Natalia_ Опубликовано 23 сентября, 2015 Поделиться Опубликовано 23 сентября, 2015 Уважаемые специалисты, помогите советом. Имплант поставила в марте, верхняя 5, xive 3,8, пора протезировать, возникли проблемы (или не возникли, не знаю, или не проблемы), к которым не готова. Ортопед неожиданно сказала, что нижнюю 5-ку придется подпиливать, потому что она выпирает и коронка на верхнем импланте не поместится. (Непонятно, почему она мне 5 мес назад это не сказала, нижний зуб у меня не первый год так выпирает, и 5 мес назад все так и было) На вопрос, а сильно ли подпиливать и не допилим ли мы до дентина, глубокомысленно сказала, что тут она ничего не гарантирует. А чтобы этого избежать, можно нижнюю 5-ку задвинуть обратно, для этого нужна установка тяги, то есть поставить мини-имплант на нижнюю челюсть (не представляю куда его там вписать), к нему прикрепить какую-то фигнюшку, которая будет тянуть зуб на место. И записала меня сначала к ортодонту для консультации по поводу этого устройства, потом к ней (ортопеду) на слепок, потом к хирургу на установку этого мини-импланта. И тут я поняла, что протезироваться я кажется буду в другой клинике, потому что все как-то странно и непоследовательно, учитывая то, что каждую нашу встречу ортопед начинает с рассказа о брекетах и вреде неправильного прикуса для разных систем организма, несмотря на то, что мне 40 лет, и я вообще-то к ней со свежепоставленным имплантом пришла и хочу только один-единственный зуб, больше мне от нее ничего не надо. В другой клинике ортопед (приятный молодой человек) сказал, что предлагает мне индивидуальный абатмент, с винтовой фиксацией, то есть как я поняла, коронка крепится к этому инд абатменту и вся эта фигня закручивается в имплант. На вопрос видит ли какую-либо проблему, посмотрел еще раз на меня, на снимки и сказал, что не видит. Я обратила внимание на нижний зуб, и он сказал, что места да, немного, но можем вписаться с инд абатментом, может быть нижний ну не подпилить, а подшлифовать немного придется, в любом случае, сначала сделаем слепок, и тогда будет ясно. Это мне показалось логичным, про сначала слепок. В общем вопрос такой - может быть сразу понятно, хватит там места у меня или нет? И нет ли какой-н опасности в инд. абатментах (некачеств материал, могут треснуть или еще чего-н стоит опасаться)? И еще он сказал, что коронку эту на имплант надо ставить так, чтобы она стояла вплотную и немного давила на соседние зубы, - а не пострадают они от этого, стоит ли так втискивать? Ну и как вы считаете, нужна ли временная коронка, есль ли в ней какой-то смысл? В общем, много вопросов, и главный - продолжать ли мне поиски ортопеда... Помогите, пожалуйста, советом, как-то сложно все вдруг оказалось. Ссылка на комментарий
red_butler Опубликовано 24 сентября, 2015 Поделиться Опубликовано 24 сентября, 2015 В общем вопрос такой - может быть сразу понятно, хватит там места у меня или нет? не всегда, обычно на вторичное перемещение зубов уходит длительный промежуток времени, но бывают исключения. И нет ли какой-н опасности в инд. абатментах (некачеств материал, могут треснуть или еще чего-н стоит опасаться)? Нет, если все правильно сделать - индивидуальный абатмент лучше стандартного. И еще он сказал, что коронку эту на имплант надо ставить так, чтобы она стояла вплотную и немного давила на соседние зубы, - а не пострадают они от этого, стоит ли так втискивать? все будет хорошо Ссылка на комментарий
