garett Опубликовано 28 сентября, 2015 Поделиться Опубликовано 28 сентября, 2015 Добрый день всем! Такая вот проблема вырисовалась у меня - есть верхний пятый зуб, году так в 2004 примерно были запломбированы каналы, установлены штифты и посажена огромная пломба. Помню, что стенки одной вообще не осталось, от второй - небольшой кусок. Со временем между этим зубом и шестым образовался довольно большой карман, который постоянно приходится чистить после еды. Буквально в апреле делал панорамный снимок, вроде бы кисты над этим зубом не было (была начальная на соседнем, но ее вылечили). И вот в прошлый вторник ни с того ни с сего - как обычно пообедал, показалось, что не полностью карман вычистил. К вечеру появилось тянущее ощущение на этом зубе. Опять прочистил - вроде бы нет остатков пищи. А дальше началось совсем уж что-то невообразимое - разболелась десна, да так, что казалось - все верхние зубы болят с этой стороны. Особенно тяжко было ночью, думал - пульпит в соседнем зубе. Постепенно боль превратилась в пульсирующую, десна над зубом припухла. Сейчас боли явной нет, но есть небольшая припухлость (причем не в кармане, а именно над зубом где-то). Нажимать на это место больно. Как могла киста (если это она) образоваться за один день??? Снимок есть в электронном виде, могу приложить. Но он полугодовой давности, хотя за эти полгода зуб не беспокоил. 1 Ссылка на комментарий
St. Опубликовано 28 сентября, 2015 Поделиться Опубликовано 28 сентября, 2015 Прикладывайте какой есть. но думаю необходимо будет сделать свежий. 3 Ссылка на комментарий
IvanK Опубликовано 29 сентября, 2015 Поделиться Опубликовано 29 сентября, 2015 http://forum.stom.ru/topic/20613-sovety-patcientam-obiazatelno-k-prochteniiu/ 1 Ссылка на комментарий
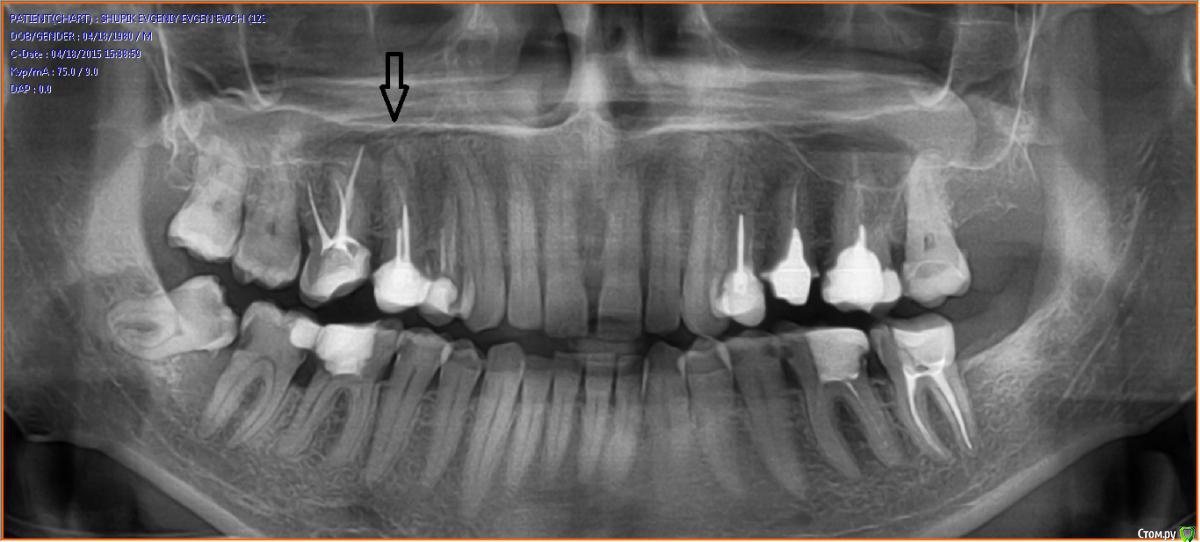
garett Опубликовано 29 сентября, 2015 Автор Поделиться Опубликовано 29 сентября, 2015 Прикладывайте какой есть. но думаю необходимо будет сделать свежий.Стрелкой отметил этот зуб. Там виден большой карман и, как я понимаю, в него проникла инфекция. Сегодня болит меньше (временами вообще не беспокоит), но припухлость локализовалась аккурат между 5 и 6 зубами. Жевать не больно ни на 5, ни на 6 зубы. Постукивание по ним тоже не вызывает дискомфорта. Но вот если надавить на эту шишку - пронзает просто. И боль именно острая, как при порезе. Зубы так не болят, там боль ноющая. Еще неделю назад все было в норме. Ссылка на комментарий
St. Опубликовано 29 сентября, 2015 Поделиться Опубликовано 29 сентября, 2015 По этому снимку в 5 зубе неидеально запломбированы каналы и видно небольшой воспалительный процесс на верхушке корня. Это может вызывать описанный Вами дискомфорт. Помимо этого есть определенные проблемы в других зубах. Ссылка на комментарий
