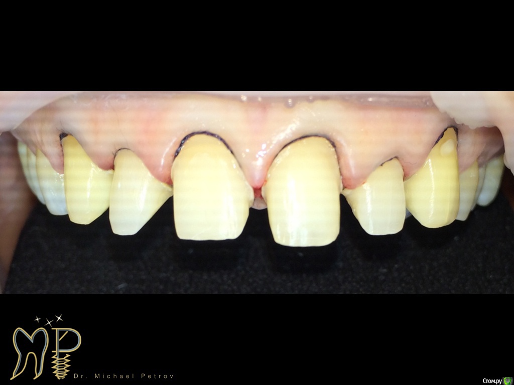
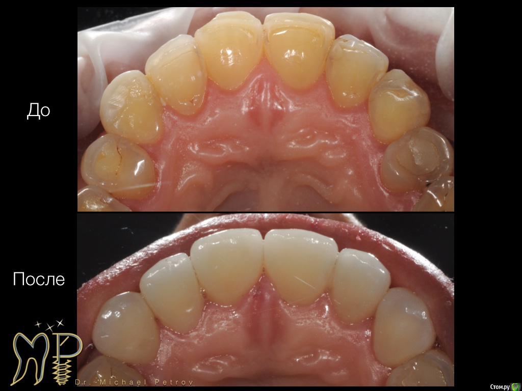
DR.P Опубликовано 27 сентября, 2015 Поделиться Опубликовано 27 сентября, 2015 С удовольствием представлю данный кейс Пациент обратилась ко мне с желанием изменить улыбку. Ранее ей были сделаны 6 композитных виниров, ей не нравилось то, что композит со временем потускнел, местами скололся, был виден переход винира в зуб, где скапливался налет. После планирования и изгтовления вакс апа на этапе препарирования твердых тканей было принято решение сделать круговой винир 360. Создана клыковая и резцовая направляющие. Остальное по фото. Девушка счастлива, стала красить губы яркой губной помадой и широко уверенно улыбаться. 16 Ссылка на комментарий
diesel87 Опубликовано 27 сентября, 2015 Поделиться Опубликовано 27 сентября, 2015 нужна фотка с яркой помадой!) 5 Ссылка на комментарий
DR.P Опубликовано 27 сентября, 2015 Автор Поделиться Опубликовано 27 сентября, 2015 Да!)) думаю будет Ссылка на комментарий
Magomed Опубликовано 27 сентября, 2015 Поделиться Опубликовано 27 сентября, 2015 наверное через пять лет ,коронки будем называть круговое напыление☺или как -нибудь по другому. а так всё красиво. 3 Ссылка на комментарий
Evikrol Опубликовано 27 сентября, 2015 Поделиться Опубликовано 27 сентября, 2015 Фотография с препом есть? Ссылка на комментарий
Alberto Опубликовано 27 сентября, 2015 Поделиться Опубликовано 27 сентября, 2015 Отличная работа, фото с препом хотелось бы увидеть.И еще Михаил скажите что за прога обозначения цвета на фото. Ссылка на комментарий
DR.P Опубликовано 27 сентября, 2015 Автор Поделиться Опубликовано 27 сентября, 2015 Фото сделал на Iphone, в тот день забыл карту памяти поставить в фотоаппарат, светильник светодиодный, поэтому видна рябь полосы. 2 Ссылка на комментарий
DR.P Опубликовано 27 сентября, 2015 Автор Поделиться Опубликовано 27 сентября, 2015 (изменено) Отличная работа, фото с препом хотелось бы увидеть.И еще Михаил скажите что за прога обозначения цвета на фото.Спасибо!Я пытаюсь любыми способами заинтересовать техника в работе, поэтому делаю красочные слайды. Данная цветовая палитра была просто нарисована. Изменено 27 сентября, 2015 пользователем DR.P 2 Ссылка на комментарий
Doc.IQ Опубликовано 27 сентября, 2015 Поделиться Опубликовано 27 сентября, 2015 Спасибо за презентацию..очень достойно..понравилось!!! Ссылка на комментарий
DR.P Опубликовано 27 сентября, 2015 Автор Поделиться Опубликовано 27 сентября, 2015 (изменено) Спасибо! ) скоро будет еще одна Изменено 27 сентября, 2015 пользователем DR.P Ссылка на комментарий
ValM Опубликовано 27 сентября, 2015 Поделиться Опубликовано 27 сентября, 2015 Скажите,как Вы контролировали редукцию тканей небно и сколько убирали небно? Ссылка на комментарий
Bobby Опубликовано 28 сентября, 2015 Поделиться Опубликовано 28 сентября, 2015 Результат хороший. Видно планирование. У пациентки пухлые губы, поэтому просятся более овальные реставрации. На культах есть немного острых углов, не критично, но я бы ещё капельку закруглил. Спасибо за кейс. И очень хорошо видно, что остались в эмали. 1 Ссылка на комментарий
DR.P Опубликовано 28 сентября, 2015 Автор Поделиться Опубликовано 28 сентября, 2015 Результат хороший. Видно планирование. У пациентки пухлые губы, поэтому просятся более овальные реставрации. На культах есть немного острых углов, не критично, но я бы ещё капельку закруглил. Спасибо за кейс. И очень хорошо видно, что остались в эмали.Спасибо! Особенно приятно от вас слышать! Замечания учту на следующих работах 1 1 Ссылка на комментарий
