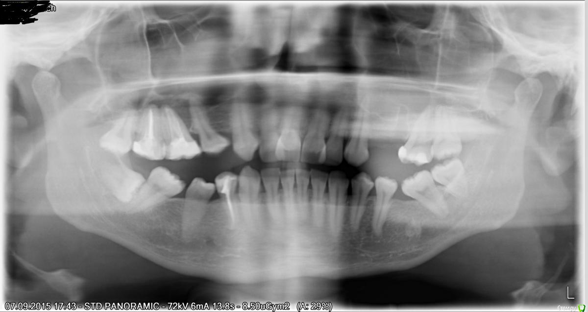
Ponchik Опубликовано 9 сентября, 2015 Поделиться Опубликовано 9 сентября, 2015 Добрый день. История следующая: я удалил 2.5 зуб и так как он был в проекции синуса ороантральное сообщение проверил, но щеки "дулись" исправно. Сгусток был какой-то маленький (ультракаин 1:200000), потому положил на уровне кортикалки "губку сплющенную ильгамовскую" и направляющие швы Викрил 5-0. Была среда.В понедельник смотрю пациента - швы на месте, ошметки губки частично тоже и реки гноя из лунки при просьбе подуть в зажатый нос. Со слов пациента заложенность носа и отделяемое из лунки появились еще в пятницу, но очень не когда было обратиться за помощью.Делаем ОПТГ, там конечно уровень в пазухе. Направляю пациента в стационар. Хотел бригадой скорой, но он отказался (письменно) и ушел сам, своим пешком.Сегодня. Звоню пациенту. Понедельник он в стационар не пошел(поздно было, а важностью момента пациент не проникся). Во вторник записался на прием в среду. И вот сегодня таки был у доктора. В стационаре сказали пить АБ дальше, пока воспаление не пройдет, а далее уже закрывать перфорацию (и вообще вдруг само закроется).Я по наивности думал, что будут проводить ревизию пазухи, закрывать перфорацию и несколько раз (в течении недельки скажем) промоют синус через со устье с носовым ходом.А тут наблюдение. Это нормальная тактика? Напоминает "открытый" зуб в терапии. Как вы ведете подобных пациентов? И еще вопрос как вы проверяете на ороантральное сообщение? Я так понимаю - перфорация была во время удаления, а проба ротоносовая была ложноотрицательной и я момент с перфо не определил. Может еще какой метод есть? ОПТГ после: Ссылка на комментарий
kriokov Опубликовано 9 сентября, 2015 Поделиться Опубликовано 9 сентября, 2015 Зондирование лунки- пародонтальный зонд, помогает.Вы уверены что гной из пазухи а не из лунки?Определяйтесь. Если действительно из пазухи, то пазуху отмывать несколько дней через лунку и самому перфо закрыть. Кт надо, соустье посмотреть. Если нормально естественное соустье работает, не должно быть проблем 3 Ссылка на комментарий
krokomot Опубликовано 9 сентября, 2015 Поделиться Опубликовано 9 сентября, 2015 надо сделать кт, проверить соустье, если полноценное, то сосудосуживающие капли, а\б, противовоспалительные. Ждете стихания процесса - закрытие соустья. Если соустье неполноценнное скорее всего черезлунку бутет свистеть еще долго, тогда ревизия. Ссылка на комментарий
syrovovec Опубликовано 9 сентября, 2015 Поделиться Опубликовано 9 сентября, 2015 Присоединяюсь к вышесказанному, кт делаю не всегда, не всегда есть возможность Ссылка на комментарий
Alejandro Опубликовано 9 сентября, 2015 Поделиться Опубликовано 9 сентября, 2015 При подозрении на ороантральное закрываю пациенту нос и прошу попытаться через него выдохнуть: при сообщении из лунки засвистит. А по тактике: сперва КТ, гной из пазухи через лунку моем, после стихания пластика. Ссылка на комментарий
Ponchik Опубликовано 9 сентября, 2015 Автор Поделиться Опубликовано 9 сентября, 2015 Гной из пазухи точно. Из лунки свистит(это когда уже не течет). Понял, что пластика после окончания острого процесса. Думал что хоть временно как-то закроют. Хоть альвостазом каким. Ссылка на комментарий
major Опубликовано 9 сентября, 2015 Поделиться Опубликовано 9 сентября, 2015 Думал что хоть временно как-то закроют. Хоть альвостазом каким. При гнойном процессе в пазухе не лучший вариант. А тактика зависит от от конкретной клиники, течения синусита. Присоединяюсь ко всему вышесказанному, но может быть и более радикальный исход вплоть до синусотомии с пластикой ороантрального соустья. Ссылка на комментарий
