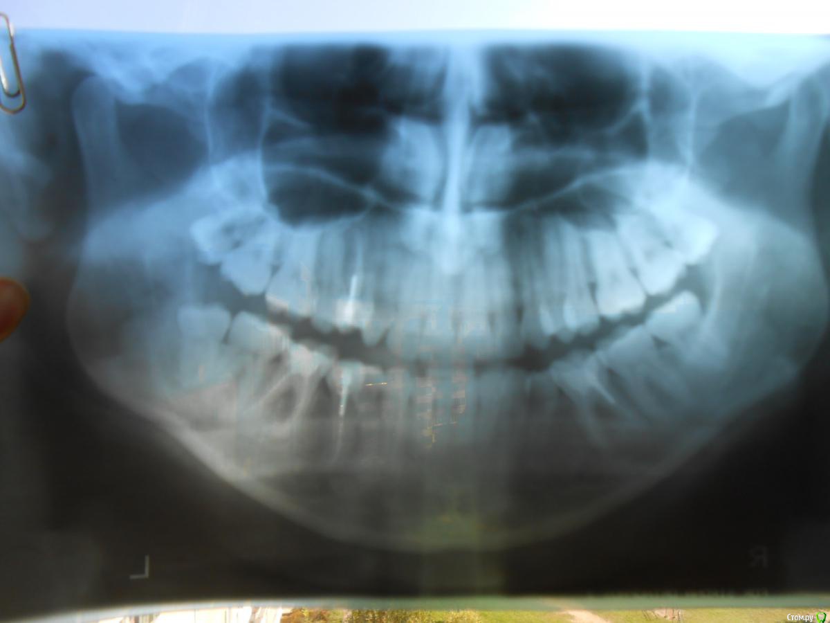
Ольга1991 Опубликовано 23 сентября, 2015 Поделиться Опубликовано 23 сентября, 2015 Здравствуйте, Уважаемые Доктора!Наконец-то решилась на удаление, но есть несколько вопросов.Надеюсь, Вы поможете мне с ними разобраться 1. Насколько сложным будет удаление 8-ого зуба (на снимке слева, нижний)? И есть ли смысл ложиться в стационар? 2. Что будет, если удалить сразу три "восьмёрки"? Практикуется ли такое вообще?(Понимаю, что приятного в данной процедуре мало, но мне проще один раз отмучиться, чем целых ТРИ!!!) 3. Возможно ли удаление под общим наркозом? Ссылка на комментарий
IvanK Опубликовано 23 сентября, 2015 Поделиться Опубликовано 23 сентября, 2015 не сложно, стационар не нужен можно сколько хотите да 2 Ссылка на комментарий
Ольга1991 Опубликовано 23 сентября, 2015 Автор Поделиться Опубликовано 23 сентября, 2015 не сложно, стационар не нужен можно сколько хотите даСпасибо за ответ, хоть в Санкт-Петербург едь зубы "рвать"..Не думала, что у нас так плохо обстоят дела с этим..В стационаре начался ремонт. Сказали приходить позже. Куда позже? Я месяц только анализы собирала... В добавок ко всему, сразу три удалять не будут, говорят, что так никто не делает, в общем наркозе отказали категорически..Была также в платном хирургическом кабинете. Врач сказала, что откроет десну. Если зуб не в кости - вырвет, а если в кости - нет. В общем, у меня опустились руки... Ссылка на комментарий
diesel87 Опубликовано 23 сентября, 2015 Поделиться Опубликовано 23 сентября, 2015 Мне кажется вы слишком утрируете. Мдаа, зуб не в кости, по снимку есть резорбция кости сзади коронки, рядовое удаление восьмерки. Если распилить, совсем просто будет. Ссылка на комментарий
Ольга1991 Опубликовано 23 сентября, 2015 Автор Поделиться Опубликовано 23 сентября, 2015 (изменено) Мне кажется вы слишком утрируете. Мдаа, зуб не в кости, по снимку есть резорбция кости сзади коронки, рядовое удаление восьмерки. Если распилить, совсем просто будет.Да, наверно я что-то не так поняла. Зуб не в кости, но проблема именно в ней, по словам врача. Возможно она имела в виду именно резорбцию. Я не специалист, терминов не знаю. Изменено 23 сентября, 2015 пользователем Ольга1991 Ссылка на комментарий
Bier Опубликовано 23 сентября, 2015 Поделиться Опубликовано 23 сентября, 2015 видно в Витебске с этим сложно. Ну может в Минске кто возьмется? Ссылка на комментарий
diesel87 Опубликовано 23 сентября, 2015 Поделиться Опубликовано 23 сентября, 2015 Да, наверно я что-то не так поняла. Зуб не в кости, но проблема именно в ней, по словам врача. Возможно она имела в виду именно резорбцию. Я не специалист, терминов не знаю. поищите еще специалиста Ссылка на комментарий
red_butler Опубликовано 23 сентября, 2015 Поделиться Опубликовано 23 сентября, 2015 Сейчас в кресле сидит девочка которую как автора темы отправили в стационар. Большое спасибо за это господам конкурентам... 1 Ссылка на комментарий
red_butler Опубликовано 23 сентября, 2015 Поделиться Опубликовано 23 сентября, 2015 Вот и все - http://forum.stom.ru/topic/20438-galereia-vosmerok/page-37?do=findComment&comment=517398 3 Ссылка на комментарий
diesel87 Опубликовано 23 сентября, 2015 Поделиться Опубликовано 23 сентября, 2015 прямая трансляция прям) Ссылка на комментарий
diesel87 Опубликовано 23 сентября, 2015 Поделиться Опубликовано 23 сентября, 2015 Сейчас в кресле сидит девочка которую как автора темы отправили в стационар. Большое спасибо за это господам конкурентам...а в стационаре удаления такие платные? Ссылка на комментарий
red_butler Опубликовано 23 сентября, 2015 Поделиться Опубликовано 23 сентября, 2015 а в стационаре удаления такие платные?Так дело, то все в том что я не работаю в стационаре. Просто часть пациентов от которых таким образом отказываются коллеги, оказываются у меня. Ссылка на комментарий
Рекомендуемые сообщения
Для публикации сообщений создайте учётную запись или авторизуйтесь
Вы должны быть пользователем, чтобы оставить комментарий
Создать аккаунт
Зарегистрируйте новый аккаунт в нашем сообществе. Это очень просто!
Регистрация нового пользователяВойти
Уже есть аккаунт? Войти в систему.
Войти