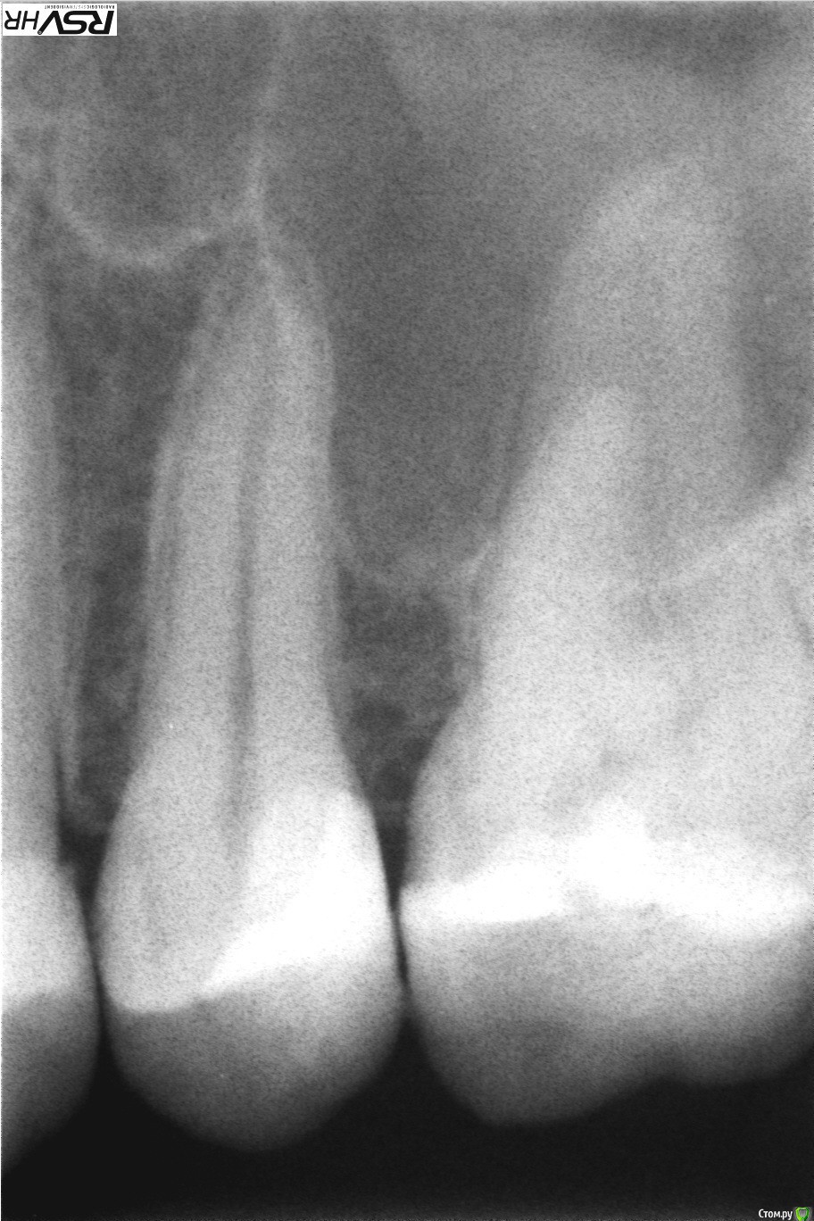
katrineigma Опубликовано 24 сентября, 2015 Поделиться Опубликовано 24 сентября, 2015 Была на приеме у стоматолога с пятым верхним зубом. Пришла вообще с другим, а этот и не беспокоил. Но сделали рентген и сказали надо удалять нерв. Потому что у этого зуба расширение периодонтальной щели, но пока не киста, как-то так, и если не пролечить сейчас, то потом вообще зуб придется удалять. Мне же зуб на снимке кажется абсолютно здоровым и теперь не дают покоя сомнения не зря ли мне удалили нерв. Прикрепляю рентген "До" и "После" лечения. Подскажите, действительно ли с зубом что-то не так? И заодно вопрос: канал запломбирован хорошо? Ссылка на комментарий
Romanson Опубликовано 24 сентября, 2015 Поделиться Опубликовано 24 сентября, 2015 Как давно ставили пломбу в этот зуб? Доктор, который депульпировал проводил какие-нибудь пробы для выявления живой нерв в зубе или нет (например, холодовую пробу)? После снятия старой пломбы доктор как-нибудь оценил состояние тканей под пломбой (был ли вторичный кариес под пломбой)? Слишком мало данных для того, чтобы делать какой-то вывод. Но, если интересно частное мнение, то если бы ко мне пришел пациент с таким зубом, и тесты на витальность оказались положительными (т.е. зуб реагировал как-нибудь на раздражители, например на холод, как здоровый зуб) я бы предложил за таким зубом понаблюдать (прийти через пол года, повторно сделать снимок и провести пробы). Канал запломбирован нормально. Ссылка на комментарий
katrineigma Опубликовано 24 сентября, 2015 Автор Поделиться Опубликовано 24 сентября, 2015 Как давно ставили пломбу в этот зуб? Доктор, который депульпировал проводил какие-нибудь пробы для выявления живой нерв в зубе или нет (например, холодовую пробу)? После снятия старой пломбы доктор как-нибудь оценил состояние тканей под пломбой (был ли вторичный кариес под пломбой)? Слишком мало данных для того, чтобы делать какой-то вывод. Но, если интересно частное мнение, то если бы ко мне пришел пациент с таким зубом, и тесты на витальность оказались положительными (т.е. зуб реагировал как-нибудь на раздражители, например на холод, как здоровый зуб) я бы предложил за таким зубом понаблюдать (прийти через пол года, повторно сделать снимок и провести пробы). Канал запломбирован нормально.Пломба, которая на первом снимке, была поставлена года 4 назад, а депульпировали зуб на днях. Проб никаких не проводили...После снятия пломбы уже не было комментариев, решение об удалении нервов было принято по рентгену еще до снятия пломбы, потому и возник вопрос, действительно по рентгену что-то видно, какие-то патологии? Ссылка на комментарий
