DIMTO Опубликовано 27 сентября, 2015 Поделиться Опубликовано 27 сентября, 2015 ИНТЕРЕСУЕТ НИЖНЯЯ ЧАСТЬ ОСОБЕННО (ФАСАД),ТАК КАК ОЧЕНЬ ВИДНО ПРИ ОБЩЕНИИ. Ссылка на комментарий
IvanK Опубликовано 27 сентября, 2015 Поделиться Опубликовано 27 сентября, 2015 Здравствуйте,в Вашем случае, обойтись ОСОБЕННО (ФАСАД), не получится, нужен комплексный подход 3 Ссылка на комментарий
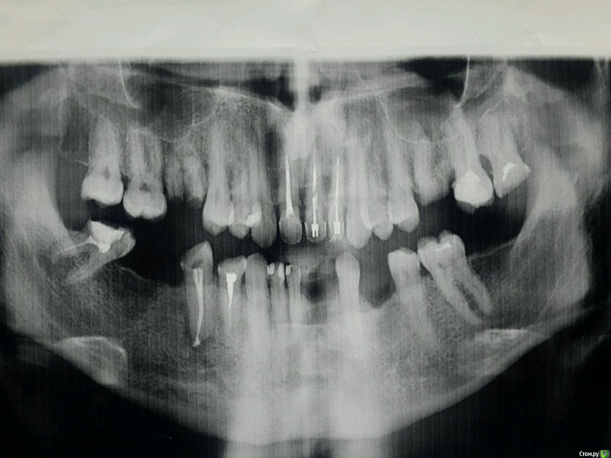
IvanK Опубликовано 27 сентября, 2015 Поделиться Опубликовано 27 сентября, 2015 http://s018.radikal.ru/i514/1509/f7/d64b98660785.jpg Ссылка на комментарий
IvanK Опубликовано 27 сентября, 2015 Поделиться Опубликовано 27 сентября, 2015 Консультация ортопеда и ортодонтаудаление 16, 26,28, 45?, 48... вариантов протезирования много: мостовидные конструкции, съемное протезирование, протезирование с опорой на имплантаты 1 Ссылка на комментарий
DIMTO Опубликовано 21 октября, 2015 Автор Поделиться Опубликовано 21 октября, 2015 Консультация ортопеда и ортодонтаудаление 16, 26,28, 45?, 48... вариантов протезирования много: мостовидные конструкции, съемное протезирование, протезирование с опорой на имплантатыСкажите пожалуйста имплантация в моем случае возможна и сколько нужно имплантатов?Или какой съемный протез в моем случае лучше? Ссылка на комментарий
IvanK Опубликовано 22 октября, 2015 Поделиться Опубликовано 22 октября, 2015 имплантация в моем случае возможна да сколько нужно имплантатов? необходима очная консультация у ортопеда и хирургу Или какой съемный протез в моем случае лучше? частичный съемный протез Ссылка на комментарий
Рекомендуемые сообщения
Для публикации сообщений создайте учётную запись или авторизуйтесь
Вы должны быть пользователем, чтобы оставить комментарий
Создать аккаунт
Зарегистрируйте новый аккаунт в нашем сообществе. Это очень просто!
Регистрация нового пользователяВойти
Уже есть аккаунт? Войти в систему.
Войти