубликовано 4 октября, 2015 На дренажной трубке Ссылка на комментарий
carloss Опубликовано 28 января, 2016 Автор Поделиться Опубликовано 28 января, 2016 (изменено) http://savepic.ru/8455563.jpg 3.8-9 http://savepic.ru/8468875.jpg Изменено 28 января, 2016 пользователем carloss 6 Ссылка на комментарий
Рекомендуемые сообщения
Для публикации сообщений создайте учётную запись или авторизуйтесь
Вы должны быть пользователем, чтобы оставить комментарий
Создать аккаунт
Зарегистрируйте новый аккаунт в нашем сообществе. Это очень просто!
Регистрация нового пользователяВойти
Уже есть аккаунт? Войти в систему.
Войти