колесников Опубликовано 9 сентября, 2015 Поделиться Опубликовано 9 сентября, 2015 Были грануляции в пазухе,они сообщение затампонировали,вот воздух и не шёл при носо-ротовой пробе. Надо было рото-носовую попробовать. Сейчас тактика одна-ждать стихания воспаления. Какой антибиотик назначили? Хорошо помогает если добавить трихопол. Ушивать и класть что либо в лунку бесполезно,будет гнойное расплавление. Разве только йодоформную турунду можно,чтобы жидкость изо рта через нос не выходила и грануляции в лунке не выросли. Ссылка на комментарий
Ponchik Опубликовано 10 сентября, 2015 Автор Поделиться Опубликовано 10 сентября, 2015 Спасибо за ответы. Я так понимаю в стационаре увидели хороший отток и решили ждать ремиссии.Теперь понимаю что это стандартная тактика. Спасибо форумчане за инфу ) Ссылка на комментарий
Shargik Опубликовано 20 октября, 2015 Поделиться Опубликовано 20 октября, 2015 В такой ситуации всегда мою через лунку, назначаю а/б, как правило, 2-3 дня и можно закрывать, ни разу проблем не было. 1 Ссылка на комментарий
alekszander Опубликовано 25 декабря, 2015 Поделиться Опубликовано 25 декабря, 2015 Коллеги, 2 дня назад удалил 1.7, на щечном корне киста - получил перфо. т.к. времени на удаление было 20 минут, положил альвостаз сплющенный и ушил. Вчера под вечер пришла лунка пустая, швы сохранены а губка нет. Утром звонит говорит с утра бы кислый привкус из лунки, продлил смену и жду ее чере 4 часа, вот вопрос в тактике:1. Хватит ли если взять два сгустка прф. промыть лунку хлоргексидин+перекись, уложить в лунку сгусток сверху подложить отжатый и зашить?2. мобилизовать и зашиваться наглухо после ревизии и антисептической обработки? Ссылка на комментарий
Fibez Опубликовано 25 декабря, 2015 Поделиться Опубликовано 25 декабря, 2015 альвостаз в лунку не очень хорошая идея в такой ситуации. да и в любой другой тоже. Если хотите ушиваться, то лучше делайте это с помощью самой дешевой гемостатической губкой, формируете сгусток в лунке, вымачиваете её в крови, плющите и подсовываете под края десны вестибулярно и орально, сверху швы. не кетгут. Ссылка на комментарий
alekszander Опубликовано 25 декабря, 2015 Поделиться Опубликовано 25 декабря, 2015 альвостаз в лунку не очень хорошая идея в такой ситуации. да и в любой другой тоже. Если хотите ушиваться, то лучше делайте это с помощью самой дешевой гемостатической губкой, формируете сгусток в лунке, вымачиваете её в крови, плющите и подсовываете под края десны вестибулярно и орально, сверху швы. не кетгут.Знаю, что не есть гуд про альвостаз, но последние 15 лет в клинике хирург работал так, приходится все поднимать с нуля, а это все$.. Ну да ладно, это мелочи жизни.Что скажите про вариант, вместо губки - прф? Ссылка на комментарий
Astronaft Опубликовано 25 декабря, 2015 Поделиться Опубликовано 25 декабря, 2015 вместо губки - прф? Попробуйте. Хуже не сделаете.Но надеятся на многое вряд ли стоит - лунка уже "грязная".Своим ходом отгранулирует. 1 Ссылка на комментарий
gum Опубликовано 30 декабря, 2015 Поделиться Опубликовано 30 декабря, 2015 Была подобная ситуация, но сразу после удаления, заложил прф, сверху альвостаз и ушил. Полет нормальный. Но это было 1 раз Ссылка на комментарий
Рекомендуемые сообщения
Для публикации сообщений создайте учётную запись или авторизуйтесь
Вы должны быть пользователем, чтобы оставить комментарий
Создать аккаунт
Зарегистрируйте новый аккаунт в нашем сообществе. Это очень просто!
Регистрация нового пользователяВойти
Уже есть аккаунт? Войти в систему.
Войти