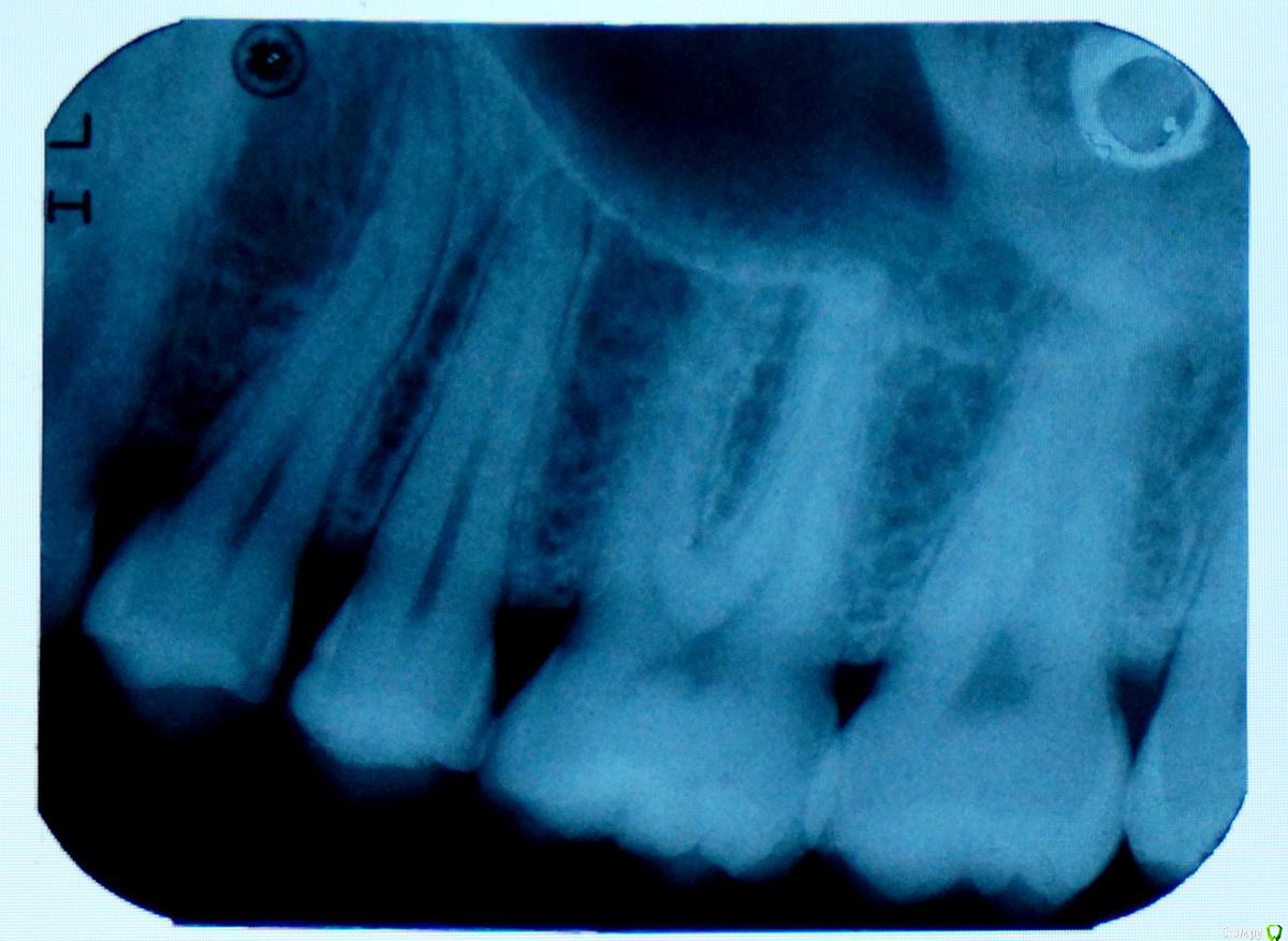
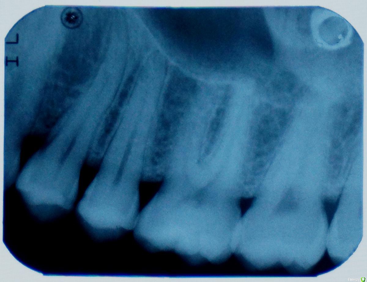
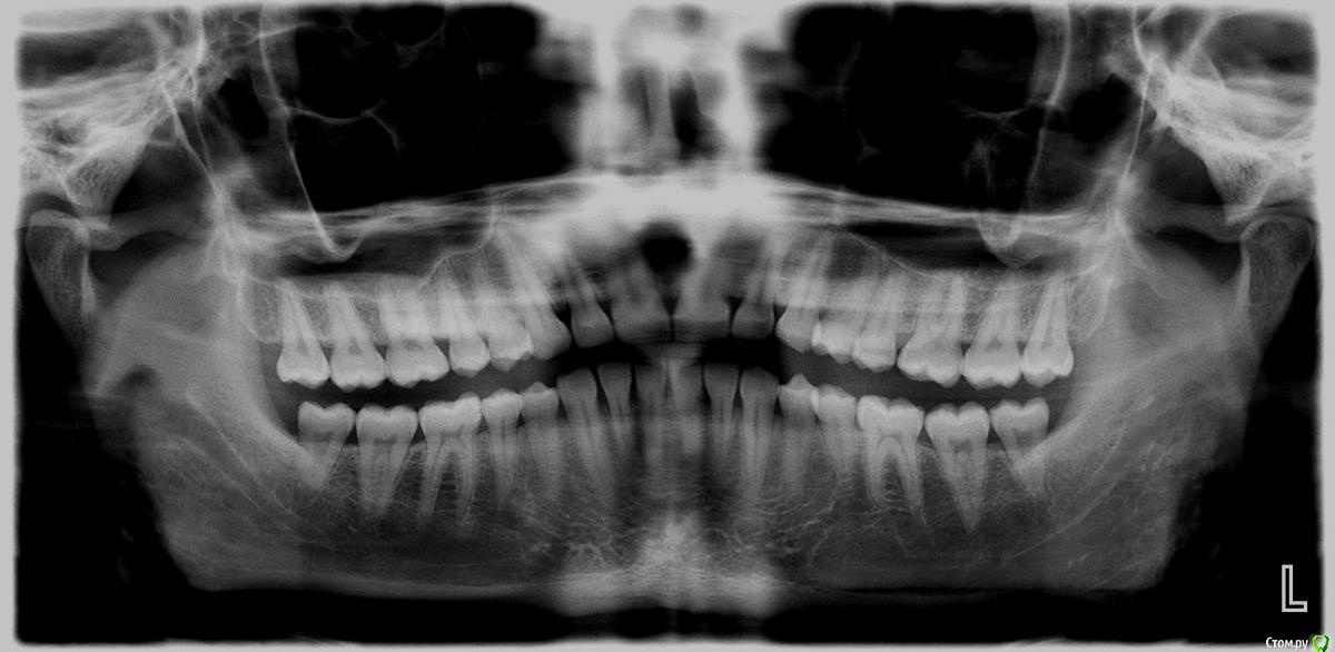
Манул Опубликовано 10 сентября, 2015 Поделиться Опубликовано 10 сентября, 2015 Здравствуйте. У меня боль в суставе челюстном слева, глаз отекает (мешок с утра). И при жевании боль в 6 зубе верхнем слева (если считать от центрального резца). Сделал панорамный, на нем всё нормально? Что делать, что может быть? Спасибо. Ссылка на комментарий
shishok Опубликовано 10 сентября, 2015 Поделиться Опубликовано 10 сентября, 2015 У ЛОРа не были на консультации? 1 Ссылка на комментарий
Манул Опубликовано 10 сентября, 2015 Автор Поделиться Опубликовано 10 сентября, 2015 (изменено) У ЛОРа не были на консультации?Нет пока, боль в зубах именно при жевании. Но пойду.Есть мрт еще от 07.2015 выкладывать? Но этот снимок духнедельной давности...Блин, делать что?Боль в суставе сильная, и глаз главное отекает! PS.Я сам попытался понять, что происходит, но у стоматологов такой корпус знаний...Манульи (программистские) мозги мои не переварили. Изменено 10 сентября, 2015 пользователем Манул Ссылка на комментарий
krokomot Опубликовано 10 сентября, 2015 Поделиться Опубликовано 10 сентября, 2015 По вашему снимку видимой патологии не наблюдается, нужно обратиться непосредственно на прием, если беспокоят зубы проверить их на витальность. Это все можно сделать только в клинике форум вам тут не поможет все будет только пальцем в небо. Ссылка на комментарий
Манул Опубликовано 11 сентября, 2015 Автор Поделиться Опубликовано 11 сентября, 2015 По вашему снимку видимой патологии не наблюдается, нужно обратиться непосредственно на прием, если беспокоят зубы проверить их на витальность. Это все можно сделать только в клинике форум вам тут не поможет все будет только пальцем в небо.