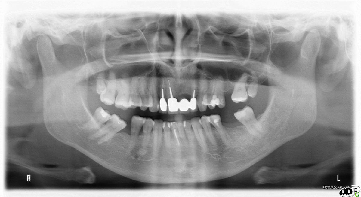
LENalena1965 Опубликовано 1 октября, 2015 Поделиться Опубликовано 1 октября, 2015 Прошу вас помочь! Вопрос в следующем. Планирую протезирование на начало ноября 2015 г. Снимок приложен. Была на консультации у протезиста. Предлагает начать слева. Верх соединить мостиком 7+5. Низ также. Внизу 5-ка розового цвета, пломбировалась в далеком 1995 г. Материл- Безметалловая керамическая коронка. Перед протезирование удаление верхних 8, они очень маленькие. Врач сказал, что там образуются карманы, и может развиться кариес. После этого заняться протезированием правой, а именно удаление 8, выравнивание 7, далее удаление 5, и затем установка мостика. Левая часть обтачивается на живых зубах. Хотелось бы узнать, почему не удаляются нервы в зубах, которые протезируются. Далее смущает материал, вернее его долговечность. Все таки это жевательные зубы. Спасибо! Ссылка на комментарий
red_butler Опубликовано 1 октября, 2015 Поделиться Опубликовано 1 октября, 2015 1. Консультация ортодонта2. Профессиональная гигиена3. Терапевтическая санация4. Перелечить 3.55. Удалить мудрые зубы6. Ортодонтическое лечение7. Имплантация 2.6 3.6 4.68. Протезирование имплантов и 3.5 1 Ссылка на комментарий
LENalena1965 Опубликовано 5 октября, 2015 Автор Поделиться Опубликовано 5 октября, 2015 Добрый день! Имплантация по состоянию здоровья исключена. Ссылка на комментарий
red_butler Опубликовано 5 октября, 2015 Поделиться Опубликовано 5 октября, 2015 Добрый день! Имплантация по состоянию здоровья исключена.Кто Вам это сказал? Ссылка на комментарий
LENalena1965 Опубликовано 5 октября, 2015 Автор Поделиться Опубликовано 5 октября, 2015 Я наблюдаюсь в онкоцентре. Установку имплантов не рассматриваю. Ссылка на комментарий
Рекомендуемые сообщения
Для публикации сообщений создайте учётную запись или авторизуйтесь
Вы должны быть пользователем, чтобы оставить комментарий
Создать аккаунт
Зарегистрируйте новый аккаунт в нашем сообществе. Это очень просто!
Регистрация нового пользователяВойти
Уже есть аккаунт? Войти в систему.
Войти