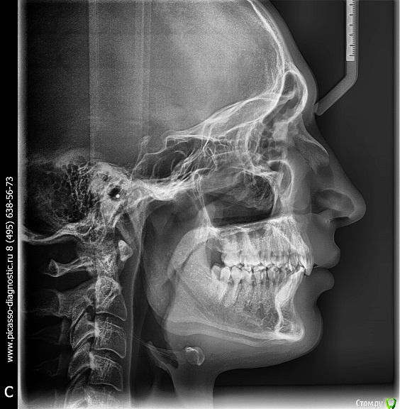
Arseny0111 Опубликовано 27 сентября, 2015 Поделиться Опубликовано 27 сентября, 2015 (изменено) Здравствуйте,в ходе драки получил удар,в верхнюю челюсть,сразу же не значительно сменился прикус и искривилась носовая перегородка.Есть ли на снимках отклонения от нормы?трещина?и т.д.Что с этим делать к кому обращаться?Из исследований дополнительно имеется МСКТ(3D)Спасибо. Изменено 27 сентября, 2015 пользователем Arseny0111 Ссылка на комментарий
Arseny0111 Опубликовано 1 октября, 2015 Автор Поделиться Опубликовано 1 октября, 2015 Здравствуйте,в ходе драки получил удар,в верхнюю челюсть,сразу же не значительно сменился прикус и искривилась носовая перегородка.Есть ли на снимках отклонения от нормы?трещина?и т.д.Что с этим делать к кому обращаться?Из исследований дополнительно имеется МСКТ(3D)Спасибо.Уважаемые доктора,помогите пожалуйста.Неужели нет компетентных специалистов в этой области? Ссылка на комментарий
major Опубликовано 1 октября, 2015 Поделиться Опубликовано 1 октября, 2015 КТ скиньте Ссылка на комментарий
Arseny0111 Опубликовано 2 октября, 2015 Автор Поделиться Опубликовано 2 октября, 2015 https://yadi.sk/d/m2rQ7K7ojUTHC Ссылка на комментарий
Arseny0111 Опубликовано 6 октября, 2015 Автор Поделиться Опубликовано 6 октября, 2015 Аууууу хоть кто-нибудь может помочь? Ссылка на комментарий
major Опубликовано 6 октября, 2015 Поделиться Опубликовано 6 октября, 2015 Извините, КТ не открывается. В ближайшее время постараюсь отсмотреть еще раз. Ссылка на комментарий
Arseny0111 Опубликовано 7 октября, 2015 Автор Поделиться Опубликовано 7 октября, 2015 Большое спасибо.Перезалил Кт может сейчас получится https://docviewer.yandex.ru/?url=ya-disk%3A%2F%2F%2Fdisk%2FMSKT.zip&name=MSKT.zip&c=561544278a94 Ссылка на комментарий
red_butler Опубликовано 7 октября, 2015 Поделиться Опубликовано 7 октября, 2015 Arseny0111, а Вы у врача были? или просто две недели ждете консультации в интернете? 1 Ссылка на комментарий
Arseny0111 Опубликовано 7 октября, 2015 Автор Поделиться Опубликовано 7 октября, 2015 У врача не был,просто две недели жду консультации в интернете. Ссылка на комментарий
major Опубликовано 7 октября, 2015 Поделиться Опубликовано 7 октября, 2015 Arseny0111, а Вы у врача были? или просто две недели ждете консультации в интернете?+1?ссылка не работает. файл не найден Ссылка на комментарий
red_butler Опубликовано 8 октября, 2015 Поделиться Опубликовано 8 октября, 2015 У врача не был,просто две недели жду консультации в интернете.Уважаемый, это как бы мягче сказать... не совсем правильно. А кто Вас направлял на Кт?Срочно записывайтесь на очную консультацию. Ссылка на комментарий
Рекомендуемые сообщения
Для публикации сообщений создайте учётную запись или авторизуйтесь
Вы должны быть пользователем, чтобы оставить комментарий
Создать аккаунт
Зарегистрируйте новый аккаунт в нашем сообществе. Это очень просто!
Регистрация нового пользователяВойти
Уже есть аккаунт? Войти в систему.
Войти