gum Опубликовано 15 сентября, 2015 Поделиться Опубликовано 15 сентября, 2015 Коллеги здравствуйте. У пациентки планируется двусторонний синус лифт, но по кт в пазухе проблемы. Клинически пациентка никогда не жаловалась. Отправил к ЛОРу было проведено терапевтическое лечение. ЛОР сказала, что не видит преград для операции. Соустьев на КТ не видно. Отправлять к другому ЛОРу? и вообще как при таких изменениях в пазухе проводить операцию. Подскажите какую литературу лучше почитать, Ссылка на комментарий
SashaDoc Опубликовано 15 сентября, 2015 Поделиться Опубликовано 15 сентября, 2015 Я бы скорее отправил к другому лору, который понимает, что для чего 3 Ссылка на комментарий
major Опубликовано 15 сентября, 2015 Поделиться Опубликовано 15 сентября, 2015 КТ после лечения у Лора? Ссылка на комментарий
gum Опубликовано 16 сентября, 2015 Автор Поделиться Опубликовано 16 сентября, 2015 Да после лечения ЛОРа Ссылка на комментарий
Bier Опубликовано 16 сентября, 2015 Поделиться Опубликовано 16 сентября, 2015 надо делать КТ на котором видно соустье + на зубе периодонтит? не видно из-за сеток на снимке. 1 Ссылка на комментарий
major Опубликовано 16 сентября, 2015 Поделиться Опубликовано 16 сентября, 2015 Да после лечения ЛОРаТогда да, другой оториноларинголог вам в помощь, с новым КТ. И действительно, на первом снимке, на зубе периапикальные изменения? или срез так расположен? Ссылка на комментарий
gum Опубликовано 17 сентября, 2015 Автор Поделиться Опубликовано 17 сентября, 2015 Завтра на КТ отправлю чтобы соустья было видно и посмотрю старый снимок на предмет периодонтита Ссылка на комментарий
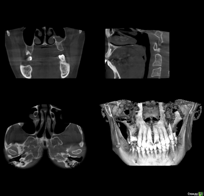
gum Опубликовано 28 сентября, 2015 Автор Поделиться Опубликовано 28 сентября, 2015 Пациентка принесла новый 3D. С пазухами. Слева сообщение с полостью носа есть, а справа по снимку оно не прослеживается.. Можно ли делать открытый синус лифт или к другому ЛОРу отправлять Ссылка на комментарий
Bier Опубликовано 28 сентября, 2015 Поделиться Опубликовано 28 сентября, 2015 а периодонтит? )Если кроме этого утолщения больше ничего нет - можно оперировать. 1 Ссылка на комментарий
major Опубликовано 28 сентября, 2015 Поделиться Опубликовано 28 сентября, 2015 лучше бы полное кт посмотреть. киньте ссылку. Ссылка на комментарий
gum Опубликовано 16 октября, 2015 Автор Поделиться Опубликовано 16 октября, 2015 Да периодонтит есть, пациентка пока в раздумьях Ссылка на комментарий
Рекомендуемые сообщения
Для публикации сообщений создайте учётную запись или авторизуйтесь
Вы должны быть пользователем, чтобы оставить комментарий
Создать аккаунт
Зарегистрируйте новый аккаунт в нашем сообществе. Это очень просто!
Регистрация нового пользователяВойти
Уже есть аккаунт? Войти в систему.
Войти