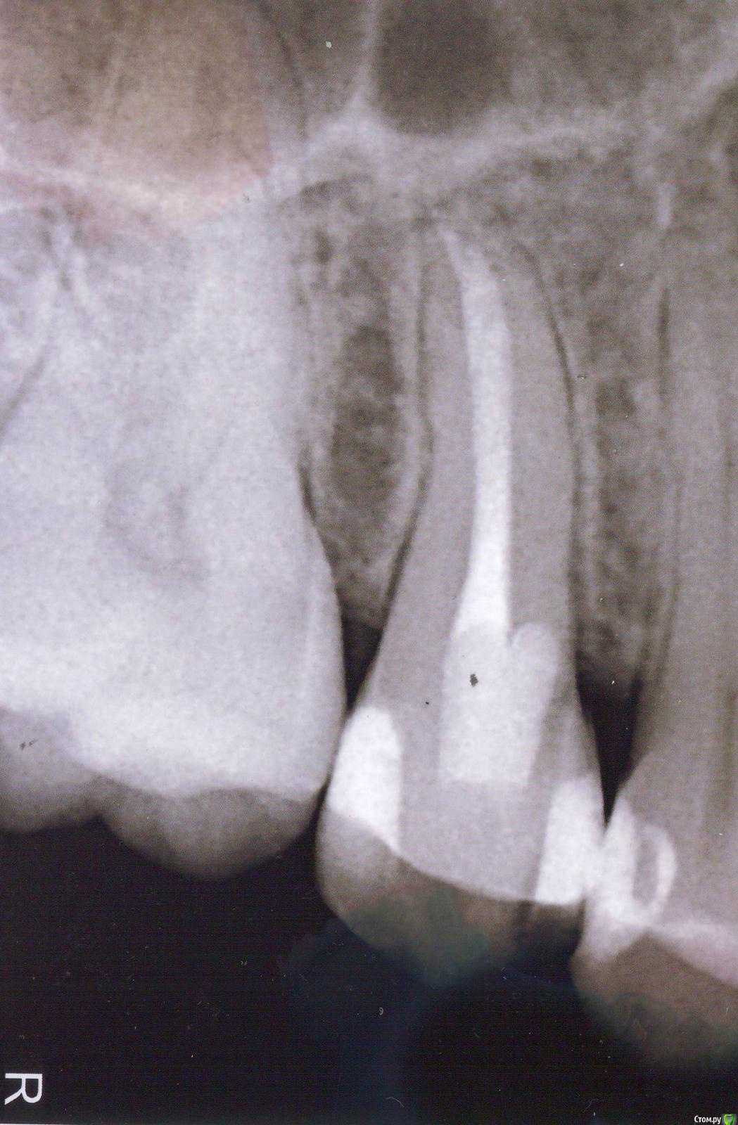
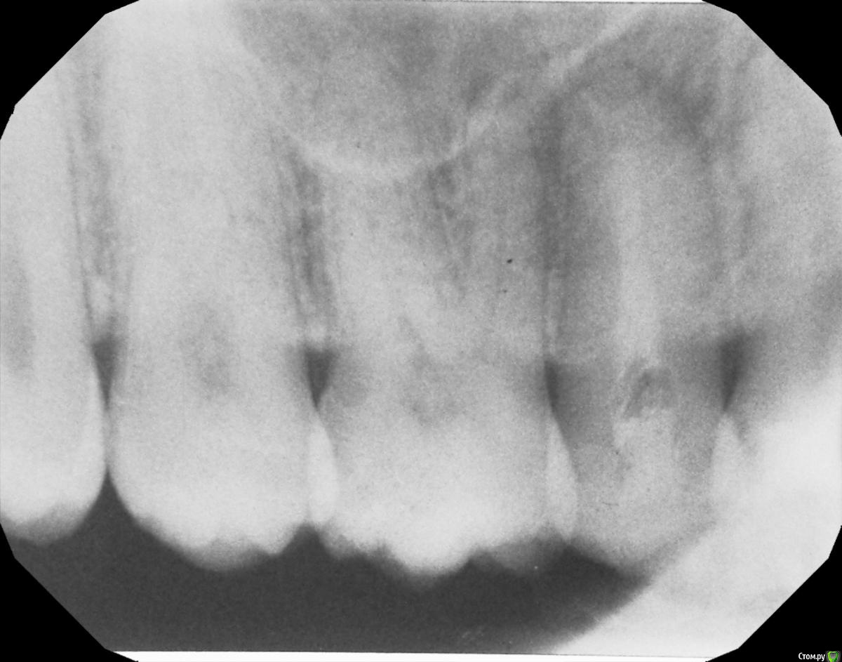
hichi Опубликовано 19 сентября, 2015 Поделиться Опубликовано 19 сентября, 2015 Добрый день. 6 месяцев назад проведено эндодонтическое лечение зуба. После этого через 1.5 - 2 недели острая боль от горячего. Подозревали дополнительный канал, зуб еще раз вскрыли, но ничего не обнаружили, еще раз обработали тот же самый канал и поставили кальций на 2 недели. На сегодняшний день реакции на горячее нет, но острая боль при чистке нитью между 1.4 и 1.5. когда вводишь и выводишь нить через контактный пункт. Как только пройдешь контактный пункт боль сразу же проходит. Десна не болит. Карманов нет. Кариеса тоже нет. Пару месяцев назад частично заменили пломбы в районе этого контактного пункта, но ничего не изменилось. Прилагаю снимок через 6 мес. Оцените, пожалуйста, все ли в порядке? Спасибо. Ссылка на комментарий
Shaid Опубликовано 21 сентября, 2015 Поделиться Опубликовано 21 сентября, 2015 Меняли ли пломбу на 14 зубе? Теоритически, причинный зуб -14ый. Ссылка на комментарий
hichi Опубликовано 21 сентября, 2015 Автор Поделиться Опубликовано 21 сентября, 2015 На 14 пломбу ставили около года назад, 2 мес назад частично заменили пломбу на контакте с 15. Всю целиком пломбу сказали менять нет смысла - она стоит нормально. Когда меняли пломбу на контакте делали без анестезии, зуб реагировал - значит он точно жив. Да и еще. Боль при чистке нитью только между 14 и 15, между 15 и 16 и между 14 и 13 все хорошо Ссылка на комментарий
hichi Опубликовано 21 сентября, 2015 Автор Поделиться Опубликовано 21 сентября, 2015 И еще. Если несколько раз подряд ввести и вывести нить то с каждым разом больно все меньше и меньше и где-то после 4-5 раза боль полностью проходит Ссылка на комментарий
Гарриевич Опубликовано 21 сентября, 2015 Поделиться Опубликовано 21 сентября, 2015 кроме горячего и зубной нити на что то еще реагирует?в зубе сделан достаточно глубокий ложный ход, покажите все снимки начиная с первого Ссылка на комментарий
red_butler Опубликовано 22 сентября, 2015 Поделиться Опубликовано 22 сентября, 2015 покажите все снимки начиная с первого + 1 Ссылка на комментарий
hichi Опубликовано 22 сентября, 2015 Автор Поделиться Опубликовано 22 сентября, 2015 Всем спасибо за ответы Снимки выложу. объясните, пожалуйста, что за загадка природы, почему перестает болеть если несколько раз подряд прочистить нитью? как такое может быть? Ссылка на комментарий
IvanK Опубликовано 22 сентября, 2015 Поделиться Опубликовано 22 сентября, 2015 как такое может быть? пища Ссылка на комментарий
