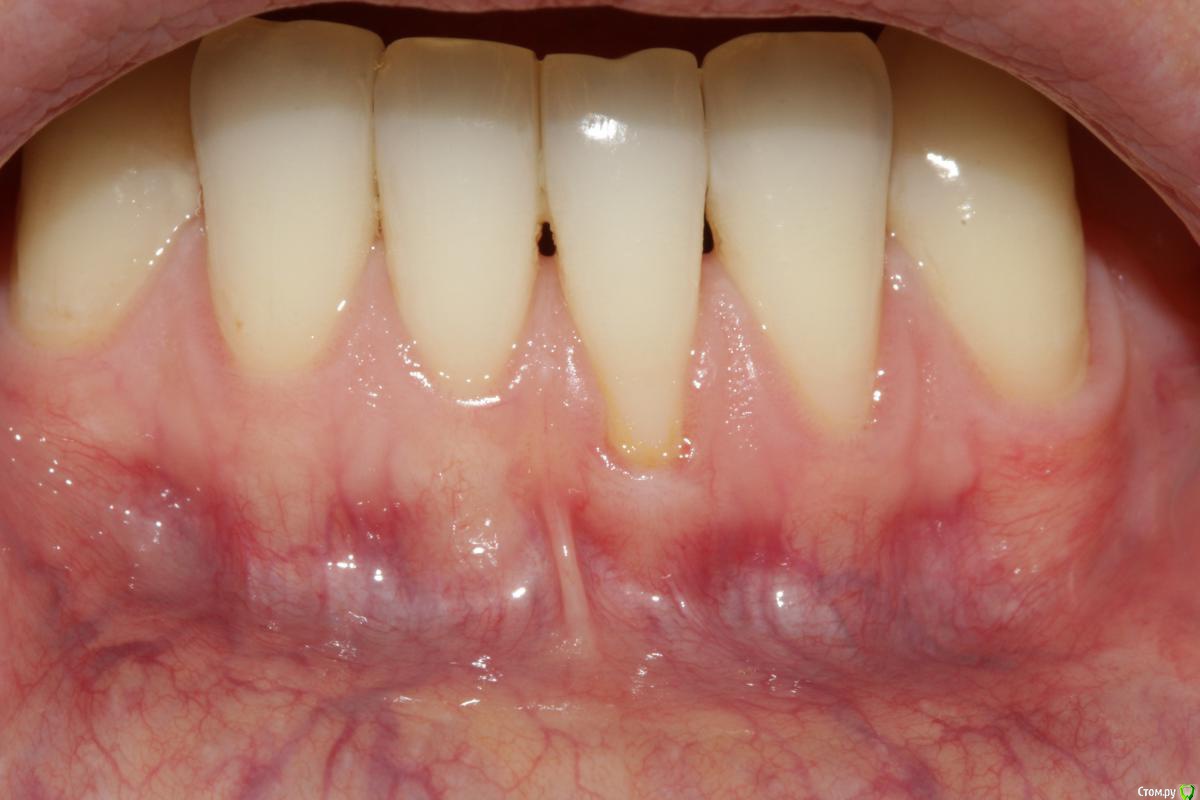
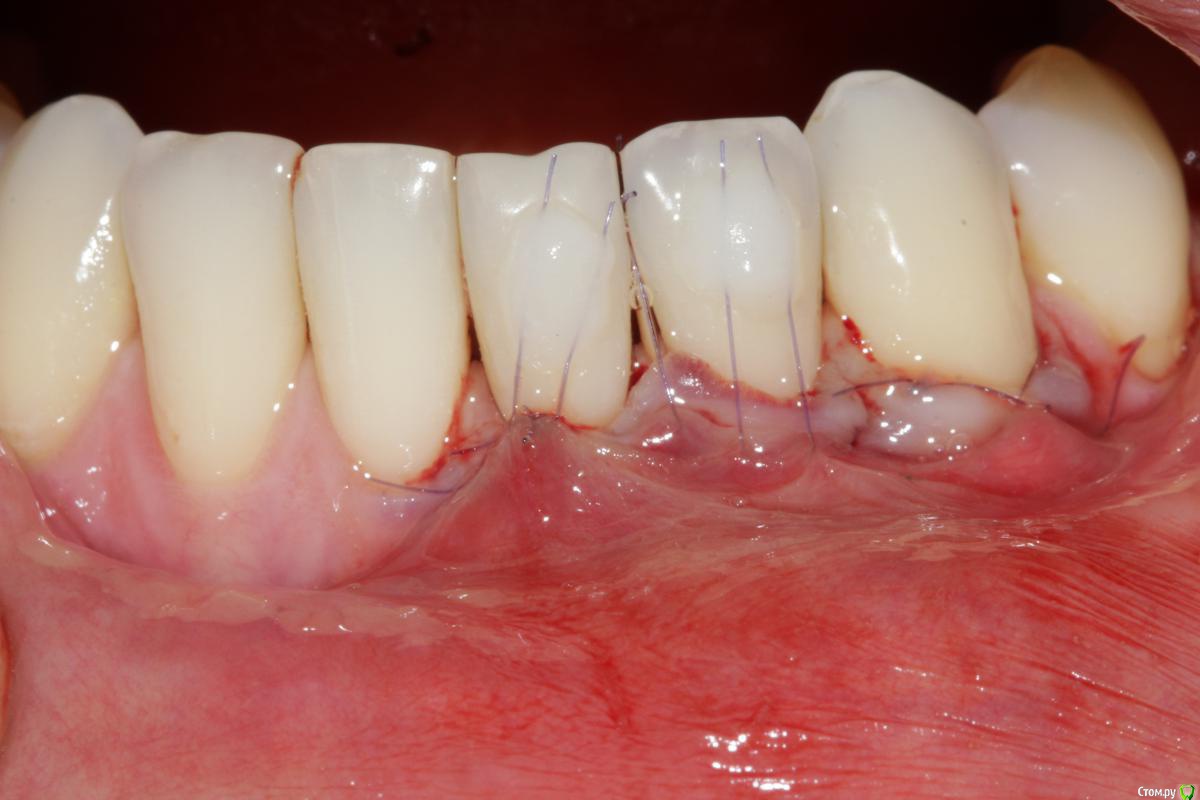
Dc.Petrov Опубликовано 18 сентября, 2015 Поделиться Опубликовано 18 сентября, 2015 Хочу узнать мнение коллег. Можно ли считать результат удовлетворительным? Рассчитывал на лучший итог. 15 Ссылка на комментарий
syrovovec Опубликовано 18 сентября, 2015 Поделиться Опубликовано 18 сентября, 2015 Рассчитывали до экватора закрыть?)) очень все красиво Ссылка на комментарий
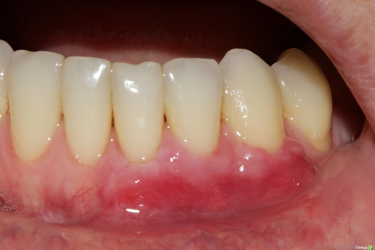
red_butler Опубликовано 18 сентября, 2015 Поделиться Опубликовано 18 сентября, 2015 Почему четверку обошли стороной? Ссылка на комментарий
Mane Опубликовано 18 сентября, 2015 Поделиться Опубликовано 18 сентября, 2015 Хорошо Ссылка на комментарий
zzkz Опубликовано 19 сентября, 2015 Поделиться Опубликовано 19 сентября, 2015 через 3-6 мес можно точно сказать, на сегодня все нормуль. 31 еще можно подтянуть. Ссылка на комментарий
Dc.Petrov Опубликовано 21 сентября, 2015 Автор Поделиться Опубликовано 21 сентября, 2015 Почему четверку обошли стороной? Цель изначально была закрыть 31Сейчас уже жалею, что 34 не сделал Ссылка на комментарий
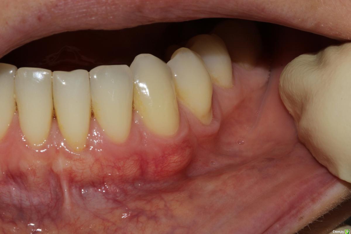
