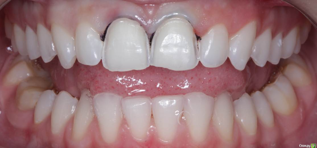
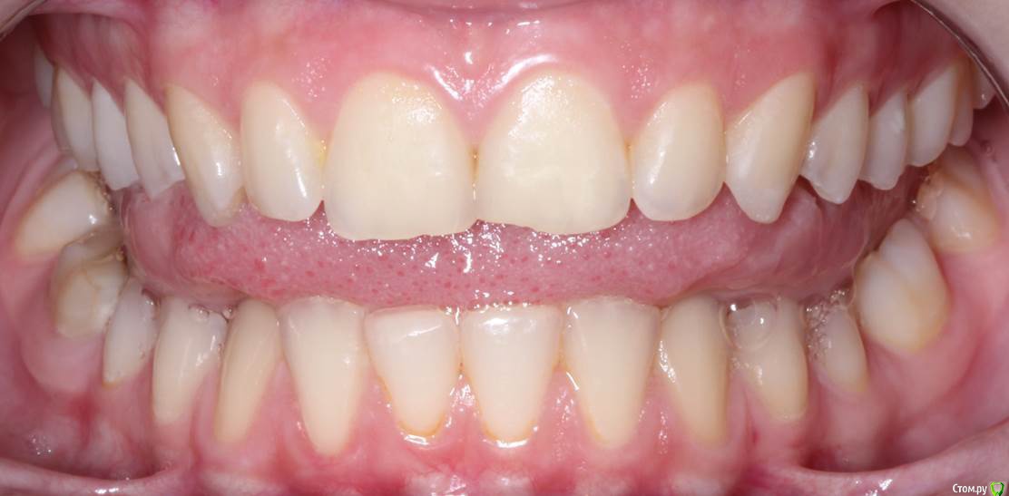
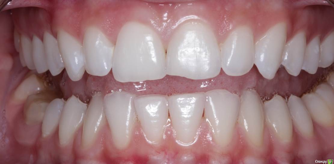
Популярный пост Сева северный Опубликовано 28 сентября, 2015 Популярный пост Поделиться Опубликовано 28 сентября, 2015 Пациенка, молодая девушка. 18 лет. После ортодонтического лечения, в сторонней клинике (прошло примерно 1,5 года). Анализ улыбки ..(DSD) (wax up) и примерки (mock up) выявили необходимость удлинения центральных резцов. Было предложено предварительное отбеливание. Вот, что получилось. 25 Ссылка на комментарий
DR.P Опубликовано 28 сентября, 2015 Поделиться Опубликовано 28 сентября, 2015 (изменено) Спасибо за кейс. Интересны подробности: причина скола центральных?Не длинноваты центральные резцы? (не могли бы померить от режущего до десневого) Что говорит функция? Звуковые пробы С и Ф. Изменено 28 сентября, 2015 пользователем DR.P Ссылка на комментарий
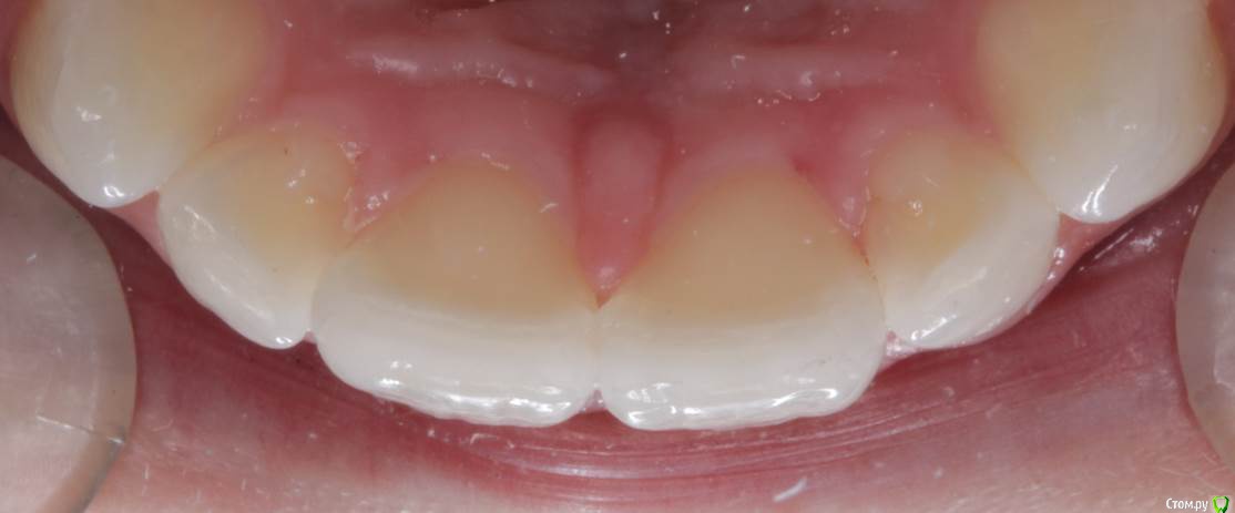
Сева северный Опубликовано 28 сентября, 2015 Автор Поделиться Опубликовано 28 сентября, 2015 Повторюсь пациентка, после ортодонтического лечения, это не сколы, а стираемость возникшая до проведенного лечения. Пробы проводились . Все ОК. Дикция не нарушенна. Ссылка на комментарий
carloss Опубликовано 28 сентября, 2015 Поделиться Опубликовано 28 сентября, 2015 супер! Ссылка на комментарий
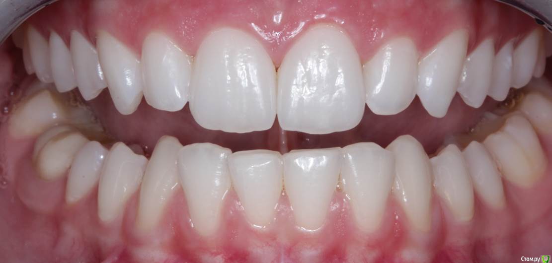
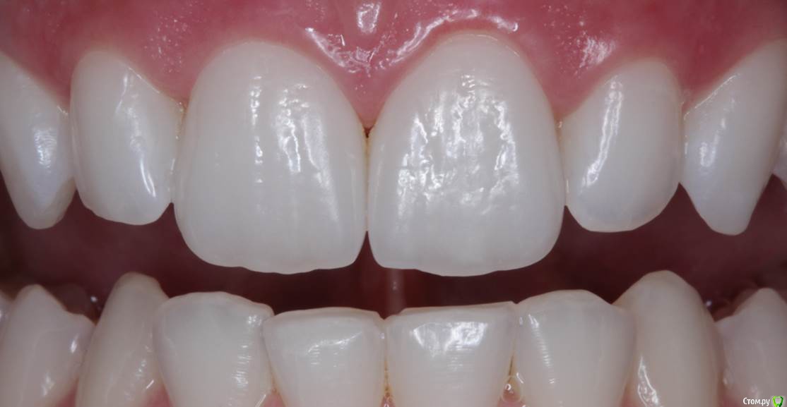
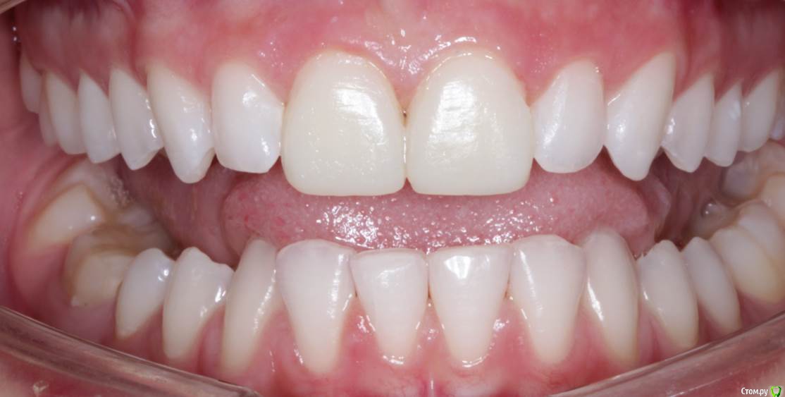
Сева северный Опубликовано 28 сентября, 2015 Автор Поделиться Опубликовано 28 сентября, 2015 Спасибо. Финальные Фото кейса , через 5 дней, после фиксации. Десна ещё с вопросами.. . Ссылка на комментарий
diesel87 Опубликовано 28 сентября, 2015 Поделиться Опубликовано 28 сентября, 2015 Мне кажется длинноваты резцы все таки, чуть короче бы хотелось. Имхо. 2 Ссылка на комментарий
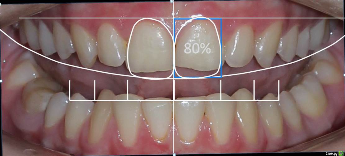
Сева северный Опубликовано 28 сентября, 2015 Автор Поделиться Опубликовано 28 сентября, 2015 Резцы немного смесщенны протрузионно, я лишь немного добавил недостающий обьем в области режущего края, без изменения небной поверхности . Клыки работающие. Ссылка на комментарий