hichi Опубликовано 25 сентября, 2015 Автор Поделиться Опубликовано 25 сентября, 2015 пища такого нет чтобы сильно застревало контактный пункт нормальный - точечный и плотный но там правда нет сосочка вестибулярно - пострадал когда корректировали пломбу около 3-х месяцев назад. В этом месте застревает больше обычного, но боль при чистке уже была когда сосочек был еще нормальный Ссылка на комментарий
hichi Опубликовано 25 сентября, 2015 Автор Поделиться Опубликовано 25 сентября, 2015 (изменено) кроме горячего и зубной нити на что то еще реагирует? на горячее сейчас уже не реагирует. после кальция перестал.когда реагировал на горячее было еще больно стучать по зубу было еще один раз болел весной после сильного замерзания на улице, ночью этого дня болел и больно было нажимать на него, к утру прошло сейчас реагирует на зубную нить и периодически бывает слабая ноющая боль где-то в районе 4,5,6 зубов незнаю точно это 5-й или нет. такого нет чтобы постоянно болело, 3-4 дня подряд поболит и потом притихает, через месяц - полтора снова Изменено 25 сентября, 2015 пользователем hichi Ссылка на комментарий
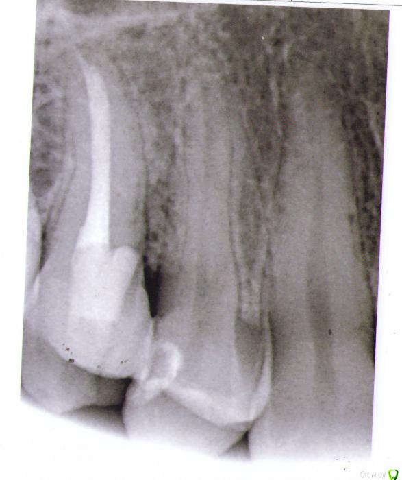
hichi Опубликовано 25 сентября, 2015 Автор Поделиться Опубликовано 25 сентября, 2015 (изменено) в зубе сделан достаточно глубокий ложный ход это "пробурили" когда искали дополнительный канал, после того как заболел от горячего. Док говорит что там нормально все перфорации нет. Изменено 25 сентября, 2015 пользователем hichi Ссылка на комментарий
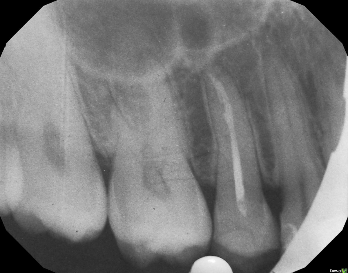
hichi Опубликовано 25 сентября, 2015 Автор Поделиться Опубликовано 25 сентября, 2015 (изменено) покажите все снимки начиная с первого Гарриевич сказал(а) 22 Сен 2015 - 00:35: покажите все снимки начиная с первого + 1 пожалуйста первичное эндо когда заболел от горячего искали доп. анатомию кальций с ложным ходом есть только один снимок, который в самом первом сообщенииесть еще один через 3 мес после лечения но он не совсем удачно сделан, думаю ничем вам не поможет Изменено 25 сентября, 2015 пользователем hichi Ссылка на комментарий
red_butler Опубликовано 25 сентября, 2015 Поделиться Опубликовано 25 сентября, 2015 Выглядит все очень прилично. Ссылка на комментарий
hichi Опубликовано 27 сентября, 2015 Автор Поделиться Опубликовано 27 сентября, 2015 Все понятно, всем спасибо.Значит пока просто наблюдаем. всем удачи и адекватных пациентов (не таких зануд как я ) 1 Ссылка на комментарий