Natalia_ Опубликовано 25 сентября, 2015 Автор Поделиться Опубликовано 25 сентября, 2015 (изменено) не всегда, обычно на вторичное перемещение зубов уходит длительный промежуток времени, но бывают исключения. Нет, если все правильно сделать - индивидуальный абатмент лучше стандартного. все будет хорошо Смущает, что натуральный зуб пишется что имеет небольшую естественную подвижность, и если неподвижную коронку на импланте упрем в соседние зубы (врач говорил, что будет чувство давления) - то или зубы коронку расшатают, или коронка зубы будет стирать, неправильно рассуждаю? Я собственно потому имплант и ставила, чтобы соседние зубы не трогать .. Изменено 25 сентября, 2015 пользователем Natalia_ Ссылка на комментарий
Natalia_ Опубликовано 25 сентября, 2015 Автор Поделиться Опубликовано 25 сентября, 2015 Уважаемые ортопеды, все упирают коронки на имплантах в соседние зубы (здоровые), нормальная это практика, не беспокоиться по этому поводу? Ссылка на комментарий
Чертков Александр Опубликовано 28 сентября, 2015 Поделиться Опубликовано 28 сентября, 2015 все упирают коронки на имплантах в соседние зубы (здоровые) ....в смысле....? Ссылка на комментарий
Natalia_ Опубликовано 28 сентября, 2015 Автор Поделиться Опубликовано 28 сентября, 2015 ....в смысле....? Ну, ортопед говорит, что новый зуб должен слегка давить на соседние (слева и справа), когда его только поставят, потом это ощущение пройдет. Но зубы так и будут соприкасаться, должны стоять плотно. Должны? Ссылка на комментарий
Чертков Александр Опубликовано 28 сентября, 2015 Поделиться Опубликовано 28 сентября, 2015 Должны? Да, контакт между коронкой и зубами должен быть такой же плотный как и между своими собственными зубами. Ссылка на комментарий
Natalia_ Опубликовано 28 сентября, 2015 Автор Поделиться Опубликовано 28 сентября, 2015 Да, контакт между коронкой и зубами должен быть такой же плотный как и между своими собственными зубами.Ну, Ок, пусть делает плотно. Спасибо! Ссылка на комментарий
Чертков Александр Опубликовано 28 сентября, 2015 Поделиться Опубликовано 28 сентября, 2015 Ну, Ок, пусть делает плотно. Спасибо!На здоровье! Ссылка на комментарий
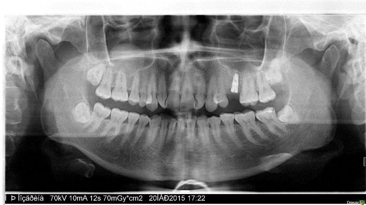
Большой Зеленый Опубликовано 29 сентября, 2015 Поделиться Опубликовано 29 сентября, 2015 В гайморовой пазухе справа киста. Обратите внимание. Консультация ЛОРа не повредит. Ссылка на комментарий
Natalia_ Опубликовано 29 сентября, 2015 Автор Поделиться Опубликовано 29 сентября, 2015 В гайморовой пазухе справа киста. Обратите внимание. Консультация ЛОРа не повредит.Cпасибо, я знаю, она давно уже,.. сказали, пока можно с ней еще походить. Ссылка на комментарий
Natalia_ Опубликовано 14 октября, 2015 Автор Поделиться Опубликовано 14 октября, 2015 Готово, посмотрите, пожалуйста, что получилось.В принципе думаю смогу привыкнуть. Смущают тонкие острые края (ну, не режут конечно, но свои потолще и покруглее зубы, у нового краешки прямо истонченные по сравнению с ними и внутри такой закругленный), и хотелось бы его чуть-чуть повыпуклее его что ли снаружи. Как считаете, это уже придирки?(Я понимаю, клыки внимание привлекают, но мы сейчас не о них.)Вообще готова с ним жить. Наверное. Не слишком его истончили? Ссылка на комментарий
Natalia_ Опубликовано 14 октября, 2015 Автор Поделиться Опубликовано 14 октября, 2015 Поняла что меня смущает. Маловат сделали, да? Переделывать? Ссылка на комментарий
Чертков Александр Опубликовано 22 октября, 2015 Поделиться Опубликовано 22 октября, 2015 По данным фото все неплохо. Ссылка на комментарий
Natalia_ Опубликовано 27 октября, 2015 Автор Поделиться Опубликовано 27 октября, 2015 А я таки попросила нарастить немного. Теперь более округлые края, поприятнее, не царапают. Правда, десну немного давило, потому что зуб стал пошире, но вроде успокаивается все, почти не ощущаю. Ссылка на комментарий
Рекомендуемые сообщения
Для публикации сообщений создайте учётную запись или авторизуйтесь
Вы должны быть пользователем, чтобы оставить комментарий
Создать аккаунт
Зарегистрируйте новый аккаунт в нашем сообществе. Это очень просто!
Регистрация нового пользователяВойти
Уже есть аккаунт? Войти в систему.
Войти