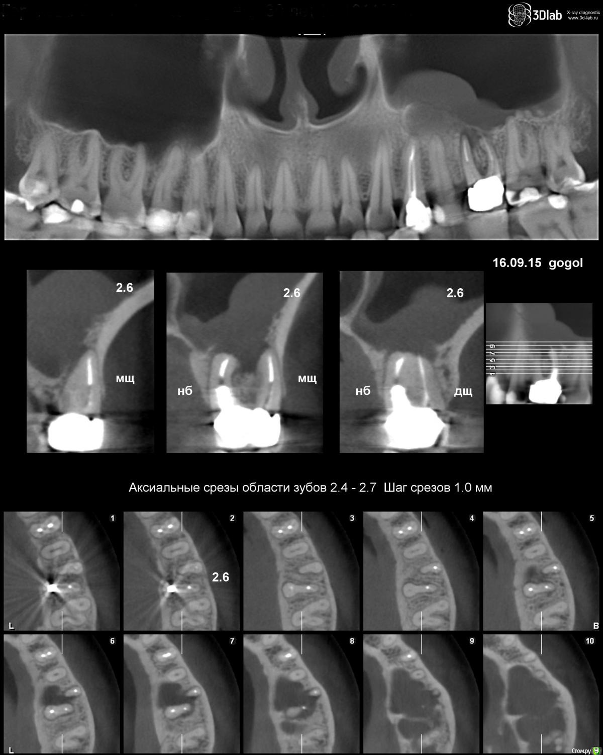
Olga_bou Опубликовано 22 сентября, 2015 Поделиться Опубликовано 22 сентября, 2015 Здравствуйте, уважаемые стоматологи, Пожалуйста, посоветуйте, как быть в моей ситуации. Дано: верхний 6 зуб слева, строго говоря, не зуб, а корни, над десной уже нет ничего, на золотой культевой вкладке стоит коронка. Поставили полтора года назад. Пару недель назад зуб стал чувствителен, боль при надавливании, чувство подросшего зуба, боль терпимая, но непроходящая. Пропила антибиотики, боль прошла. Но всегда было понятно, что если что-то с этим зубом случится, то удалять его. Вот, похоже, момент настал. Врач отправил на КТ. Т.к. планировалось удаление, потом заживление, потом имплантация. Причем сказал, что посмотрит КТ и решит, сможет ли он в условиях клиники удалить или направит в стационар, т.к. корни в пазухе могут быть, и не исключена перфорация пазухи. Сделала КТ, которое показывает кисту в пазухе. Т.е. при удалении зуба и чтоб до кисты добраться перфорация пазухи все равно будет?До врача смогу добраться только через неделю. Поэтому вопрос, действительно ли лучше в стационар? Какая вообще техника удаления в моем случае будет с учетом того, что в будущем я бы хотела имплант поставить? Чего ожидать и к чему готовиться? Через дырку от удаленного зуба до кисты смогут добраться? И еще, можно ли по этому снимку (КТ) определить, что киста именно одонтогенная или что с такими кистами только к ЛОРу? Снимок прилагаю. Ссылка на комментарий
IvanK Опубликовано 23 сентября, 2015 Поделиться Опубликовано 23 сентября, 2015 Здраствуйте перфорация пазухи все равно будет? не обязательно действительно ли лучше в стационар? удаление не требует стационара Какая вообще техника удаления в моем случае будет с учетом того, что в будущем я бы хотела имплант поставить? аккуратное удаление что киста именно одонтогенная одонтогенная 1 Ссылка на комментарий
Olga_bou Опубликовано 23 сентября, 2015 Автор Поделиться Опубликовано 23 сентября, 2015 Здраствуйте не обязательно удаление не требует стационара аккуратное удалениеодонтогеннаяСпасибо большое за ответ. Немного меня успокоили. Вы говорите, что перфорация пазухи не обязательно произойдет. А как же тогда достанут кисту, если она в пазухе уже? Ссылка на комментарий
IvanK Опубликовано 23 сентября, 2015 Поделиться Опубликовано 23 сентября, 2015 А как же тогда достанут кисту, если она в пазухе уже? аккуратно уберут "кисту" , которая от зуба, в пазуху лезть не надо Ссылка на комментарий
Olga_bou Опубликовано 23 сентября, 2015 Автор Поделиться Опубликовано 23 сентября, 2015 аккуратно уберут "кисту" , которая от зуба, в пазуху лезть не надоПростите мою тупость, но мне правда не понятно (и очень страшно от этого) каким образом можно достать то, что лежит в пазухе (киста), не повредив при этом пазуху. Это типа как съесть консервы из банки, не открыв её? Это как? Пожалуйста, расскажите чуть более детально про это 'аккуратно'. Ссылка на комментарий
IvanK Опубликовано 23 сентября, 2015 Поделиться Опубликовано 23 сентября, 2015 Все, что в пазухе - остается в пазухе, на сегодняшний день удалять "кисту" в пазухе не нужно Нужно убрать только зуб с его "кистой" Ссылка на комментарий
Olga_bou Опубликовано 30 сентября, 2015 Автор Поделиться Опубликовано 30 сентября, 2015 Здравствуйте, была не консультации хирурга в ЦНИИСе. Сказал, зуб удалит, что все уже в пазухе, что будет дыра, что дыру в пазуху закроет лоскутом со щеки. Как-то вроде все логично, но к лоскуту со щеки не очень я была готова... Понравилось, что хирург проговорил свои действия на предмет дыры в пазухе (т.е. , скорее всего с незаделанной дырой я от него не уйду, что обнадеживает). Но вот лоскут...не идет из головы.Пожалуйста, по возможности, прокомментируете слова хирурга по поводу удаления. И ответьте, пожалуйста на вопрос: каков в таком случае может быть размер лоскута?? Мне потом щеку не перекосит из-за этого? А то этот ж рана, которая будет стягиваться и тянуть.. Ссылка на комментарий