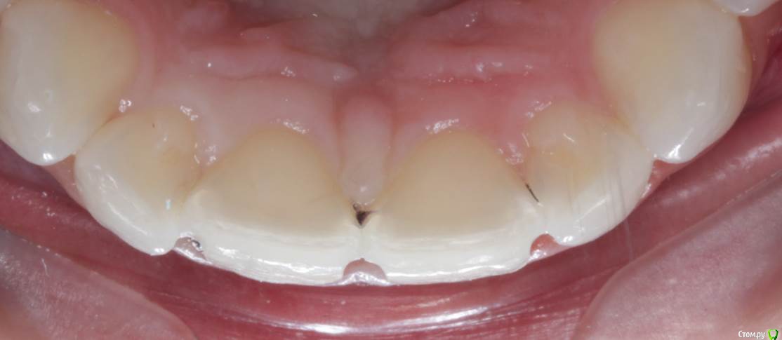
Сева северный Опубликовано 28 сентября, 2015 Автор Поделиться Опубликовано 28 сентября, 2015 Фото препа... Ссылка на комментарий
Doc.IQ Опубликовано 28 сентября, 2015 Поделиться Опубликовано 28 сентября, 2015 Супер..врачебка и техничка на высшем уровне..понравилась форма реставраций!!Чем отбеливали?? Ссылка на комментарий
Сева северный Опубликовано 28 сентября, 2015 Автор Поделиться Опубликовано 28 сентября, 2015 Комбинация, офисного и домашнего отбеливания.! Отбеливание по акциям (много и недорого) "даёт бесценный опыт". Зато теперь почти всегда Bleach. Ссылка на комментарий
DR.P Опубликовано 28 сентября, 2015 Поделиться Опубликовано 28 сентября, 2015 Красивая работа! Техник молодец! Цвет текстура! Приглашали на прием? Ссылка на комментарий
Art 7 Опубликовано 29 сентября, 2015 Поделиться Опубликовано 29 сентября, 2015 Супер Ссылка на комментарий
an_ver Опубликовано 29 сентября, 2015 Поделиться Опубликовано 29 сентября, 2015 Круто.Длина в самый раз 1 Ссылка на комментарий
zzkz Опубликовано 29 сентября, 2015 Поделиться Опубликовано 29 сентября, 2015 все красиво, только немного смущает длина резцов. Наверно на фото с лицом все гармонично)И я бы с настройками фотоаппарата поработал Ссылка на комментарий
Сева северный Опубликовано 29 сентября, 2015 Автор Поделиться Опубликовано 29 сентября, 2015 Да техник молодец.!! Пациентка ездила к нему, у него в лаборатории оборудовано место для фоторегистрации. Очень удобно!!!! Я работаю с Canon (кольцевая вспышка) он с Nikon( биполярка). Бывают разночтения....Плюс ..Успех в работе порой на 2/3 от зависит технической части.Если техник не видет результатов своей работы, роста не будет. И все же, начальное планирование wax -up я предрочитаю делать сам. Ссылка на комментарий
Сева северный Опубликовано 29 сентября, 2015 Автор Поделиться Опубликовано 29 сентября, 2015 Фото с лицом,,,,,,, 1 Ссылка на комментарий
