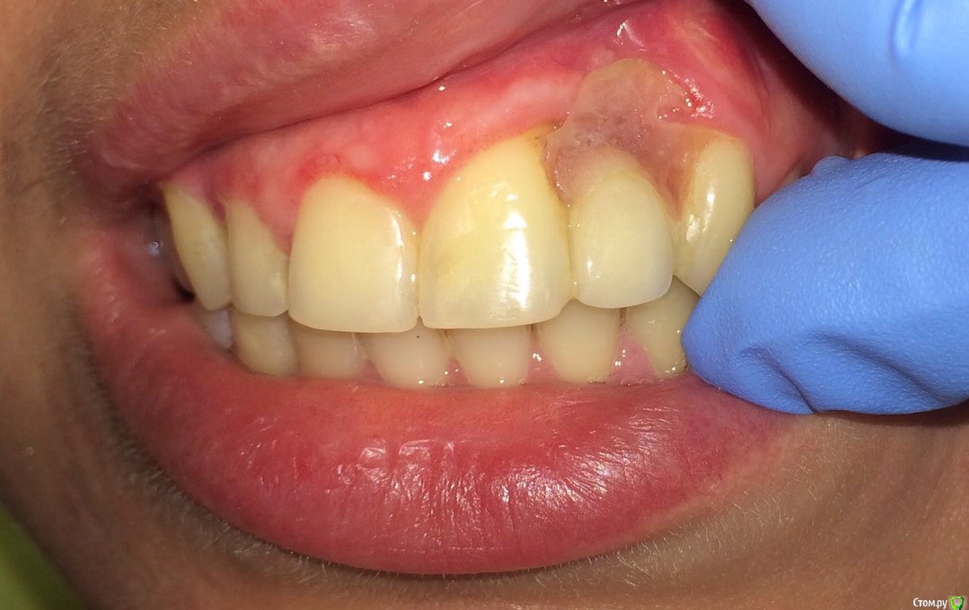
_Evgenia_ Опубликовано 3 сентября, 2015 Поделиться Опубликовано 3 сентября, 2015 Мне 29 лет. У меня нет двойки. Когда то выпал молочный зуб, коренной не вырос. Посоветовавшись с врачом, решила поставить имплантат. Т.к. зуба априори нет, то и кости соответственно тоже. Было принято решение вживить искусственную кость. Понадобилось несколько операций, а именно около 3х, с промежутком по пол года, чтобы ее оказалось нужное количество .Кое как, кость прижилась и через 7 месяцев поставили винт…так я проходила около 3 месяцев. После этого, искусственная кость начала просачиваться сквозь десну, и выходить белыми шариками и с неприятным, резким запахом белой жидкостью. Операция, мне вытащили винт, оставив кость. Сказав,что жидкость это показатель приживания инородного тела в организме. Проходив так еще 2 месяца, снова операция по удалению кости, в надежде, что жидкость перестанет течь. Это не помогло. Проконсультировавшись у других специалистов, было выявлено, что с моими деснами с расстоянием между зубами мне ни один имплантант не подойдет. Вопрос от чего может идти жидкость, как ее убрать и какие варианты есть чтобы закрыть дырку. Сейчас я хожу с подвисным (временным) зубом с конструкцией бабочка.Еще проблема в том,что нет десневого сосочка. Может кто то сталкивался с подобной ситуацией?! Это растянулось уже года на 4. А хочется поставить наконец точку. Есть общий снимок и снимок КТ. Ссылка на комментарий
stommm Опубликовано 3 сентября, 2015 Поделиться Опубликовано 3 сентября, 2015 Очень непростой случай. Для что бы получить удовлетворительный эстетический и функциональный результат возможно даже понадобится удалить и центральный резец и клык с последующей костной пластикой. Ссылка на комментарий
_Evgenia_ Опубликовано 3 сентября, 2015 Автор Поделиться Опубликовано 3 сентября, 2015 Мне предлагали вариант с костной пластикой, но конечно никто не дает 100%гарантии...я и сама это понимаю...Но я так намучалась за 4 года, что наверное этот вариант хочу исключить.Неужели нет вариантов с минимальными потерями ?! Ссылка на комментарий
doca Опубликовано 3 сентября, 2015 Поделиться Опубликовано 3 сентября, 2015 (изменено) Мне предлагали вариант с костной пластикой, но конечно никто не дает 100%гарантии...я и сама это понимаю...Но я так намучалась за 4 года, что наверное этот вариант хочу исключить.Неужели нет вариантов с минимальными потерями ?! Мне предлагали вариант с костной пластикой, но конечно никто не дает 100%гарантии...я и сама это понимаю...Но я так намучалась за 4 года, что наверное этот вариант хочу исключить.Неужели нет вариантов с минимальными потерями ?! Как вариант с минимальными потерями- "наращивание "десны в области отсутствующего зуба, изготовление коронки на 21 с подвесным 22. Изменено 3 сентября, 2015 пользователем doca 1 Ссылка на комментарий
doca Опубликовано 3 сентября, 2015 Поделиться Опубликовано 3 сентября, 2015 Мне предлагали вариант с костной пластикой, но конечно никто не дает 100%гарантии...я и сама это понимаю...Но я так намучалась за 4 года, что наверное этот вариант хочу исключить.Неужели нет вариантов с минимальными потерями ?! Да, и срочно убрать розовую лепнину над искусственным зубом Ссылка на комментарий
carloss Опубликовано 3 сентября, 2015 Поделиться Опубликовано 3 сентября, 2015 Боюсь, что более менее нормальной эстетики без удаления(вытяжения) центрального соседнего зуба уже не получить. 3 Ссылка на комментарий
Alberto Опубликовано 3 сентября, 2015 Поделиться Опубликовано 3 сентября, 2015 Соглашусь с doca , минимальные потери это коронка на 21 и консоль 22 , или как вариант 23 под опору взять. Ссылка на комментарий
колесников Опубликовано 3 сентября, 2015 Поделиться Опубликовано 3 сентября, 2015 Я бы предложил вам ортодонтическое вытягивание 21 зуба с последующей заменой на имплант . Коронка на 21,на 22 консоль. Пластика десны в области 21,22,23. Если оставить как есть ,можно и клык в последствии потерять. Ссылка на комментарий