hichi Опубликовано 25 ноября, 2015 Автор Поделиться Опубликовано 25 ноября, 2015 И снова здравствуйте! 1. Плюс к вышеперечисленным симптомам появилась боль при накусывании, но не всегда а только если что-то мелкое и жесткое типа крошки от сухаря или косточки попадает на зуб. И только в одной точке - где-то у основания бугров, 14 или 15 точно не могу определить. Как куснешь сразу резкая боль и инстинктивно сразу зубы разжимаешь, точно не успеваю отследить но кажется что 14-й.На 14-м пломба сделана около года назад, около полугода назад частично скорректирована в районе контакта 14 и 15, зуб живой.С 15-м ничего не изменилось, все тоже самое что и в сообщениях выше. 2. Почему-то не растет сосочек пострадавший при реставрации контакта 14 и 15 полгода назад. Контакт нормальный - точечный и плотный, нить щелкает, по снимку уровень кости тоже в норме и перфорации и трещины 15-го тоже вроде как нет. Что может быть? 3. В 15-м не слишком ли тонкая стенка в том месте где не совсем удачно искали каналы, не треснет ли зуб от нагрузки? Имеет ли смысл делать вкладку или коронку и если да то изкакого материала с учетом того что противоположные зубы абсолютно здоровые? И если делать вкладку это же надо зуб снова сверлить, толщина стенки там осталась 0,32 мм не будет ли перфорации? Спасибо. Ссылка на комментарий
Гарриевич Опубликовано 25 ноября, 2015 Поделиться Опубликовано 25 ноября, 2015 ниткой сосочек не травмируете?в случае коронования вкладка в зуб не понадобитсякоронку делать из безметаловой керамики, если соседние зубы совсем здоровые, то рефрактор Ссылка на комментарий
hichi Опубликовано 25 ноября, 2015 Автор Поделиться Опубликовано 25 ноября, 2015 ниткой сосочек не травмируете? однозначно исключено в случае коронования вкладка в зуб не понадобится правильно я понимаю - сверху коронка, а внутри старая пломба остается??? рефрактор это я так понимаю в переводе со стоматологического сленга полевошпатная керамика? (откуда вообще это пошло рефрактором это дело называть? в гугле еле нашла ) По части сосочка не может быть что все-таки микро перфорация в 15-м есть, просто ее в силу размеров не видно на снимке, тем более двухмерном... вот сосочек и помер...Просто не хочется выносить мозг своему доктору не разобравшись в ситуации, но зуб потерять еще больше не хочется. Ссылка на комментарий
Гарриевич Опубликовано 27 ноября, 2015 Поделиться Опубликовано 27 ноября, 2015 правильно я понимаю - сверху коронка, а внутри старая пломба остается??? да, если конечно она сделана хорошо это я так понимаю в переводе со стоматологического сленга полевошпатная керамика? (откуда вообще это пошло рефрактором это дело называть? в гугле еле нашла ) даговоря "соседние" имел в виду противоположные Ссылка на комментарий
Рекомендуемые сообщения
Для публикации сообщений создайте учётную запись или авторизуйтесь
Вы должны быть пользователем, чтобы оставить комментарий
Создать аккаунт
Зарегистрируйте новый аккаунт в нашем сообществе. Это очень просто!
Регистрация нового пользователяВойти
Уже есть аккаунт? Войти в систему.
Войти