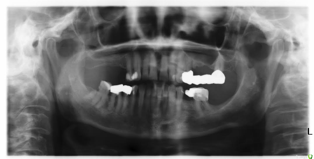
tbk Опубликовано 24 сентября, 2015 Поделиться Опубликовано 24 сентября, 2015 Посмотрите, пожалуйста, реально ли сделать новый мост ( верх, левая сторона) или только съемный протез возможен? Ссылка на комментарий
red_butler Опубликовано 24 сентября, 2015 Поделиться Опубликовано 24 сентября, 2015 Мост не стоит делать, импланты или съемный протез. 1 Ссылка на комментарий
tbk Опубликовано 24 сентября, 2015 Автор Поделиться Опубликовано 24 сентября, 2015 Мост не стоит делать, импланты или съемный протез.спасибо за ответ! а можно ли по снимку сказать хватит ли кости для установки импланта? и возраст пациента 68 лет, диабет, гипертензия, гипотериоз Ссылка на комментарий
red_butler Опубликовано 24 сентября, 2015 Поделиться Опубликовано 24 сентября, 2015 можно ли по снимку сказать хватит ли кости для установки импланта? Нужен синус лифтинг диабет Какого типа? гипертензия, гипотериоз Что с уровнем гормонов и антител? Ссылка на комментарий
tbk Опубликовано 24 сентября, 2015 Автор Поделиться Опубликовано 24 сентября, 2015 Нужен синус лифтинг Какого типа? Что с уровнем гормонов и антител? диабет второго типа, сахар 6-7ттг 2.1 т4-18 Ссылка на комментарий
Рекомендуемые сообщения
Для публикации сообщений создайте учётную запись или авторизуйтесь
Вы должны быть пользователем, чтобы оставить комментарий
Создать аккаунт
Зарегистрируйте новый аккаунт в нашем сообществе. Это очень просто!
Регистрация нового пользователяВойти
Уже есть аккаунт? Войти в систему.
Войти