Laaeer Опубликовано 17 сентября, 2015 Поделиться Опубликовано 17 сентября, 2015 (изменено) Добрый день! Несмотря на большое количество подобных тем, хочется открыть и свою, так как, конечно, всё не как у других . Что было до: 24 года, симпатичное лицо с некрасивой улыбкой (зубы наклонены внутрь, глубокий дистальный прикус, сзчла). Небольшая ассиметрия, компенсированный прикус. Щелчки в суставе справа и редкие тянущие слабые боли, стираемость клыка справа и зуба прямо под ним. Эту ситуацию я наивно полагала исправить брекет-системой, ортодонт в ответ на жалобы на щелчки и стираемость сообщил, что щелчки останутся, а стираемость бывает у всех. И вообще был оптимистичен, сказав что ситуация - фигня и нечего особо делать. Брекеты были поставлены (к настоящему моменту я относила их 7 мес), после 6 мес. и выравнивания зубных рядов поставлены самые тугие резинки от нижней семерки к верхней тройке, которые должны были сместить челюсть вперед и вытянуть глубоко посаженные задние зубы. Зубы, только развернувшиеся по красивой дуге стали обратно тянуться в "крысиную улыбку", заворачиваться внутрь. Приношении резинок полностью прошли все боли. С этим я пошла к хирургу. Пластических операций не боюсь, цель - убрать ассиметрию, убрать щелчки, выдвинуть подбородок (улучшить профиль), улучшить эстетику улыбки. Хирург-ортодонт сказал, чтобы я прекратила заниматься ерундой: недоразвитие нижней челюсти брекетами не исправить. Резинки в некоторой степени помогут поднять прикус, но при этом верхние зубы "завернутся", при этом скорее всего хороших контактов зубов добиться не удастся. И все мои время и деньги потрачены, фактически, на небольшой подъем прикуса. Что сустав загружен и работает на износ.Предложенное хирургом лечение: отменить резинки, выровнять до конца зубные ряды, затем хир. выдвижение НЧ, добавление фрагмента на ВЧ (чтобы убрать ассиметрию, кривую улыбку). Потом еще 6 мес брекетов. Это значительно улучшит эстетику и разгрузит сустав. В квалификации хирурга сомневаться не приходится, а в орте есть всё-таки сомнения, но хирургу-то за операции деньги платят так что хочу спросить уважаемых участников форума, кто же из докторов прав? И могут ли быть у такой операции серьезные последствия? Мне она представлена как безопасная, зубы фиксированы брекетами, челюсти - титановыми пластинами, все прогнозируется, всё очень хорошо. (То, что реабилитация тяжелая, я знаю и готова к этому, но вдруг есть какие-то риски, о которых мне не сказали?). Сейчас сняла резинки, беспокоят редкие стреляющие боли в суставе и частые головные боли, начинаются от виска и затем боль распространяется. Боли сильнее, чем до брекетов. Стираемость исчезла. Изменено 17 сентября, 2015 пользователем Laaeer Ссылка на комментарий
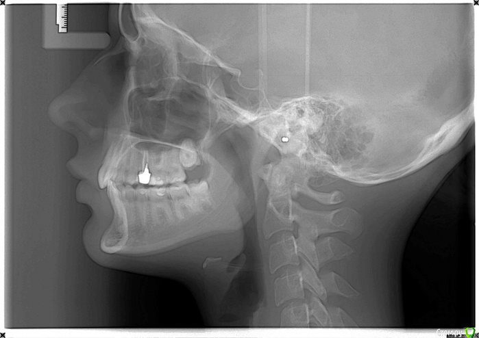
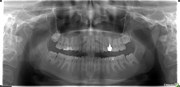
Laaeer Опубликовано 17 сентября, 2015 Автор Поделиться Опубликовано 17 сентября, 2015 (изменено) http://img0.liveinternet.ru/images/attach/c/7/125/79/125079440_1175715_mrt.jpghttp://s020.radikal.ru/i700/1509/d1/992519e3c10f.jpg Изменено 17 сентября, 2015 пользователем Laaeer Ссылка на комментарий
Skip Опубликовано 17 сентября, 2015 Поделиться Опубликовано 17 сентября, 2015 А хирург заключение по МРТ видел? Ссылка на комментарий