Проблема в том, что зубы все интактны (стучали и воздушной струей проверяли), я у многих врачей был у 3 хирургов, 5 парадонтологов, 2 терапевтов..."У вас всё в норме!"А боль не проходит, есть не могу и глаз отекает (как фингал под глазом небольшой).Окулист сказа его патологии нет, у ЛОРа пока не был, но заложенности носа нет...Я не знаю что делать, всё в норме, а всё болит. Я не могу сказать, что идет усиление боли со временем, но и не проходит ничего. Ссылка на комментарий
krokomot Опубликовано 11 сентября, 2015 Поделиться Опубликовано 11 сентября, 2015 На проверить зубы методом электроодонтодиагностики, если и по этому методу они все здоровы, то тогда смотреть пазуху и нос. Отек может вызывать тромбоз вен. В любом случае ответит вам не видя вас очень сложно. Ссылка на комментарий
shishok Опубликовано 11 сентября, 2015 Поделиться Опубликовано 11 сентября, 2015 Учитывая горький опыт моей знакомой,я бы ещё и КТ головы сделала. Ссылка на комментарий
сирена Опубликовано 11 сентября, 2015 Поделиться Опубликовано 11 сентября, 2015 Идите к ЛОРу.Может там отит какой нибудь(воспаление уха),нос тут не при чём.Давно у Вас эти симптомы? Ссылка на комментарий
Манул Опубликовано 22 сентября, 2015 Автор Поделиться Опубликовано 22 сентября, 2015 Спасибо всем огромное! По зависящим от меня причинам, я вынужденно исчез. С вычислительной техникой проблемы случились...На зубах кариес межзубной начался на стороне где болело. (между пятым, шестым и четвертым зубами)Подскажите стоит пломбировать или подожать нужно.Пишу с Raspberry pi b model 1... ((( Спасибо! Ссылка на комментарий
Рекомендуемые сообщения
Для публикации сообщений создайте учётную запись или авторизуйтесь
Вы должны быть пользователем, чтобы оставить комментарий
Создать аккаунт
Зарегистрируйте новый аккаунт в нашем сообществе. Это очень просто!
Регистрация нового пользователяВойти
Уже есть аккаунт? Войти в систему.
Войти