ЗахарВикторович Опубликовано 27 сентября, 2015 Поделиться Опубликовано 27 сентября, 2015 Зачем? Если человек без опыта, пускай хоть один канал обработает нормально, тем более бытует мнение что одного достаточно. Зачем усложнять если это работает. Штампованные коронки - это тоже рабочий вариант. Ссылка на комментарий
Evikrol Опубликовано 27 сентября, 2015 Поделиться Опубликовано 27 сентября, 2015 Зачем в крайности Ссылка на комментарий
Vv4 Опубликовано 27 сентября, 2015 Автор Поделиться Опубликовано 27 сентября, 2015 Если интересно, отпишу результат. С фото. Ссылка на комментарий
Rumata Опубликовано 27 сентября, 2015 Поделиться Опубликовано 27 сентября, 2015 Если интересно, отпишу результат. С фото. Ждем) Ссылка на комментарий
alekszander Опубликовано 2 октября, 2015 Поделиться Опубликовано 2 октября, 2015 ну насоветовали тут много)) Сходить на учебы и почитать литературу под несъемное протезирование - это раз. Тренируйтесь на удаленных зубах - это два. Смотрите видео здесь и во всевозможных источниках про препы под кшв и коронки. Как вариант зайдите на сайт одного из врачей, который делится видео. скину в личку. Ссылка на комментарий
Bratok Опубликовано 16 октября, 2015 Поделиться Опубликовано 16 октября, 2015 (изменено) Дополним тему ))Подскажите, пожалуйста, чем лучше руководствоваться для объективной оценки состояния зубов.Когда зб отправится на удаление, а когда нет.. По каким критериям один раз взглянул на зуб и все? Нет феррула это понятно, а если он есть и в добавок расширение периодонтальной щели и резорбция кости на 1/3 длины?Без периодонтальной симптоматики. Что почитать, каким схемами или таблицами пользоваться на начальном этапе? Чтобы не прогадать с планированием.Какой то шаблон усредненный наверняка существует?Опытные ортопеды просто смотрят картину и с высока опыта планируют (это будет держаться потому что я так 10 лет делею) у начинающих нет этой схемы )) Изменено 16 октября, 2015 пользователем Bratok Ссылка на комментарий
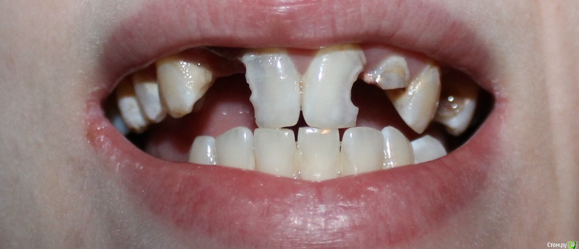
MrsA Опубликовано 23 марта, 2016 Поделиться Опубликовано 23 марта, 2016 Помогите советом! Ко мне обратилась девушка 20 лет с разрушеним почти всех групп зубов. После нескольких прицельных снимков было выявлено несколько кистогранулем во фронтальном отделе. Подскажите, как можно временно восстановить фронтальные зубы, при этом периодически проводить эндодонтическое лечение. К сожалению, не могу скинуть фото, не получается. Я так понимаю надо обточить соседние зубы, снять оттиски и изготовить времянки в лаборатории. Но как их фиксировать в канале? Ссылка на комментарий
MrsA Опубликовано 23 марта, 2016 Поделиться Опубликовано 23 марта, 2016 Вот фото Ссылка на комментарий
Ирина Игоревна Опубликовано 23 марта, 2016 Поделиться Опубликовано 23 марта, 2016 Не нужно их фиксировать в канале, я провожу эндо, закрываю временной пломбой доступ и фиксирую времянки до следующего визита Ссылка на комментарий
MrsA Опубликовано 23 марта, 2016 Поделиться Опубликовано 23 марта, 2016 А времянки через вакс ап делать? Ссылка на комментарий
art700 Опубликовано 23 марта, 2016 Поделиться Опубликовано 23 марта, 2016 А времянки через вакс ап делать?Вакс ап, временные, два очень важных этапа в ортопедической работе, вакс ап обязателен всегда. Ссылка на комментарий
Doc Опубликовано 23 марта, 2016 Поделиться Опубликовано 23 марта, 2016 "Собираюсь первый раз оперировать опухоль мозга. Раньше работал проктологом. Не подскажете как вскрыть черепную коробку, чтобы палец не порезать?"Ребята, ну вы серьезно по советам форумчан и на живых пациентах учиться хотите? Сходите к опытному врачу, постойте за спиной недельку-другую, посмотрите, задайте вопросы, ну поучитесь хоть как-то, прежде чем браться за то, что никогда не делал. Никто же не посылает сразу на курсы в Америку, понятно, что дорого и времени нет, но сходить к любому более или менее опытному коллеге посмотреть как он под коронки зубы обрабатывает ведь можно даже в глубинке. 4 Ссылка на комментарий
Рекомендуемые сообщения
Для публикации сообщений создайте учётную запись или авторизуйтесь
Вы должны быть пользователем, чтобы оставить комментарий
Создать аккаунт
Зарегистрируйте новый аккаунт в нашем сообществе. Это очень просто!
Регистрация нового пользователяВойти
Уже есть аккаунт? Войти в систему.
Войти