hemchik Опубликовано 17 сентября, 2015 Поделиться Опубликовано 17 сентября, 2015 Рекомендую обратиться на кафедру стоматологии общей практики СЗГМУ им. Мечникова к врачам ортодонтам специалистам по суставу, так как, по моему мнению, нужно сначала разобраться с височно-нижнечелюстным суставом ( вправить диск, остановить дегенеративные изменения) Ссылка на комментарий
Laaeer Опубликовано 17 сентября, 2015 Автор Поделиться Опубликовано 17 сентября, 2015 А хирург заключение по МРТ видел?Видел и сказал, что сустав может в подобном состоянии оставаться годами (а может и не оставаться, состояние может ухудшиться), но в любом случае после ОП мы поставим челюсть на свое место и функциональность таким образом восстановим. Ссылка на комментарий
Laaeer Опубликовано 17 сентября, 2015 Автор Поделиться Опубликовано 17 сентября, 2015 Рекомендую обратиться на кафедру стоматологии общей практики СЗГМУ им. Мечникова к врачам ортодонтам специалистам по суставу, так как, по моему мнению, нужно сначала разобраться с височно-нижнечелюстным суставом ( вправить диск, остановить дегенеративные изменения)Огромное спасибо, очень не хватало такого совета. Несколько дней пыталась дозвониться и записаться на консультацию по суставу в академию Кирова, но не то, что записаться, мне даже не ответили.. Судя по комментариям ситуация хуже, чем я думала. Ссылка на комментарий
Laaeer Опубликовано 17 сентября, 2015 Автор Поделиться Опубликовано 17 сентября, 2015 Пользуясь случаем и проявленным вниманием, хочется спросить у вас, Skip, мнение по этому вопросу. ОП проблем сустава не решит, надо лечить отдельно, до? Насколько я понимаю, полного решения проблемы в моем случае без ОП не получится, так как аномалия скелетная, но всё равно спрошу: если не делать операцию, можно решить проблемы с суставом? Ссылка на комментарий
krokomot Опубликовано 17 сентября, 2015 Поделиться Опубликовано 17 сентября, 2015 Хочу вставить свое мнение. Проблемы с сутавом возникают по причине повышенной нагрузки непосредственно на него. Нагрузка эта появляется вследствие неправильной окклюзии и неравномерных окклюзионных контактов, когда сначало сдавливается межсуставной диск, а потом зубы приходят в контакт. Есть люди с гораздо большими челюстными ономалиями, чем у вас и окклюзией еще хуже, но состояние у них компенсированное, никакого дискофорта они не ощущают, так как зубочелюстная система, саморегулирующаяся. В вашей ситуации вы хотите убрать незначительную ассиметрию челюсти, как мне показалось,(хотелось бы увидеть всё лицо а нескольких проекциях, фото не меньше чем с 1.5 метров,чтобы искажений небыло) Мое мнение найти с помощью ортодонта максимально гармоничное для вашей окклюзии положение зубов, впервую очередь боковых. Спомощью пластического хирурга устранить ассиметрию путем простейшей операции +ткань и не нужно будет кости пилить))) 1 1 Ссылка на комментарий
Laaeer Опубликовано 7 октября, 2015 Автор Поделиться Опубликовано 7 октября, 2015 (изменено) По результатам осмотра и консультации в Мечникова (были еще и другие, но мнению завкафедры этого заведения нельзя не доверять) буду делать двухчелюстную остеотомию. Глубокий дистальный травмирующий прикус. Работать с суставом будем после нормализации положения и размера челюстей. Еще раз спасибо за комментарии. Если это читает мой хирург - нет, я не жалею, что оббегала пол города и опросила кучу людей, включая этот форум, теперь я могу вам полностью доверять Тему можно закрыть. Изменено 7 октября, 2015 пользователем Laaeer Ссылка на комментарий
Рекомендуемые сообщения