pils Опубликовано 25 сентября, 2015 Поделиться Опубликовано 25 сентября, 2015 Не совсем понял. Вас беспокоил другой зуб, а патологию доктор нашел в этом? Так было? Если так, то определить, сделано ли все правильно, очень просто по отсутствию жалоб после лечения... Ссылка на комментарий
katrineigma Опубликовано 25 сентября, 2015 Автор Поделиться Опубликовано 25 сентября, 2015 Не совсем понял. Вас беспокоил другой зуб, а патологию доктор нашел в этом? Так было? Если так, то определить, сделано ли все правильно, очень просто по отсутствию жалоб после лечения...Зуб беспокоил соседний, шестой, но тоже не болел, просто видно было, что там кариес и надо лечить, однако врач обратил внимание в первую очередь на пятый зуб, сказав, что он скорее всего мертвый, так как на нем очень большая пломба, послал на рентген пятого зуба, чтобы убедиться, что он всё-таки живой, и по рентгену же сказал, что надо удалять нервы. Сейчас вопрос даже не столько в том, правильно ли был запломбированы каналы, сколько в том, стоило ли их вообще пломбировать и убивать нервы пытаюсь понять действительно ли на рентгене что-то не так и что именно Ссылка на комментарий
pils Опубликовано 25 сентября, 2015 Поделиться Опубликовано 25 сентября, 2015 То есть только рентген? Никаких тестов в клинике не было вобще? Не стучали ничем по зубу тоже? Ссылка на комментарий
katrineigma Опубликовано 27 сентября, 2015 Автор Поделиться Опубликовано 27 сентября, 2015 То есть только рентген? Никаких тестов в клинике не было вобще? Не стучали ничем по зубу тоже?Нет, ничем не стучали и тестов никаких не было...врач еще до рентгена сказал, что зуб скорее всего мертвый, на что я сказала, что он точно живой, врач удивился: "Такая огромная пломба и живой?", послали на рентген удостовериться,и, собственно вот....на рентгене, значит, все нормально и мои опасения, что зря нервы удалили, оправдались? Ссылка на комментарий
St. Опубликовано 27 сентября, 2015 Поделиться Опубликовано 27 сентября, 2015 Ну почти... По рентгену можно заподозрить проблему, не более. Окончательно сказать можно только после мероприятий описанных выше. Ссылка на комментарий
Рекомендуемые сообщения
Для публикации сообщений создайте учётную запись или авторизуйтесь
Вы должны быть пользователем, чтобы оставить комментарий
Создать аккаунт
Зарегистрируйте новый аккаунт в нашем сообществе. Это очень просто!
Регистрация нового пользователяВойти
Уже есть аккаунт? Войти в систему.
Войти