DR.P Опубликовано 28 сентября, 2015 Автор Поделиться Опубликовано 28 сентября, 2015 Скажите,как Вы контролировали редукцию тканей небно и сколько убирали небно?Небно я делаю сначала круговой уступ, затем с помощью регби начинаю снимать, делая вогнутость. В оптике хорошо видно в эмали или уже дентине. Можно разделить визуально поверхность по саггитали: начать препарирование одной половины и тогда будет четко видно сколько вы сняли. Но удобнее всего - изготовить ключ Ссылка на комментарий
ValM Опубликовано 28 сентября, 2015 Поделиться Опубликовано 28 сентября, 2015 Небно я делаю сначала круговой уступ, затем с помощью регби начинаю снимать, делая вогнутость. В оптике хорошо видно в эмали или уже дентине. Можно разделить визуально поверхность по саггитали: начать препарирование одной половины и тогда будет четко видно сколько вы сняли. Но удобнее всего - изготовить ключ Спасибо Ссылка на комментарий
an_ver Опубликовано 28 сентября, 2015 Поделиться Опубликовано 28 сентября, 2015 Красиво! Ссылка на комментарий
Ibulat_1986 Опубликовано 28 сентября, 2015 Поделиться Опубликовано 28 сентября, 2015 хороший кейс. что за программу использовали для визуализации? DSD? Ссылка на комментарий
DR.P Опубликовано 28 сентября, 2015 Автор Поделиться Опубликовано 28 сентября, 2015 хороший кейс. что за программу использовали для визуализации? DSD?Подойдет любая программа для рисования или создания презентаций. Я использовал keynote Ссылка на комментарий
Zhukovadoc Опубликовано 29 сентября, 2015 Поделиться Опубликовано 29 сентября, 2015 Скажите,на что фиксировали работу? Ссылка на комментарий
Zhukovadoc Опубликовано 29 сентября, 2015 Поделиться Опубликовано 29 сентября, 2015 Скажите,на что фиксировали работу? Ссылка на комментарий
DR.P Опубликовано 29 сентября, 2015 Автор Поделиться Опубликовано 29 сентября, 2015 (изменено) Фиксация на вариолинк винир с адгезивной стстемой OptiBond Fl Изменено 29 сентября, 2015 пользователем DR.P Ссылка на комментарий
doktor vv Опубликовано 29 сентября, 2015 Поделиться Опубликовано 29 сентября, 2015 А синтак из набора вариолинк винир?Или это дань моде( я про оптибонд) Ссылка на комментарий
DR.P Опубликовано 29 сентября, 2015 Автор Поделиться Опубликовано 29 сентября, 2015 Не скажу что это дань моды. Мне нравится этот адгезив, я ему доверяю. Считаю его не модным, а признаным Ссылка на комментарий
Heatshock Опубликовано 29 сентября, 2015 Поделиться Опубликовано 29 сентября, 2015 Хорошая работа. А почему называется виниры 360, а не коронки?) Ссылка на комментарий
DR.P Опубликовано 29 сентября, 2015 Автор Поделиться Опубликовано 29 сентября, 2015 (изменено) Спасибо! Это веяние с курсов Мауро Фрадеани)) если в пределах эмали то коронка будет очень тонкой поэтому винир 360. Манье Паскаль тоже называет круговым виниром. Изменено 29 сентября, 2015 пользователем DR.P 1 Ссылка на комментарий
Рекомендуемые сообщения
Для публикации сообщений создайте учётную запись или авторизуйтесь
Вы должны быть пользователем, чтобы оставить комментарий
Создать аккаунт
Зарегистрируйте новый аккаунт в нашем сообществе. Это очень просто!
Регистрация нового пользователяВойти
Уже есть аккаунт? Войти в систему.
Войти