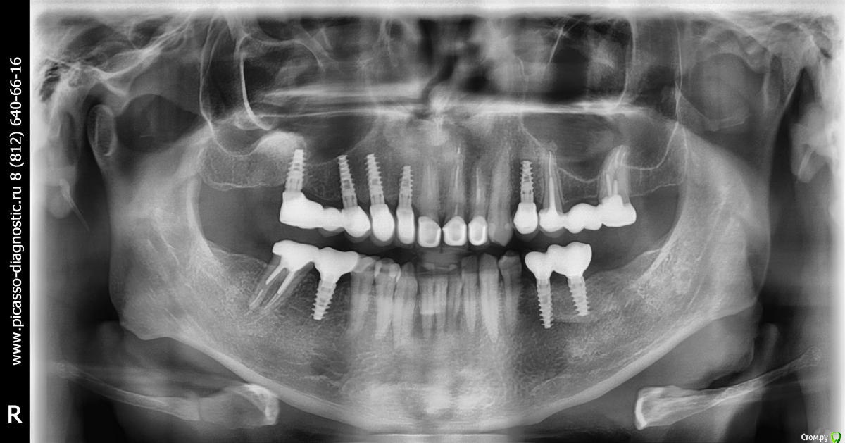
66666 Опубликовано 13 сентября, 2015 Поделиться Опубликовано 13 сентября, 2015 Прошло пол года после окончания лечения. Есть на что обратить внимание? Ссылка на комментарий
molchanoff Опубликовано 13 сентября, 2015 Поделиться Опубликовано 13 сентября, 2015 а что беспокоит? Ссылка на комментарий
66666 Опубликовано 13 сентября, 2015 Автор Поделиться Опубликовано 13 сентября, 2015 а что беспокоит?думал по снимку ясно все будет) если надавить пальцем под носом тупая боль в р-не 21 и 22, реагирует на холод 45. Ссылка на комментарий
IvanK Опубликовано 14 сентября, 2015 Поделиться Опубликовано 14 сентября, 2015 Есть на что обратить внимание? если надавить пальцем под носом тупая боль в р-не 21 и 22, реагирует на холод 45 Вы посещали Своего Врача?Обратитесь к терапевту по поводу 45, к ортопеду - 21,22 Ссылка на комментарий
66666 Опубликовано 14 сентября, 2015 Автор Поделиться Опубликовано 14 сентября, 2015 К врачу записан на субботу. Специально сделал снимок, что б показать на этом форуме. Видимых проблем, я так понимаю, нет? Ссылка на комментарий
IvanK Опубликовано 14 сентября, 2015 Поделиться Опубликовано 14 сентября, 2015 К врачу записан на субботу. Специально сделал снимок, что б показать на этом форуме. Видимых проблем, я так понимаю, нет?значит не доверяете Врачу?..) придраться можно и к столбу)) Ссылка на комментарий
red_butler Опубликовано 15 сентября, 2015 Поделиться Опубликовано 15 сентября, 2015 Видимых проблем, я так понимаю, нет? ОПГ всего лишь дополнительный метод обследования. Серьезных проблем не увидел, для остального нужен очный осмотр. Ссылка на комментарий
Рекомендуемые сообщения
Для публикации сообщений создайте учётную запись или авторизуйтесь
Вы должны быть пользователем, чтобы оставить комментарий
Создать аккаунт
Зарегистрируйте новый аккаунт в нашем сообществе. Это очень просто!
Регистрация нового пользователяВойти
Уже есть аккаунт? Войти в систему.
Войти