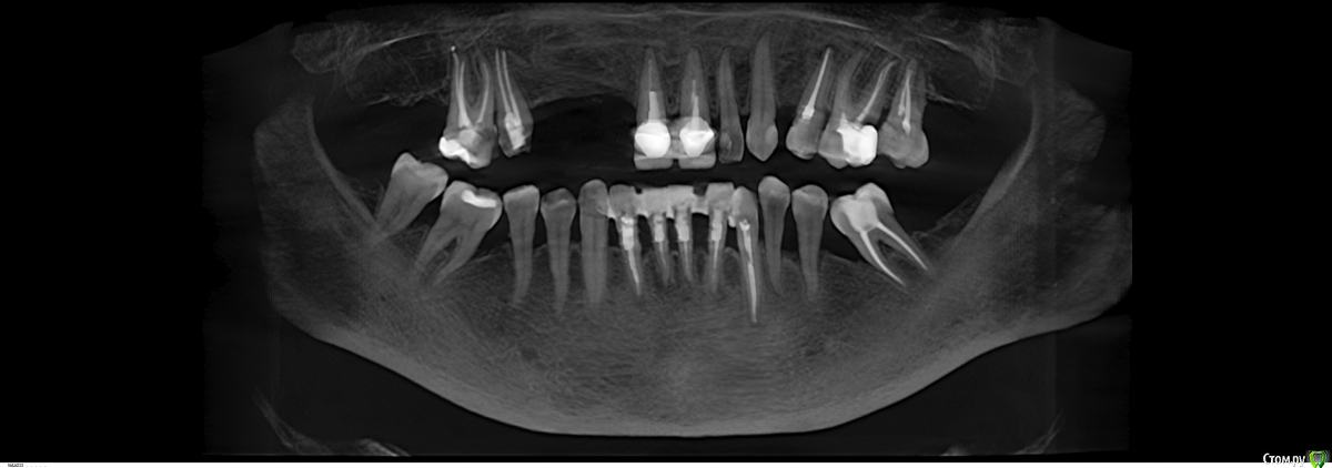
Robinbobin Опубликовано 9 сентября, 2015 Поделиться Опубликовано 9 сентября, 2015 Зуб 1.1 удалил,кюретаж и одномоментно установлен имплантат, заполнил MP3 и закрутил заглушкуУстановил имплантаты в области 1.3,1.4 подсыпал так же MP3 под мембрану и запинилЕсли покажите пальцем на ошибки буду благодарен))) 4 Ссылка на комментарий
Большой Зеленый Опубликовано 9 сентября, 2015 Поделиться Опубликовано 9 сентября, 2015 11 имплант нужно было медиальнее ставить и чуть еще утопить платформу 1 Ссылка на комментарий
колесников Опубликовано 9 сентября, 2015 Поделиться Опубликовано 9 сентября, 2015 Одномоментно желательно глубже ставить ,до 2мм по гребню уходит в последствии. У 12 обязательно сст . Впрочем можно было и в обл 13,14 им обойтись,но это дело вкуса. П-образный шов препочтителен,не будет расхождений и дополнительный объем на вершине получается. Ссылка на комментарий
zzkz Опубликовано 10 сентября, 2015 Поделиться Опубликовано 10 сентября, 2015 кмк можно ССТ положить и не аугментироваться в обл 13,14 Ссылка на комментарий
Bier Опубликовано 13 сентября, 2015 Поделиться Опубликовано 13 сентября, 2015 ставить нужно учитывая шейку будущего зуба, а не глубже "потому что часть кости уйдет" Тут будет некрасивая ортопедия. 2 Ссылка на комментарий
SergeyAL Опубликовано 13 сентября, 2015 Поделиться Опубликовано 13 сентября, 2015 полностью согласен, у ортопеда будет много проблем с эстетикой из-за разного уровня шеек имплантатов. Ссылка на комментарий
Evikrol Опубликовано 13 сентября, 2015 Поделиться Опубликовано 13 сентября, 2015 Теперь доктор ночами спать плохо будет Ссылка на комментарий
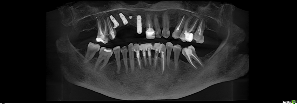
Robinbobin Опубликовано 14 сентября, 2015 Автор Поделиться Опубликовано 14 сентября, 2015 Шаблон был?нет шаблона не было Ссылка на комментарий
Robinbobin Опубликовано 14 сентября, 2015 Автор Поделиться Опубликовано 14 сентября, 2015 ставить нужно учитывая шейку будущего зуба, а не глубже "потому что часть кости уйдет" Тут будет некрасивая ортопедия.СпасибоОртопедию обязательно выложу и покажу))) 1 Ссылка на комментарий
Рекомендуемые сообщения
Для публикации сообщений создайте учётную запись или авторизуйтесь
Вы должны быть пользователем, чтобы оставить комментарий
Создать аккаунт
Зарегистрируйте новый аккаунт в нашем сообществе. Это очень просто!
Регистрация нового пользователяВойти
Уже есть аккаунт? Войти в систему.
Войти