Перейти к содержанию
Стоматология для всех

Прошу оценить план лечения: спереди консоль, в глубине съёмники.


nickkkkkk

Рекомендуемые сообщения

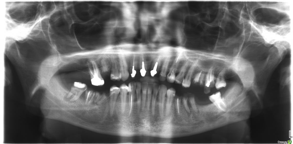
Здравствуйте, уважаемые стоматологи! Прошу оценить план лечения, предложенный протезистом. Мне 28 лет, линия улыбки высокая. Хотелось бы, чтобы протезы и коронки были незаметны для окружающих. Финансово ограничен, имплантаты потянуть не смогу. 

 

На 11 и 21 зубах стоят спаренные пластмассовые коронки уже около 7 лет, они немного подвижны; корень 21 эти годы был чуть болезненный при нажатии на десну, и там иногда появлялась маленькая фистула. На 12 около года стояла пластмассовая коронка, она слетела и вкладка на днях вывалилась. 15, 26, 36, 43, 46, 47, 48 при жевании периодически воспаляются (или воспалялись раньше), причём 43 воспаляется редко, но когда это случается, то болит нестерпимо.

 

Протезист предложила: удалить 15, 12, 26, 27, 36, 46, 47, 48; на 21, 11, 12 сделать мост с нависающей частью над 12; на остальные пустые места - съёмники либо из акри-фри, либо акриловые. Уверяла, что корни 21 и 11 хорошие и выдержат консоль. 

 

Дополнительно интересуют вопросы:

1. Смогу ли я лет через 10 - 15 - 20 установить имплантаты? Врач сказала, что при правильном протезировании убыль кости будет минимальна и возможной будущей имплантации никак не помешает.

2. Какое количество зубов можно удалять за раз? Знаю, удаление травматично, но и "отрезать хвост по кусочкам" не хочется.

3. Какой формы должна быть касающаяся десны в области 12 зуба часть консоли? Там должно быть "промывное пространство"? Будет ли оно заметно со стороны?

4. Что выбрать: акрил или акри-фри? Будут ли со стороны заметны съёмники, их кламмеры? Врач уверяла, что почти не будут. Удастся ли мне скрывать их при, скажем так, личной жизни? 

5. Что делать с 23? Или ничего пока не делать?

6. Что делать с 43?

 

Прошу прощения за длинный текст и заранее благодарю за ответы.

post-38374-0-10438200-1441783338_thumb.jpg

post-38374-0-43940700-1441783838_thumb.jpg

post-38374-0-28456100-1441783876_thumb.jpg

Ссылка на комментарий

http://s020.radikal.ru/i700/1509/75/5c737e00ea40.jpg

 

Сиреневые кружки - удалять, зелёные стрелы под вопросом, возможно так же на выход. Красная стрела-перелечить. с 43 проблем не вижу. Забудьте про консоли , делайте Акри фри на обе челюсти. Если никто Вам не будет засовывать глаз в рот, то и протезов не заметит. А через 20 лет Вам из Ваших же клеток вырастят нижнюю челюсть и поменяют как зап.часть. С верхом будет ещё проще. Удалять можно хоть все "гнилухи" за раз. Удачи.

Ссылка на комментарий

Для публикации сообщений создайте учётную запись или авторизуйтесь

Вы должны быть пользователем, чтобы оставить комментарий

Создать аккаунт

Зарегистрируйте новый аккаунт в нашем сообществе. Это очень просто!

Регистрация нового пользователя

Войти

Уже есть аккаунт? Войти в систему.

Войти
×
×
  • Создать...
Вверх