carloss Опубликовано 29 сентября, 2015 Поделиться Опубликовано 29 сентября, 2015 да, длинные , не совсем гармонирующие с остальными, даже можно сказать слегка гротескные резцы, придают кокетства.. чего ей не хватает.. имхо еще раз супер! п.с. не всегда удается уговорить на доминирующие единички, и не всегда оно надо лицу 2 Ссылка на комментарий
MaxDok Опубликовано 29 сентября, 2015 Поделиться Опубликовано 29 сентября, 2015 Работа супер ! Покажите фото до , с лицом . Все сомнения по поводу длинны уйдут.. имхо Ссылка на комментарий
doktor vv Опубликовано 29 сентября, 2015 Поделиться Опубликовано 29 сентября, 2015 Отличная работа!!! Ссылка на комментарий
an_ver Опубликовано 30 сентября, 2015 Поделиться Опубликовано 30 сентября, 2015 В десятку попал! Очень красиво Ссылка на комментарий
Rumata Опубликовано 30 сентября, 2015 Поделиться Опубликовано 30 сентября, 2015 Очень гармонично. Работа гуд! Ссылка на комментарий
Jenechkin Опубликовано 30 сентября, 2015 Поделиться Опубликовано 30 сентября, 2015 Отличный кейс! Ссылка на комментарий
Чертков Александр Опубликовано 30 сентября, 2015 Поделиться Опубликовано 30 сентября, 2015 Оч.круто! Ссылка на комментарий
Сева северный Опубликовано 30 сентября, 2015 Автор Поделиться Опубликовано 30 сентября, 2015 Коллеги, спасибо за отзывы. Carloss….. в точку ….всегда хочется поучаствовать в изменениях внешности, идущие на пользу, хотя казалось бы: «Это только зубы». В данной работе, из за сомнений пациентки по поводу длины , У меня сомнений не было….. мне пришлось на день отложить препарирование. Приклеив адгезивно (точечно) Mouk up и отпустить её ….. походить.... попробовать новые ДЛИННЫЕ зубы.И на завтра она сказала…ДА. 2 Ссылка на комментарий
Bobby Опубликовано 1 октября, 2015 Поделиться Опубликовано 1 октября, 2015 Приклеив адгезивно (точечно) Mouk up и отпустить её ….. походить.... попробовать новые ДЛИННЫЕ зубы. mock-up (макет) Работа 5+! В Феврале буду в Воронеже Ссылка на комментарий
Рекомендуемые сообщения
Для публикации сообщений создайте учётную запись или авторизуйтесь
Вы должны быть пользователем, чтобы оставить комментарий
Создать аккаунт
Зарегистрируйте новый аккаунт в нашем сообществе. Это очень просто!
Регистрация нового пользователяВойти
Уже есть аккаунт? Войти в систему.
Войти