garett Опубликовано 30 сентября, 2015 Автор Поделиться Опубликовано 30 сентября, 2015 (изменено) По этому снимку в 5 зубе неидеально запломбированы каналы и видно небольшой воспалительный процесс на верхушке корня. Это может вызывать описанный Вами дискомфорт. Помимо этого есть определенные проблемы в других зубах.Сегодня ночью температура поднялась, очень болела десна. Причем опять-таки острой болью, как будто это ожог или рана. Утром существенно полегчало, болеть перестало, но зато очень сильно опухла щека. Вот записался в ближайшую стоматологию, что-то тревожно. И зуб не хочется терять, может быть, если пролечить каналы и заново запломбировать, воспаление пройдет?И все равно непонятно - если в соседнем зубе обнаружили случайно кисту, которая давно там росла (очень плохо были запломбированы каналы), лечили почти 3 месяца и при этом болевых ощущений не было, то как могла киста развиться над пятым зубом практически за неделю? Такое бывает? Изменено 30 сентября, 2015 пользователем garett Ссылка на комментарий
St. Опубликовано 30 сентября, 2015 Поделиться Опубликовано 30 сентября, 2015 могла киста развиться над пятым зубом практически за неделю? Такое бывает? Нет, процесс развивается как минимум месяцы, а чаще годы. За неделю могло случиться обострение. зато очень сильно опухла щека Как Вы? Что сказали в стоматологии? Ссылка на комментарий
garett Опубликовано 30 сентября, 2015 Автор Поделиться Опубликовано 30 сентября, 2015 (изменено) Нет, процесс развивается как минимум месяцы, а чаще годы. За неделю могло случиться обострение. Как Вы? Что сказали в стоматологии? Ох, было ОЧЕНЬ неприятно - к счастью, был хирург на месте, так он за голову схватился, давай меня спасать Сказал - еще немного, и пришлось бы посещать специалистов челюстно-лицевой хирургии. Разрезал десну, удалил гной, поставил дренаж. Вроде бы полегчало, но теперь разнесло всю щеку слева, причем равномерно, а не только в месте операции. Прописал антибиотики. Пока так и не понял, что именно вызвало такое воспаление. Никогда в жизни не образовывался гнойник, причем за несколько дней буквально. Изменено 30 сентября, 2015 пользователем garett Ссылка на комментарий
St. Опубликовано 1 октября, 2015 Поделиться Опубликовано 1 октября, 2015 Выздоравливайте Отек 2-3 суток на месте разреза - это нормально, потом должен уменьшаться постепенно. Антибиотики пейте, причем обязательно назначенное количество дней, не бросайте раньше даже если полегчает. Ссылка на комментарий
garett Опубликовано 1 октября, 2015 Автор Поделиться Опубликовано 1 октября, 2015 (изменено) Выздоравливайте Отек 2-3 суток на месте разреза - это нормально, потом должен уменьшаться постепенно. Антибиотики пейте, причем обязательно назначенное количество дней, не бросайте раньше даже если полегчает.