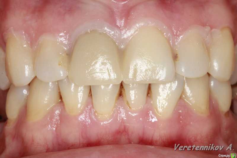
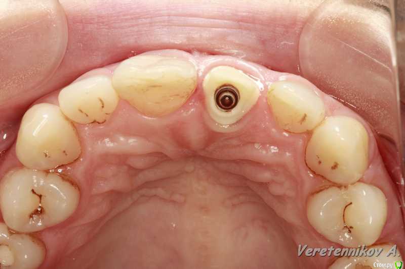
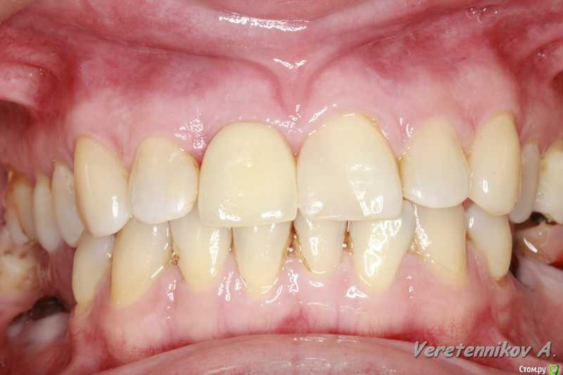
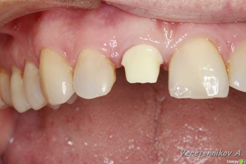
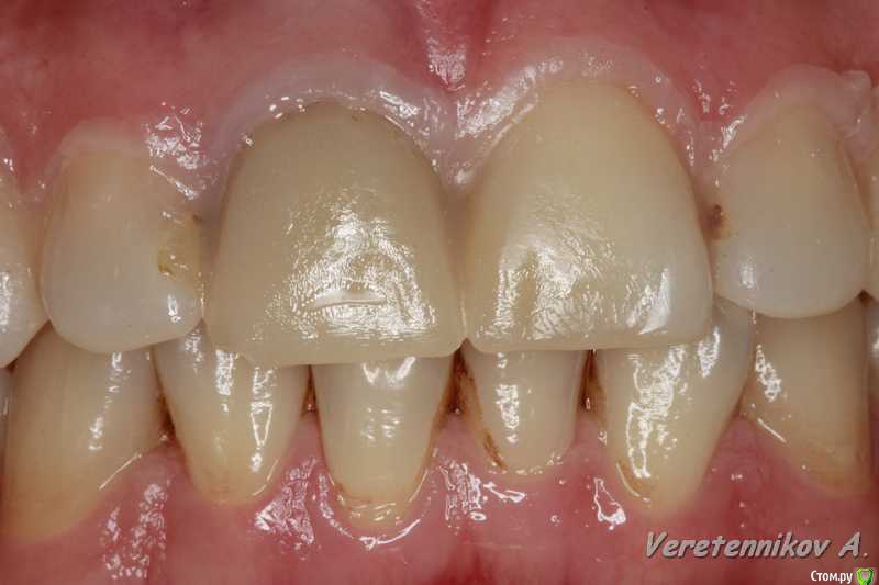
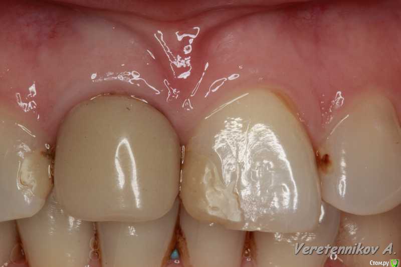
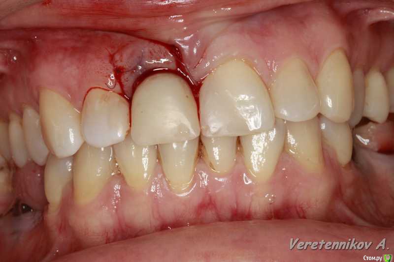
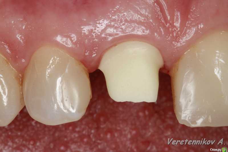
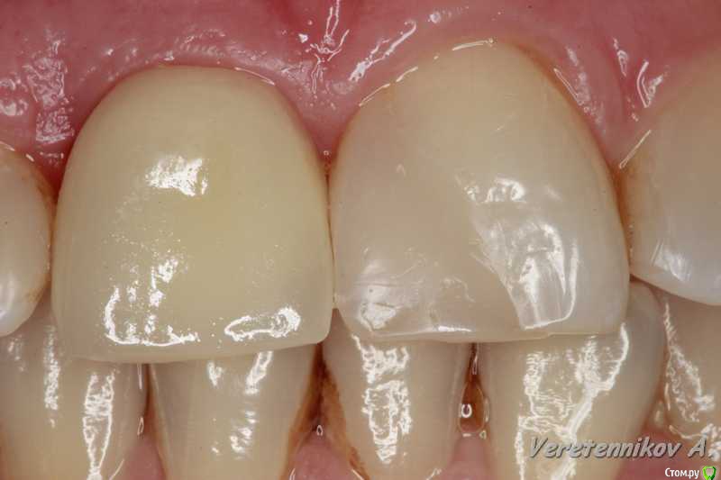
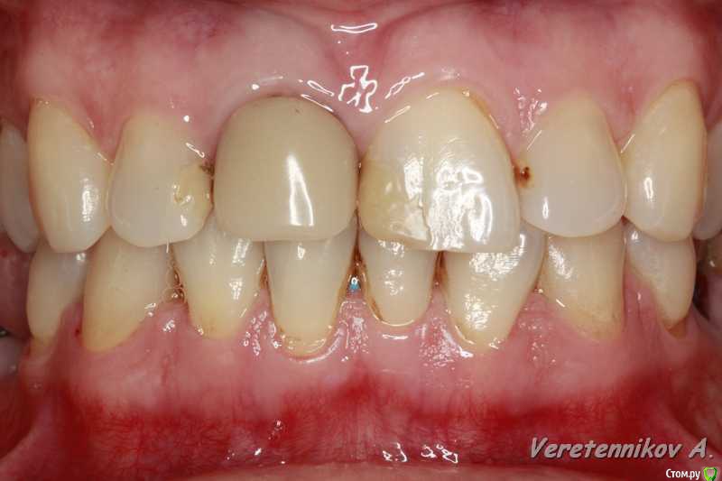
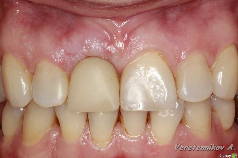
an_ver Опубликовано 21 сентября, 2015 Поделиться Опубликовано 21 сентября, 2015 Закончил протезирование 15 Ссылка на комментарий
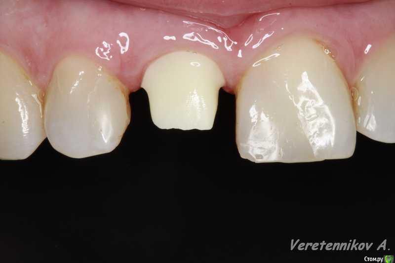
Фарид Расулыч Опубликовано 21 сентября, 2015 Поделиться Опубликовано 21 сентября, 2015 Обрезаешь силиконовый чек по контуру шеек с какой целью? Так удобней? Ссылка на комментарий
an_ver Опубликовано 21 сентября, 2015 Автор Поделиться Опубликовано 21 сентября, 2015 Обрезаешь силиконовый чек по контуру шеек с какой целью? Так удобней?Привык так)) Ссылка на комментарий
Рекомендуемые сообщения
Для публикации сообщений создайте учётную запись или авторизуйтесь
Вы должны быть пользователем, чтобы оставить комментарий
Создать аккаунт
Зарегистрируйте новый аккаунт в нашем сообществе. Это очень просто!
Регистрация нового пользователяВойти
Уже есть аккаунт? Войти в систему.
Войти