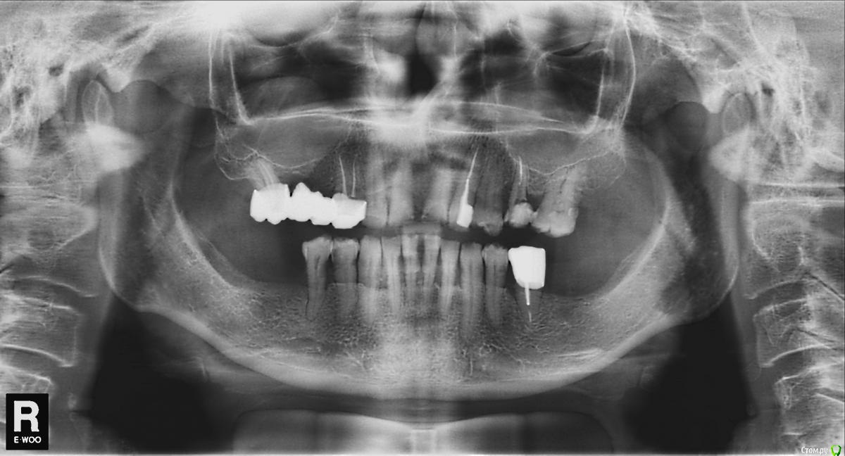
Павел7809 Опубликовано 13 сентября, 2015 Поделиться Опубликовано 13 сентября, 2015 Собственно выношу на суд орто. Интересует мнение по поводу вариантов протезирования.Имплантация - исключена - пациент беден и диабет. Для себя план лечения уже составлен, просто хотелось бы свеиже мнения послушать.... Ссылка на комментарий
k.t.m. Опубликовано 13 сентября, 2015 Поделиться Опубликовано 13 сентября, 2015 А какие мнения могут быть!?оценить паро -статус зубов, которые нуждаются в удалении,лечении,коронках-удалить,лечить, короновать и сьемное Ссылка на комментарий
diesel87 Опубликовано 13 сентября, 2015 Поделиться Опубликовано 13 сентября, 2015 2 чсп да и все Ссылка на комментарий
Павел7809 Опубликовано 14 сентября, 2015 Автор Поделиться Опубликовано 14 сентября, 2015 забавно о пац таки созрел на импланты снизу и бюгель сверху Ссылка на комментарий
diesel87 Опубликовано 14 сентября, 2015 Поделиться Опубликовано 14 сентября, 2015 забавно о пац таки созрел на импланты снизу и бюгель сверху После того как чсп предложили?) Ссылка на комментарий
Павел7809 Опубликовано 14 сентября, 2015 Автор Поделиться Опубликовано 14 сентября, 2015 После того как чсп предложили?)именно Ссылка на комментарий
Павел7809 Опубликовано 17 сентября, 2015 Автор Поделиться Опубликовано 17 сентября, 2015 Продолжаю делится этим случаем и выкладываю на суд возможную имплантацию.1 Сначала будет удаление 5 ок с изготовлением иммедиат протеза2 Потом перевод иммедиат протеза в рентгенконтрастную модель и отправка на кт с ним( через 2 месяца после удаления)3 Имплантация по шаблону, причем на место 7 ок планирую поставить короткие альфа био....как то то так....будут какие нибуди рекомендации? Ссылка на комментарий
Bratok Опубликовано 21 сентября, 2015 Поделиться Опубликовано 21 сентября, 2015 а что с нижними резцами? кажется за ними пришла зубная смерть с щипцами ? ) Ссылка на комментарий
Рекомендуемые сообщения
Для публикации сообщений создайте учётную запись или авторизуйтесь
Вы должны быть пользователем, чтобы оставить комментарий
Создать аккаунт
Зарегистрируйте новый аккаунт в нашем сообществе. Это очень просто!
Регистрация нового пользователяВойти
Уже есть аккаунт? Войти в систему.
Войти