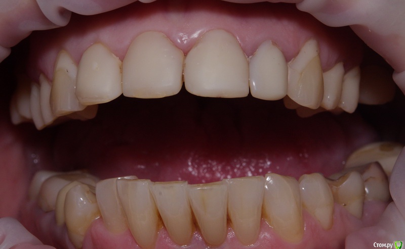
NazranDantist Опубликовано 4 сентября, 2015 Поделиться Опубликовано 4 сентября, 2015 (изменено) Замена старых композитных реставраций.Пациент эстетикой довольна, хотя мне надоели такие тона . Как думаете, сосочек вырастет? Изменено 4 сентября, 2015 пользователем NazranDantist 1 Ссылка на комментарий
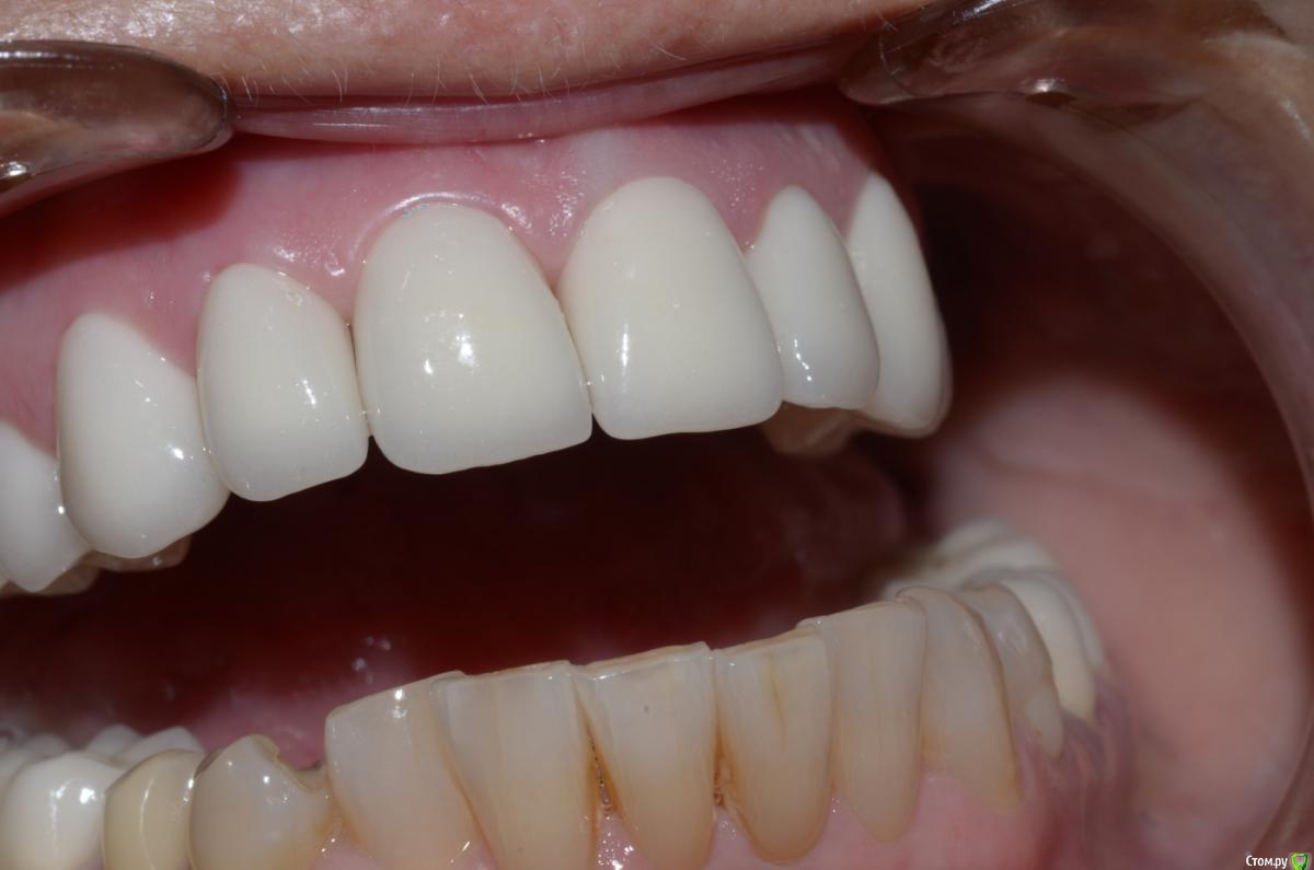
chervoncevdaniil Опубликовано 4 сентября, 2015 Поделиться Опубликовано 4 сентября, 2015 (изменено) Чтож пациент низ то не захотели закончить,прям глаз режет.Сосочек думаю заполнит пространство Изменено 4 сентября, 2015 пользователем chervoncevdaniil Ссылка на комментарий
Aquarius Опубликовано 5 сентября, 2015 Поделиться Опубликовано 5 сентября, 2015 Да ну, опаково как-то смотрится. Индивидуальности нет. Чуть бы подкрасить, режущий транспом выделить и будет лучше Ссылка на комментарий
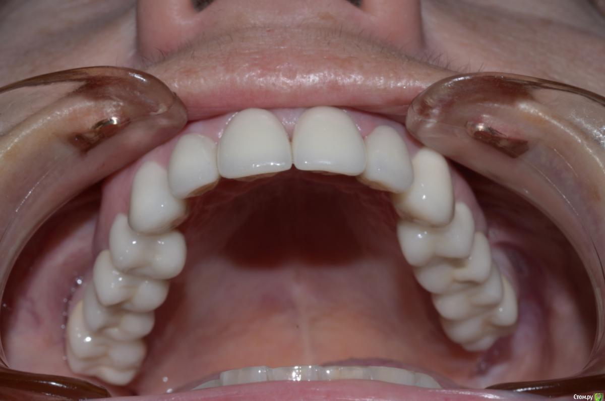
PaulSky Опубликовано 5 сентября, 2015 Поделиться Опубликовано 5 сентября, 2015 Думаю, работа старательная! Конечно,9 единиц не хватило для эстетики и выравнивания окклюзионных плоскостей. Фото препарирования еще хочется увидеть. Зубы вкв не укреплялись? Ссылка на комментарий
NazranDantist Опубликовано 5 сентября, 2015 Автор Поделиться Опубликовано 5 сентября, 2015 Думаю, работа старательная! Конечно,9 единиц не хватило для эстетики и выравнивания окклюзионных плоскостей. Фото препарирования еще хочется увидеть. Зубы вкв не укреплялись?Почти все зубы живые остались, только перелечили, те что уже были депульпированные (нижние моляры и кажется на верху какойто моляр был). Вкладок и штифтов нигде нету. Ссылка на комментарий
