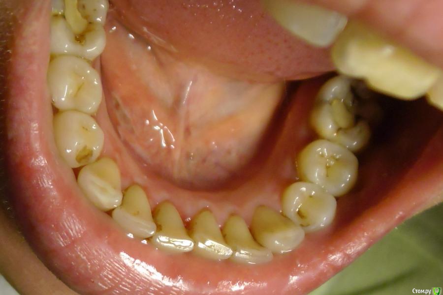
LAnna Опубликовано 17 сентября, 2015 Поделиться Опубликовано 17 сентября, 2015 (изменено) День добрый!Очень прошу помочь мне и оценить качество работы терапевта. 2 дня назад сделала профессиональную чистку в стоматологии (Air Flow) и результат очень расстроил. Но, я не специалист. Может Вы что скажите?И ещё есть несколько, на мой взгляд, моментов, которых быть не должно.1. Врач «просверлил» мне 2 дырки в нижнем нёбе, под языком, которые очень сильно болели. Язвы видно на фото.2. Врач в процессе чистки направлял струю аппарат по направлению к горлу и после процедуры осталось ощущение, как при простуде, когда начинает болеть горло.3. После процедуры воспалился лимфоузел под челюстью с левой стороны. Снизу челюсть опухла.4. Температуру я не мерила, но, по своему состоянию, я могу предположить, что она поднялась.Есть ещё несколько моментов, которые лично мне не понравились, хотя может это и нормально при такой процедуре. Врач работал один, без медсестры. В рот положили слюноотсос. А всё, что вылетало из аппарата, разлеталось в нос, лицо и просто вокруг. Хорошо, хоть мне одели очки (которые буквально через пару минут были залиты разлетающимися брызгами), шапочку, маленький слюнявчик и пару салфеток сверху слюнявчика. В результате, когда я встала после процедуры, все руки и часть моей одежды были в брызгах крови. Доктор выглядел не лучше – как в фильмах ужасов, вся в кровавых брызгах. И вся аппаратура, стол, кресло выглядело так же. Зрелище ещё то… После процедуры доктор не озвучил никаких рекомендаций – чего нежелательно есть какое-то время, чем облегчить состояние кровоточивых дёсен и двух «пробуренных» дырок.Плюс ко всему, на мой взгляд, качество чистки оставляет желать лучшего. Я обратилась за процедурой чистки, чтобы удалить налёт (раньше курила - налёт остался), а после пройти лечение. Но, на мой взгляд, налёт во многих местах остался.Пожалуйста, скажите своё мнение, как профессионалы, по этой ситуации.Спасибо.P.S.Прошу простить за качество фото. Изменено 17 сентября, 2015 пользователем LAnna Ссылка на комментарий
Scrabble Опубликовано 17 сентября, 2015 Поделиться Опубликовано 17 сентября, 2015 (изменено) Чтобы было чисто- чисто, надо ещё ультразвуком почистить. Эйрфло- процедура довольно инвазивная для слизистых оболочек, поэтому при чистке должны соблюдаться некоторые правила: работа в четыре руки, использование пылесоса, расположение наконечника под определённым углом. Лимфоузлы воспалились в ответ на повреждение слизистой- это пройдёт. Рекомендации, конечно, желательны( ротовые ванночки с 0,05% р-ром хлоргексидина после каждой еды в течение пары дней, солкосерил дентальный адгезивный гель на повреждённые участки после полоскания хлоргексидином).До заживления исключите всё острое, солёное, очень горячее. Когда всё заживёт, лечите кариесы. Изменено 17 сентября, 2015 пользователем Scrabble 2 Ссылка на комментарий
LAnna Опубликовано 17 сентября, 2015 Автор Поделиться Опубликовано 17 сентября, 2015 Scrabble, спасибо Вам за помощь и советы. Ссылка на комментарий
krokomot Опубликовано 17 сентября, 2015 Поделиться Опубликовано 17 сентября, 2015 сколько отдали если не секрет? за такую гигену Ссылка на комментарий
LAnna Опубликовано 17 сентября, 2015 Автор Поделиться Опубликовано 17 сентября, 2015 (изменено) Не секрет - 2200. На мой взгляд оно того вообще не стоит - качество чистки и куча побочных проблем. Вот теперь думаю, как всё сделать (доделать) нормально, т.к. это совсем не тот результат, который хотелось получить после профессиональной чистки. Изменено 17 сентября, 2015 пользователем LAnna Ссылка на комментарий
