anvladd Опубликовано 29 сентября, 2015 Поделиться Опубликовано 29 сентября, 2015 коллеги подскажите название материала для wax up. Ссылка на комментарий
Гарриевич Опубликовано 29 сентября, 2015 Поделиться Опубликовано 29 сентября, 2015 Это для техника?Они там свои воска используют, коих многоЕсли имелся в виду мок ап, то пластмасса структур, люксатемп, протемп и прочее Ссылка на комментарий
anvladd Опубликовано 29 сентября, 2015 Автор Поделиться Опубликовано 29 сентября, 2015 (изменено) Да для технички,именно wax up. Интересует название для заказа. Техник чета не шевелится,а мне больше всех надо Изменено 29 сентября, 2015 пользователем anvladd Ссылка на комментарий
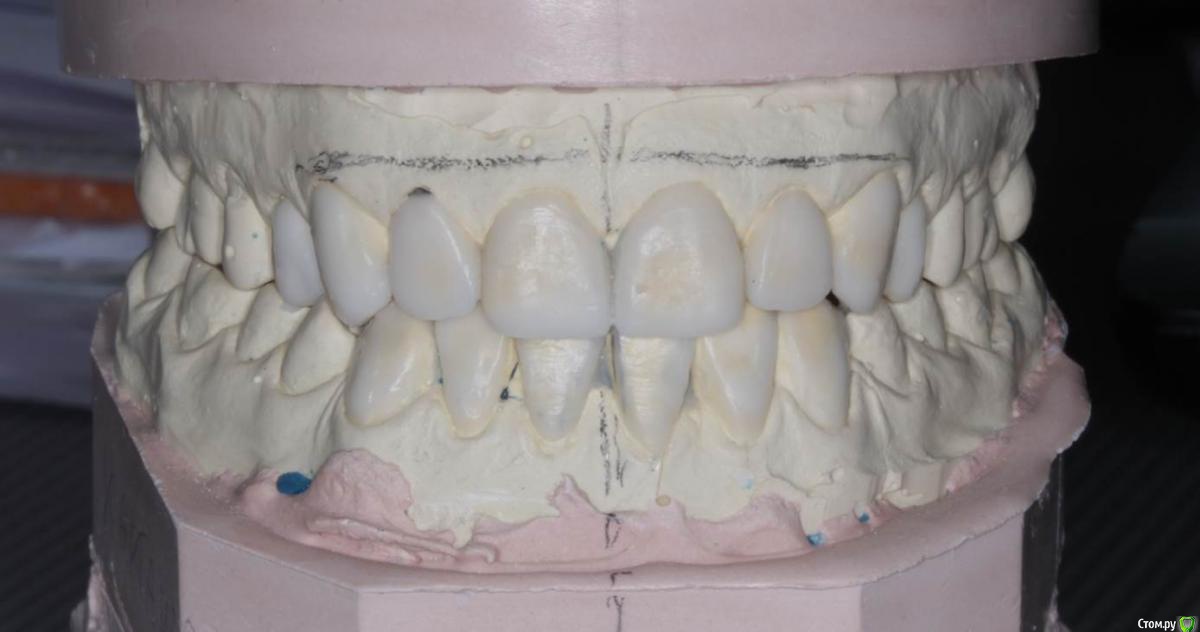
Сева северный Опубликовано 30 сентября, 2015 Поделиться Опубликовано 30 сентября, 2015 Я сам доктор. При планировании, предпочитаю делать wax up сам. Воска использую…. вот эти. Белый больше нравится пациентам ( похожи на зубы). В работе хуже, при небольших объёмах нанесения , гипс забивает белый тон. Смотри фото.Серый ( опаковый) более информативен, контрастен , классно видна текстура. Если модель без демонстрации пациенту, предпочитаю его. 4 Ссылка на комментарий
Рекомендуемые сообщения
Для публикации сообщений создайте учётную запись или авторизуйтесь
Вы должны быть пользователем, чтобы оставить комментарий
Создать аккаунт
Зарегистрируйте новый аккаунт в нашем сообществе. Это очень просто!
Регистрация нового пользователяВойти
Уже есть аккаунт? Войти в систему.
Войти