_Evgenia_ Опубликовано 3 сентября, 2015 Автор Поделиться Опубликовано 3 сентября, 2015 Вопрос был еще про жидкость из десны..Что с ней то делать? Это же тоже не нормальное явление.. Ссылка на комментарий
hemchik Опубликовано 4 сентября, 2015 Поделиться Опубликовано 4 сентября, 2015 (изменено) Скорее всего остатки костного трансплантата таким образом выходятСделать ревизию данного участка.решать проблему с протезирование. Кость не прижилась тк корни зубов оголены. Если вам хочется иплантаты на этом месте придется удалить 21(вытягивать) и возможно 23.это затянется на год минимум.на период реабилитации можно попробовать консольный протез с 23 зуба на 22. Изменено 4 сентября, 2015 пользователем hemchik Ссылка на комментарий
faity Опубликовано 4 сентября, 2015 Поделиться Опубликовано 4 сентября, 2015 я бы через ортодонтию всё делал. здесь ещё из-за перегрузки могут проблемы быть. Ссылка на комментарий
_Evgenia_ Опубликовано 4 сентября, 2015 Автор Поделиться Опубликовано 4 сентября, 2015 Я не хочу иплантант делать...да и сходив на множество консультаций ....мне сказали,, что с моими деснами с расстоянием между зубами мне ни один имплантант не подойдет.... Ссылка на комментарий
faity Опубликовано 4 сентября, 2015 Поделиться Опубликовано 4 сентября, 2015 вы в Питере живете, найдите в гугле Олега Пономарева, если он скажет всё плохо-то реально всё плохо.множество консультаций не равно адекватный план лечения 4 Ссылка на комментарий
_Evgenia_ Опубликовано 4 сентября, 2015 Автор Поделиться Опубликовано 4 сентября, 2015 а может кто-то ещё посоветует врача, который возможно работает со сложными ситуациями...? Ссылка на комментарий
red_butler Опубликовано 4 сентября, 2015 Поделиться Опубликовано 4 сентября, 2015 а может кто-то ещё посоветует врача, который возможно работает со сложными ситуациями...?присоединюсь к рекомендации faity Ссылка на комментарий
stommm Опубликовано 4 сентября, 2015 Поделиться Опубликовано 4 сентября, 2015 а может кто-то ещё посоветует врача, который возможно работает со сложными ситуациями...?+ 1 сходите к Пономареву Олегу Юрьевичу. Если помочь можно, он сможет. Ссылка на комментарий
Evikrol Опубликовано 4 сентября, 2015 Поделиться Опубликовано 4 сентября, 2015 Послушайте совета врачей Олег Юрьевич творит чудеса Ссылка на комментарий
_Evgenia_ Опубликовано 7 сентября, 2015 Автор Поделиться Опубликовано 7 сентября, 2015 Прямо реклама какая то этого врача....) Я ходила к Пономареву Олегу Юрьевичу. Как я считаю, он не проникся моей ситуацией. И предложил один ! крайне сложный вариант лечения...Для начала предложил поставить снова брекет систему,чтобы было расстояние больше для имплантанта...а дальше вобще не видно конца и края лечению... Ссылка на комментарий
IvanK Опубликовано 7 сентября, 2015 Поделиться Опубликовано 7 сентября, 2015 Думаю, что плохого Вам не посоветовали бы... 1 Ссылка на комментарий
faity Опубликовано 8 сентября, 2015 Поделиться Опубликовано 8 сентября, 2015 Прямо реклама какая то этого врача.... ) Я ходила к Пономареву Олегу Юрьевичу. Как я считаю, он не проникся моей ситуацией. И предложил один ! крайне сложный вариант лечения...Для начала предложил поставить снова брекет систему,чтобы было расстояние больше для имплантанта...а дальше вобще не видно конца и края лечению...я вам в #11 посте тоже самое рекомендовал, независимо от Олега. Может есть повод задуматься? Ссылка на комментарий
Рекомендуемые сообщения
Для публикации сообщений создайте учётную запись или авторизуйтесь
Вы должны быть пользователем, чтобы оставить комментарий
Создать аккаунт
Зарегистрируйте новый аккаунт в нашем сообществе. Это очень просто!
Регистрация нового пользователяВойти
Уже есть аккаунт? Войти в систему.
Войти