IvanK Опубликовано 30 сентября, 2015 Поделиться Опубликовано 30 сентября, 2015 Не перекосит. Это один из вариантов закрытия Ссылка на комментарий
Bier Опубликовано 30 сентября, 2015 Поделиться Опубликовано 30 сентября, 2015 лучше со щеки не закрывать, а закрыть лоскутом с нёба. Иначе потом еще одну операцию делать придется, по возвращению щеки на место. 4 Ссылка на комментарий
Olga_bou Опубликовано 30 сентября, 2015 Автор Поделиться Опубликовано 30 сентября, 2015 Большое спасибо за ответы. Я спрашивала про лоскут с неба, хирург сказал, что с неба не получится. Была ошарашена вообще этими лоскутами и не спросила, почему это с нёба нельзя... Вот уже на форуме 2 противоположных мнения по поводу лоскута со щеки.. Перекосит - не перекосит. И что делать несчастному пациенту??Это был у меня единственный хирург по серьезной рекомендации.А можете порекомендовать хирурга в Москве? к кому можно обратиться с моим случаем, который бы взялся удалить, чтоб проблем не было, а также на все вопросы ответил бы, не ища в них сомнений в его профессионализме. Не знаю как кому, а мне для принятия решения обычно нужно максимально оговорить процесс и варианты действий на случай возможных осложнений. Просто некоторых врачей почему-то пугает осведомленность пациента, его вопросы, врач начинает нервничать и что-то про доверие говорить. Ссылка на комментарий
Olga_bou Опубликовано 30 сентября, 2015 Автор Поделиться Опубликовано 30 сентября, 2015 В спец. тему просьбу о рекомендации хурурга продублировала. Ссылка на комментарий
kladoffka Опубликовано 1 октября, 2015 Поделиться Опубликовано 1 октября, 2015 Большое спасибо за ответы. Я спрашивала про лоскут с неба, хирург сказал, что с неба не получится. Была ошарашена вообще этими лоскутами и не спросила, почему это с нёба нельзя... Вот уже на форуме 2 противоположных мнения по поводу лоскута со щеки.. Перекосит - не перекосит. И что делать несчастному пациенту??Это был у меня единственный хирург по серьезной рекомендации.А можете порекомендовать хирурга в Москве? к кому можно обратиться с моим случаем, который бы взялся удалить, чтоб проблем не было, а также на все вопросы ответил бы, не ища в них сомнений в его профессионализме. Не знаю как кому, а мне для принятия решения обычно нужно максимально оговорить процесс и варианты действий на случай возможных осложнений. Просто некоторых врачей почему-то пугает осведомленность пациента, его вопросы, врач начинает нервничать и что-то про доверие говорить.Я бы не рекомендовал лоскут с щеки в виду минусов - сильная травматичность, отсутствие прикрепленной десны,рубец.с неба - идеальный вариант Ссылка на комментарий
major Опубликовано 1 октября, 2015 Поделиться Опубликовано 1 октября, 2015 Согласен с коллегамиИ все-таки не факт что будет перфорация. Если будет, то любой опытный хирург вам её закроет. И лучше лоскут с неба). Ссылка на комментарий
IvanK Опубликовано 1 октября, 2015 Поделиться Опубликовано 1 октября, 2015 Вот уже на форуме 2 противоположных мнения по поводу лоскута со щеки.. Перекосит - не перекосит. И что делать несчастному пациенту?? где вы видите противоположные мнения, я тоже закрываю с неба, но не из-за перекоса... Просто некоторых врачей почему-то пугает осведомленность пациента, его вопросы, врач начинает нервничать и что-то про доверие говорить. Ищите Своего Врача , Форум в помощь Ссылка на комментарий
Рекомендуемые сообщения
Для публикации сообщений создайте учётную запись или авторизуйтесь
Вы должны быть пользователем, чтобы оставить комментарий
Создать аккаунт
Зарегистрируйте новый аккаунт в нашем сообществе. Это очень просто!
Регистрация нового пользователяВойти
Уже есть аккаунт? Войти в систему.
Войти