Если интересно - сегодня был у терапевта, начали было распломбировывать проблемный 5-й зуб и не удалось извлечь один из штифтов. Вкручен намертво, причем довольно глубоко. Очень не хочется удалять этот зуб, он крепко сидит, каналы вроде бы хорошие, неужели из-за того, что штифт не получилось пока убрать, я должен лишаться зуба? Ну вот на снимке видно, наверное - там один штифт чрезвычайно длинный. Что Вы думаете по этому поводу?P.S. Аргументируют так, что если даже высверлить этот штифт, потом стенка будет тонкая и вкладку не получится поставить. Для примера - такой же точно 5 зуб справа - тоже было 2 штифта, их убрали и поставили вкладку (коронка на момент создания снимка еще не была готова). И отлично все. Может быть, имеет смысл в другую клинику сходить? Это дело такое, зуб потом не вернешь. Изменено 1 октября, 2015 пользователем garett Ссылка на комментарий
garett Опубликовано 5 октября, 2015 Автор Поделиться Опубликовано 5 октября, 2015 Выздоравливайте Отек 2-3 суток на месте разреза - это нормально, потом должен уменьшаться постепенно. Антибиотики пейте, причем обязательно назначенное количество дней, не бросайте раньше даже если полегчает.Вчера снимок этого зуба сделал - очаг воспаления практически не виден уже, но: означает ли это, что как только перестану принимать антибиотики, все повторится снова? Там сейчас пломба стоит временная, один канал освобожден от штифта. Ссылка на комментарий
red_butler Опубликовано 5 октября, 2015 Поделиться Опубликовано 5 октября, 2015 Вчера снимок этого зуба сделал - очаг воспаления практически не виден уже, покажите снимок, скорее всего дело в том как сделан новый снимок, а не в излечении. 3 Ссылка на комментарий
garett Опубликовано 5 октября, 2015 Автор Поделиться Опубликовано 5 октября, 2015 покажите снимок, скорее всего дело в том как сделан новый снимок, а не в излечении. Ох, он в клинике остался. Вот еще вопрос - есть ли смысл сделать томографию проблемного зуба? Слышал, что в таких случаях может помочь, там вроде бы в трех измерениях зуб виден, а не просто в одной плоскости, как на обычном рентгеновском снимке. Ссылка на комментарий
St. Опубликовано 5 октября, 2015 Поделиться Опубликовано 5 октября, 2015 Если есть возможность, то да, лучше сделать КТ. Ссылка на комментарий
garett Опубликовано 20 октября, 2015 Автор Поделиться Опубликовано 20 октября, 2015 Я уже надоел всем, наверное - решил сделать паузу с этим зубом, антибиотики прекратил принимать 7 октября еще, пока все вроде бы тихо. Вот разве что если с усилием прощупать место, где был гнойник - есть неприятное ощущение. Исчезает сразу после снятия давления. Хотел бы дотянуть до весны, мой стоматолог должна вернуться к этому времени, очень ей доверяю. Может быть, периодически принимать антибиотики, чтобы не допустить рецидива за это время или так нельзя? Сами понимаете - не хочется потерять зуб, нужно за него побороться... Ссылка на комментарий
Рекомендуемые сообщения
Для публикации сообщений создайте учётную запись или авторизуйтесь
Вы должны быть пользователем, чтобы оставить комментарий
Создать аккаунт
Зарегистрируйте новый аккаунт в нашем сообществе. Это очень просто!
Регистрация нового пользователяВойти
Уже есть аккаунт? Войти в систему.
Войти