Перейти к содержанию
Стоматология для всех

Коронка сдвинулась и болит


Sallos

Рекомендуемые сообщения

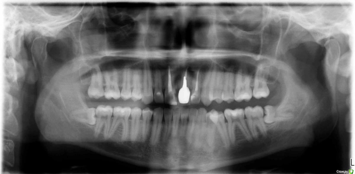
Доброй ночи, такая ситуация, 3 года назад поставили коронку единичка, 9 июля начала болеть десна там где эта коронка, сказали воспалился сосочек десны, полоскал и мазал специальной пастой 20 июля перестало болеть, 4 сентября опять начало болеть причем намного сильнее, пошел к стоматологу он сказал не страшно прописал нимисин и пасту, боль стала невыносимой и заметил, что коронка опустилось чу чуть, пошел к другому стоматологу сделали снимок и стучал по зубам больно очень было 2-ке, сказал пульпит на ней и удалил пульпу, про коронку сказал, что не поменять коронка так и будет, но проблема в том, что жевать не могу нажимаю на коронку и десне больно и она ходит чу чуть, можно ли ее снять и заного одеть?

Снимки фото прилагаю.

post-44624-0-09465100-1441914346_thumb.jpg

post-44624-0-02130500-1441914351_thumb.jpg

post-44624-0-46494300-1441914358_thumb.jpg

post-44624-0-49587700-1441914487_thumb.jpg

post-44624-0-55816000-1441914668_thumb.jpg

Ссылка на комментарий

Доброй ночи! Если есть подвижность коронки, то конечно снимать и выяснять причины. Но совсем не факт, что вашу коронку можно будет вернуть на место. Может потребоваться изготовление новой. 

  • Поддерживаю 1
Ссылка на комментарий

Для публикации сообщений создайте учётную запись или авторизуйтесь

Вы должны быть пользователем, чтобы оставить комментарий

Создать аккаунт

Зарегистрируйте новый аккаунт в нашем сообществе. Это очень просто!

Регистрация нового пользователя

Войти

Уже есть аккаунт? Войти в систему.

Войти
×
×
  • Создать...
Вверх