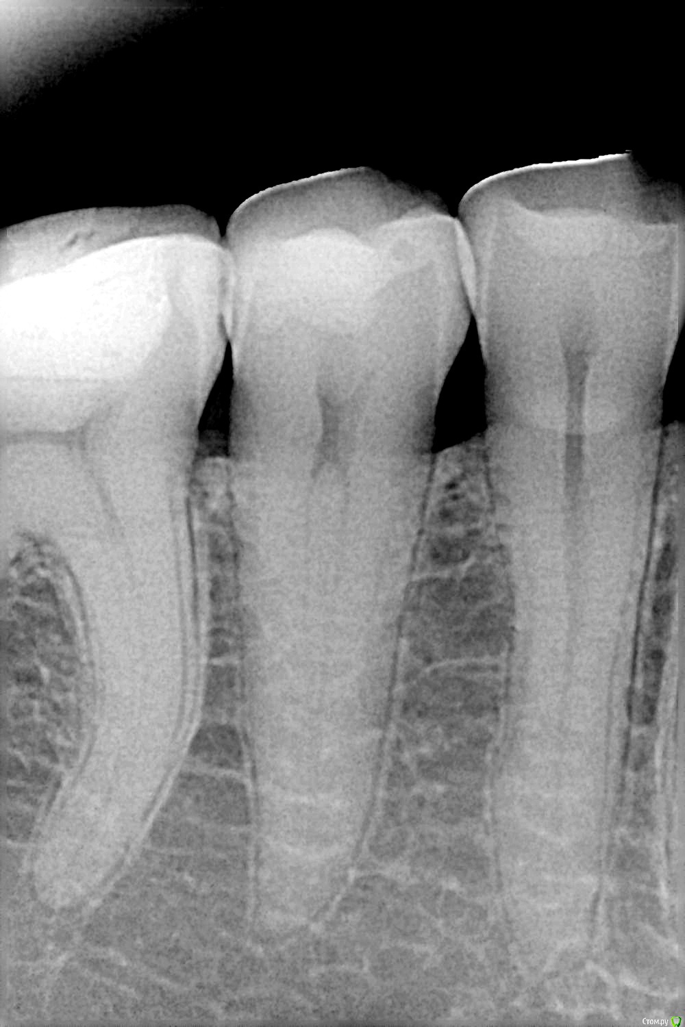
imageaz Опубликовано 3 сентября, 2015 Поделиться Опубликовано 3 сентября, 2015 Здравствуйте, товарищи стоматологи! В период с 5 по 11 августа были пролечены три зуба, 7, 5, 4, ...7,5-средний кариес, 4-запечатали фиссуры... Протокол соблюден...Сначала была гиперчувствительность, и ныли, списали на постпломбировочные боли(в течении недели) Пошла третья неделя, зубы ноют,( по ощущения вроде 7 или 5) на ночь пью найз половину таблетки, хватает на сутки... Начало ныть ухо, и ощущения в виске, по снимку все вроде нормально, есть небольшое воспаление на корне семерки, вскрыли пломбу, поставили лечебный цемент, прошло четыре дня, боли продолжаются...Ни я, ни стоматолог не можем понять, какой конкретно зуб болит(дули, стучали, прикладывали холод)... Вскрывать все пломбы, и депульпировать??? Снимки прилагаю, может, кто-нибудь увидит, что мой стоматолог не видит...Заранее спасибо! 1 Ссылка на комментарий
red_butler Опубликовано 3 сентября, 2015 Поделиться Опубликовано 3 сентября, 2015 Протокол соблюден ??? увереныВообще, нужно проводить холодовые пробы, для этого применяется сжиженный газ из баллончика Ссылка на комментарий
imageaz Опубликовано 3 сентября, 2015 Автор Поделиться Опубликовано 3 сентября, 2015 Я не могу быть уверена, не я же делала... Но в компетентности врача не сомневаюсь( уже у него лечилась и не раз, и не только я) Т.е, я должна ему предложить провести эту процедуру? Я совсем не хочу депульпировать зубы, да еще и не ясно какой конкретно..Спасибо за ответ! Ссылка на комментарий
Stomart Опубликовано 3 сентября, 2015 Поделиться Опубликовано 3 сентября, 2015 Попросите доктора обратить внимание на 6й зуб, там пломба располагается близко к нерву. 1 Ссылка на комментарий
Shaid Опубликовано 4 сентября, 2015 Поделиться Опубликовано 4 сентября, 2015 Изолируется коффердамом один зуб, проводится холодовая проба. И так - каждый зуб по отдельности. 1 Ссылка на комментарий
red_butler Опубликовано 4 сентября, 2015 Поделиться Опубликовано 4 сентября, 2015 я должна ему предложить провести эту процедуру?нет, это Ваш доктор, если не может выполнить диф диагностику, должен обратиться за помощью к коллегам, почитать литературу или создать соответствующую тему во врачебном разделе форума.Мы врачи народ ой какой ранимый и очень не любим когда пациенты нам говорят, что делать или учат как работать. Ссылка на комментарий
imageaz Опубликовано 4 сентября, 2015 Автор Поделиться Опубликовано 4 сентября, 2015 На 6-ку обращали внимание, пломба там стоит года 4, никогда не беспокоил...Его стучали, холод прикладывали, дули на него, реакции никакой...Впрочем, как и у 4,5,7... слегка слышу 5,7, но в кресле не прыгаю. А левая сторона челюсти продолжает ныть( не ярко выражено)Ну это же не пульпит???Спасибо за ответы!) Ссылка на комментарий
imageaz Опубликовано 4 сентября, 2015 Автор Поделиться Опубликовано 4 сентября, 2015 Мы врачи народ ой какой ранимый и очень не любим когда пациенты нам говорят, что делать или учат как работать. Получается, что я должна ему сказать, чтобы он обратился за помощью к коллегам!))) Это его его не так сильно расстроит, наверное))) Ссылка на комментарий
red_butler Опубликовано 4 сентября, 2015 Поделиться Опубликовано 4 сентября, 2015 Покажите ОПГ. Получается, что я должна ему сказать, чтобы он обратился за помощью к коллегам!))) Это его его не так сильно расстроит, наверное))) Нет, просто сходите на консультацию к другому врачу Ссылка на комментарий
imageaz Опубликовано 4 сентября, 2015 Автор Поделиться Опубликовано 4 сентября, 2015 ОПГ нет, но вероятно, надо сделать уже! Ссылка на комментарий
Рекомендуемые сообщения
Для публикации сообщений создайте учётную запись или авторизуйтесь
Вы должны быть пользователем, чтобы оставить комментарий
Создать аккаунт
Зарегистрируйте новый аккаунт в нашем сообществе. Это очень просто!
Регистрация нового пользователяВойти
Уже есть аккаунт? Войти в систему.
Войти