загадочная история Опубликовано 11 сентября, 2015 Поделиться Опубликовано 11 сентября, 2015 (изменено) Уважаемые Эксперты!Уже неделю мучат зубные боли и причина их непонятна, уже замучила всех врачей в поликлинике (((( Сама принимаю обезболивающие и антибиотики все это время и конца этому не видно, температура 35.7 а сегодня вообще снимок показал что-то неожиданное. Месяц назад удалили 6-ку, очень быстро и весело, не было боли, воспалений, отека, и 3 недели я бед не знала. Неделю назад начались боли в 5-ке при накусывании и пульсирующая боль, отдающая в разные неожиданные части головы. Ощущения как при пародонтите и все ждала абсцесса или свища, но Вскрыли 5-ку, все в порядке, нерв здоров, рядом 4-ка со штифтом стоит уже 11 лет. При осмотре (постукивании) болезненна 5-ка, а подозрения в переломе корня падают на 4-ку. Очень не хочется лишаться 4-ки, т.к. улыбка пострадает серьезно (((( и непонятна болезненность 5-ки. В общем, предстоит удаление моего любимого 4-го зуба и теплится надежда, что может быть, этого можно избежать? пытаюсь разгадать снимок ((( Изменено 11 сентября, 2015 пользователем загадочная история Ссылка на комментарий
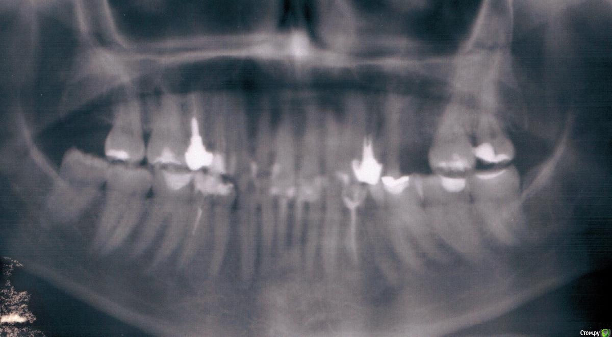
diesel87 Опубликовано 11 сентября, 2015 Поделиться Опубликовано 11 сентября, 2015 Здравствуйте, снимок крайне не четкий, давайте лучше качество. А лучше четкий прицельный снимок 4 и 5-ки. Ссылка на комментарий
red_butler Опубликовано 11 сентября, 2015 Поделиться Опубликовано 11 сентября, 2015 К сожалению снимок не информативен, попробуйте переснять или сделайте новый на цифровом ортопантомографе Ссылка на комментарий
загадочная история Опубликовано 11 сентября, 2015 Автор Поделиться Опубликовано 11 сентября, 2015 насколько удачно здесь качество? Ссылка на комментарий
загадочная история Опубликовано 11 сентября, 2015 Автор Поделиться Опубликовано 11 сентября, 2015 Здравствуйте, снимок крайне не четкий, давайте лучше качество. А лучше четкий прицельный снимок 4 и 5-ки.Здравствуйте, не знаю, насколько это лучше? Ссылка на комментарий
загадочная история Опубликовано 11 сентября, 2015 Автор Поделиться Опубликовано 11 сентября, 2015 К сожалению снимок не информативен, попробуйте переснять или сделайте новый на цифровом ортопантомографеесть рентген, но, боюсь, тоже не лучшего качества Ссылка на комментарий
diesel87 Опубликовано 11 сентября, 2015 Поделиться Опубликовано 11 сентября, 2015 Перелома/трещины не вижу, перелечивайте 4-ку и видимо в 5-ом периодонтит, его тоже надо проверить, жив он или нет, если нет то лечить каналы. 1 Ссылка на комментарий
загадочная история Опубликовано 11 сентября, 2015 Автор Поделиться Опубликовано 11 сентября, 2015 Перелома/трещины не вижу, перелечивайте 4-ку и видимо в 5-ом периодонтит, его тоже надо проверить, жив он или нет, если нет то лечить каналы.ощущения были очень периодонтитные, но 5-ку вскрыли, вытащили нерв - полностью здоровый, сейчас пока хожу с открытым зубом, а 4-ка штифтовая, ее можно разобрать и перелечить? Ссылка на комментарий
shishok Опубликовано 12 сентября, 2015 Поделиться Опубликовано 12 сентября, 2015 Зуб нельзя оставлять открытым! Ссылка на комментарий
Рекомендуемые сообщения
Для публикации сообщений создайте учётную запись или авторизуйтесь
Вы должны быть пользователем, чтобы оставить комментарий
Создать аккаунт
Зарегистрируйте новый аккаунт в нашем сообществе. Это очень просто!
Регистрация нового пользователяВойти
Уже есть аккаунт? Войти в систему.
Войти