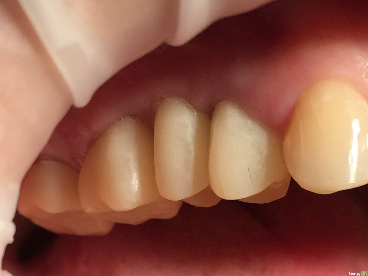
Глеб Митрофанов Опубликовано 12 сентября, 2015 Поделиться Опубликовано 12 сентября, 2015 (изменено) Направлена ортопедом , к которому пришла от другого хирурга и ортопеда , которые оперировали и изготавливали времянки соответственно . Пришла с просьбой - хочу сосочки ! Изменено 12 сентября, 2015 пользователем Глеб Митрофанов Ссылка на комментарий
Aquarius Опубликовано 12 сентября, 2015 Поделиться Опубликовано 12 сентября, 2015 А какой вопрос? С какой целью написали? Сосочков здесь не будет Ссылка на комментарий
alekszander Опубликовано 12 сентября, 2015 Поделиться Опубликовано 12 сентября, 2015 Что, даже манипуляции со слизистой не помогут? Ссылка на комментарий
Глеб Митрофанов Опубликовано 12 сентября, 2015 Автор Поделиться Опубликовано 12 сентября, 2015 А какой вопрос? С какой целью написали?Что возможно сделать , чтоб сделать максимально приближенное к желаемому ? Работа с мягкими тканями , времянками ?? Ссылка на комментарий
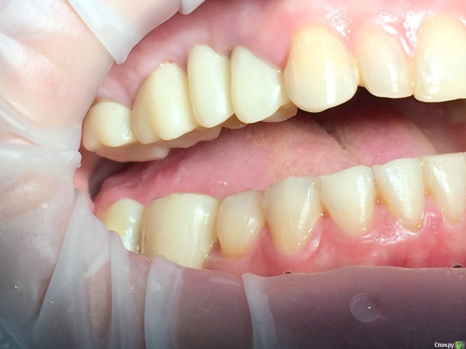
faity Опубликовано 12 сентября, 2015 Поделиться Опубликовано 12 сентября, 2015 пластика с бугров наверху, снизу полностью переделывать ортопедию и делать пластику с бугров. Гамборена вчера показывал как))) carlos показывает уже год 4 Ссылка на комментарий
Aquarius Опубликовано 12 сентября, 2015 Поделиться Опубликовано 12 сентября, 2015 Что возможно сделать , чтоб сделать максимально приближенное к желаемому ? Работа с мягкими тканями , времянками ??Если имплант не глушить, то по моему никак Ссылка на комментарий
Глеб Митрофанов Опубликовано 12 сентября, 2015 Автор Поделиться Опубликовано 12 сентября, 2015 Если имплант не глушить, то....Первая мысль , которая пришла в голову , заглушить винты Ссылка на комментарий
faity Опубликовано 12 сентября, 2015 Поделиться Опубликовано 12 сентября, 2015 а кто сказал что будет легко?) 2 Ссылка на комментарий
колесников Опубликовано 12 сентября, 2015 Поделиться Опубликовано 12 сентября, 2015 а кто сказал что будет легко?)Поддерживаю. Ортопедию с нуля Ссылка на комментарий
Глеб Митрофанов Опубликовано 12 сентября, 2015 Автор Поделиться Опубликовано 12 сентября, 2015 Поддерживаю. Ортопедию с нуляТак и будет , ветку Carlosa посмотрел насчет хирургии Ссылка на комментарий
Mane Опубликовано 12 сентября, 2015 Поделиться Опубликовано 12 сентября, 2015 снимаешь временную коронкупересаживаешь сст с бугра на тонкий формировательждешь месяцоцениваешьпротезируешь 2 Ссылка на комментарий
Рекомендуемые сообщения
Для публикации сообщений создайте учётную запись или авторизуйтесь
Вы должны быть пользователем, чтобы оставить комментарий
Создать аккаунт
Зарегистрируйте новый аккаунт в нашем сообществе. Это очень просто!
Регистрация нового пользователяВойти
Уже есть аккаунт? Войти в систему.
Войти