Dc.Petrov Опубликовано 21 сентября, 2015 Автор Поделиться Опубликовано 21 сентября, 2015 через 3-6 мес можно точно сказать, на сегодня все нормуль. 31 еще можно подтянуть.Считаете, что реально ещё подтянуть? Ссылка на комментарий
zzkz Опубликовано 22 сентября, 2015 Поделиться Опубликовано 22 сентября, 2015 До ЦЭС у 31 и 34 кажется что можно, по крайней мере по фото Ссылка на комментарий
Dc.Petrov Опубликовано 22 сентября, 2015 Автор Поделиться Опубликовано 22 сентября, 2015 с 34 понятно, с ним поработаю . Просто на одном том же месте (31) есть ли смысл повторять ? Ссылка на комментарий
zzkz Опубликовано 23 сентября, 2015 Поделиться Опубликовано 23 сентября, 2015 с 34 понятно, с ним поработаю . Просто на одном том же месте (31) есть ли смысл повторять ?если это возможно и нужно, конечно стоит. Можно даже и бесплатно. Я за повторную операцию беру только за расходник. Тут мне уже принципиально хочется добить рецессию)) Ссылка на комментарий
Рекомендуемые сообщения
Для публикации сообщений создайте учётную запись или авторизуйтесь
Вы должны быть пользователем, чтобы оставить комментарий
Создать аккаунт
Зарегистрируйте новый аккаунт в нашем сообществе. Это очень просто!
Регистрация нового пользователяВойти
Уже есть аккаунт? Войти в систему.
Войти