NazranDantist Опубликовано 5 сентября, 2015 Автор Поделиться Опубликовано 5 сентября, 2015 Да ну, опаково как-то смотрится. Индивидуальности нет. Чуть бы подкрасить, режущий транспом выделить и будет лучшеОпаковости много, я согласен, немного проблема у техника. Цвет - выбор пациента, первый вариант был А-1, А-2 и не такие "гладкие", с рельефом. Ссылка на комментарий
TIGER Опубликовано 5 сентября, 2015 Поделиться Опубликовано 5 сентября, 2015 а почему не пресс-керамика? Ссылка на комментарий
NazranDantist Опубликовано 5 сентября, 2015 Автор Поделиться Опубликовано 5 сентября, 2015 а почему не пресс-керамика?Эмали почти не было, композитные реставрации были объемные. Ссылка на комментарий
TIGER Опубликовано 5 сентября, 2015 Поделиться Опубликовано 5 сентября, 2015 Эмали почти не было, композитные реставрации были объемные.Так полную коронку можно было из E-maxa сделать,эмали важна для винира) Ссылка на комментарий
Рекомендуемые сообщения
Для публикации сообщений создайте учётную запись или авторизуйтесь
Вы должны быть пользователем, чтобы оставить комментарий
Создать аккаунт
Зарегистрируйте новый аккаунт в нашем сообществе. Это очень просто!
Регистрация нового пользователяВойти
Уже есть аккаунт? Войти в систему.
Войти