St. Опубликовано 17 сентября, 2015 Поделиться Опубликовано 17 сентября, 2015 Вот теперь думаю, как всё сделать (доделать) нормально, т.к. это совсем не тот результат, который хотелось получить после профессиональной чистки. Когда всё заживет пойти к другому доктору. Почистить ещё раз и полечить то что нужно полечить. Результат действительно может быть лучше. 4 Ссылка на комментарий
DmitrySH Опубликовано 17 сентября, 2015 Поделиться Опубликовано 17 сентября, 2015 Такая "проф. гигиена" хороший маркер качества лечения. Слизистая оболочка быстро восстановится. Не переживайте. И хорошо, что начали с этого. 2 Ссылка на комментарий
LAnna Опубликовано 18 сентября, 2015 Автор Поделиться Опубликовано 18 сентября, 2015 Почистить ещё раз Какую в данной ситуации необходимо ещё сделать чистку, чтобы был хороший результат? Ультразвук?Я думала, что я приду к доктору, он посмотрит своим профессиональным взглядом и скажет: "Делаем это, это и это. И всё будет чисто." Ссылка на комментарий
St. Опубликовано 18 сентября, 2015 Поделиться Опубликовано 18 сентября, 2015 Какую в данной ситуации необходимо ещё сделать чистку, чтобы был хороший результат? Ультразвук?Я думала, что я приду к доктору, он посмотрит своим профессиональным взглядом и скажет: "Делаем это, это и это. И всё будет чисто." Вы правильно думаете, так и должно быть. Чаще это комплексная чистка - ультразвук, Эир фло и полировка пастами. Ссылка на комментарий
LAnna Опубликовано 18 сентября, 2015 Автор Поделиться Опубликовано 18 сентября, 2015 Продолжение истории.Сегодня была на приёме у этого доктора - озвучила ей своё недовольство полученным результатом (качеством и неприятными последствиями). На это она ответила, что в моём случае УЗ чистка не подойдёт, т.к. она только для удаления камней. Чёрный налёт, который остался у меня на нижних передних зубах она в упор не видит, а коричневый пятна - это "пигментные пятна, которые чисткой не удаляются". А мои жалобы на воспаление лимфоузлов и двух дырок под языком вообще пропустила мимо ушей. Кстати, некоторые пятна крови, которые появились на оборудовании во время моей процедуры профессиональной чистки до сих пор красуются в кабинете доктора. Вот такая история.Для себя я решила, что займусь активным поиском хорошего специалиста, который сможет реально мне помочь в данной ситуации.Никогда не думала, что у меня всё так запущено, что мне уже ничего не поможет... Ссылка на комментарий
St. Опубликовано 18 сентября, 2015 Поделиться Опубликовано 18 сентября, 2015 Не отчаивайтесь и удачи в поисках) 1 Ссылка на комментарий
LAnna Опубликовано 18 сентября, 2015 Автор Поделиться Опубликовано 18 сентября, 2015 Спасибо! Ссылка на комментарий
red_butler Опубликовано 19 сентября, 2015 Поделиться Опубликовано 19 сентября, 2015 Попробуйте найти врача на форуме - http://forum.stom.ru/topic/4752-posovetujte-terapevta-v-gorode-n/ Ссылка на комментарий
LAnna Опубликовано 19 сентября, 2015 Автор Поделиться Опубликовано 19 сентября, 2015 Спасибо! Ссылка на комментарий
Рекомендуемые сообщения
Для публикации сообщений создайте учётную запись или авторизуйтесь
Вы должны быть пользователем, чтобы оставить комментарий
Создать аккаунт
Зарегистрируйте новый аккаунт в нашем сообществе. Это очень просто!
Регистрация нового пользователяВойти
Уже есть аккаунт? Войти в систему.
Войти