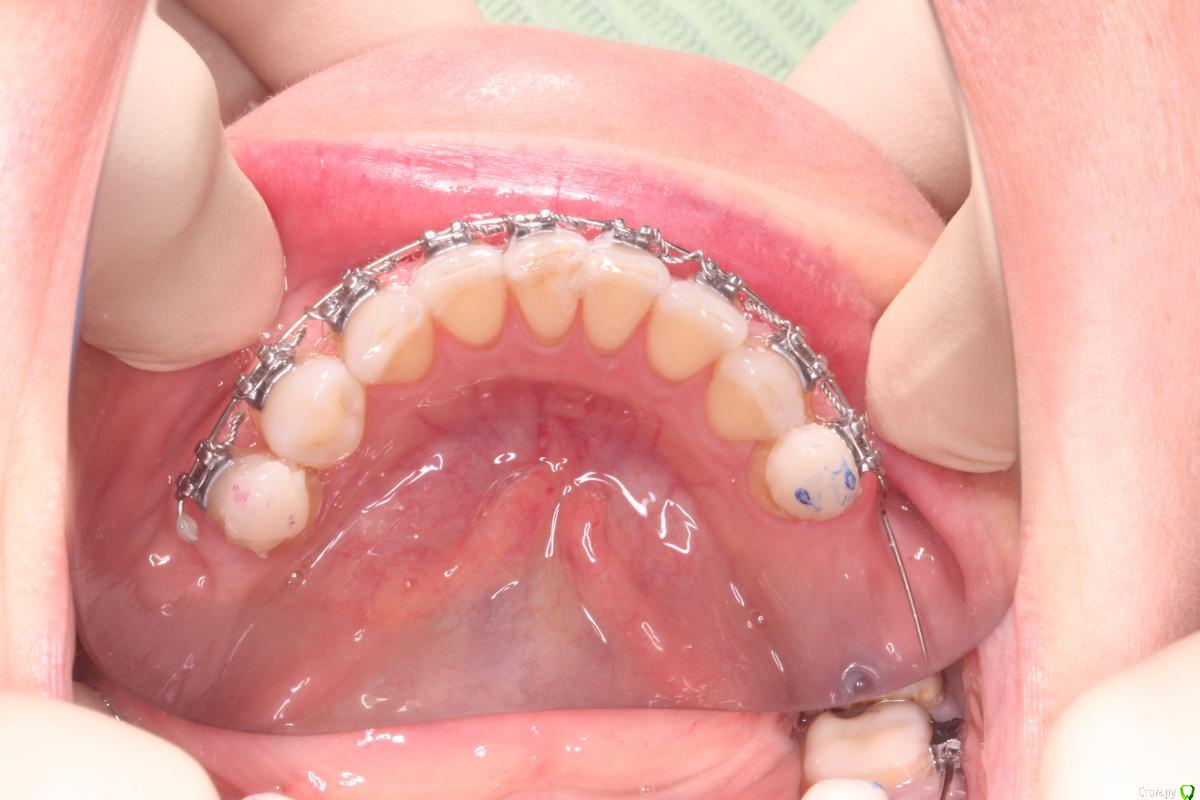
Monkey Опубликовано 2 сентября, 2015 Поделиться Опубликовано 2 сентября, 2015 Коллеги, посоветуйте, пожалуйста, что делать в таких ситуациях?Пациентке провожу нивелировку фронтального отдела нижней челюсти ( подготовка перед протезированием).Ни в какую не встает зуб 41.Изначально пружинами дистализировала по одному зубы: 45, затем 44,43,42, зуб не встал, видимо место было потеряно (давала восьмиобразную связку на перемещенные зубы). После этого сепарировала, и брекет несколько раз переклеивала ( в том числе с гиперкоррекцией), ни в какую. В чем тут дело? что я делаю не так? может быть недостаточно плотно лигирую?и как решить проблему? Ссылка на комментарий
Maverick Опубликовано 2 сентября, 2015 Поделиться Опубликовано 2 сентября, 2015 Причины : недостаток места, у вас весь фронт стоит зажато, будет место встанет все,далее: дуга не заполняет полнстью паз брекета, лигатуры слишком толстые по сечению и не удается плотно прижать при лигировании, сама дуга по сечению должна быть большого диаметра, чтобы заполнять паз брекета полнстью, сам брекет может быть наклеен не по оси, может быть под брекетом материал от фиксации, может быть виноват сам паз брекета, какой - то внутренний дефект. Попробуйте сделать изгиб и плотно залигировть , причем изгибы нужны будут на всем фронте и еще захватить клык. Потому что зубной ряд неровный. Дугу лучше использовать тма она мягкая, либо сталь если под рукой нет тма. Сечение 17х25 для тма, и 16х22 для стальной. 2 Ссылка на комментарий
Monkey Опубликовано 2 сентября, 2015 Автор Поделиться Опубликовано 2 сентября, 2015 Причины : недостаток места, у вас весь фронт стоит зажато, будет место встанет все,далее: дуга не заполняет полнстью паз брекета, лигатуры слишком толстые по сечению и не удается плотно прижать при лигировании, сама дуга по сечению должна быть большого диаметра, чтобы заполнять паз брекета полнстью, сам брекет может быть наклеен не по оси, может быть под брекетом материал от фиксации, может быть виноват сам паз брекета, какой - то внутренний дефект. Попробуйте сделать изгиб и плотно залигировть , причем изгибы нужны будут на всем фронте и еще захватить клык. Потому что зубной ряд неровный. Дугу лучше использовать тма она мягкая, либо сталь если под рукой нет тма. Сечение 17х25 для тма, и 16х22 для стальной.Спасибо большое за советы!А если паз 018, то тма какую лучше взять 16х16 или 16х22? Ссылка на комментарий
Maverick Опубликовано 2 сентября, 2015 Поделиться Опубликовано 2 сентября, 2015 (изменено) Лучше 16х22 Изменено 2 сентября, 2015 пользователем Maverick Ссылка на комментарий
Yana guapa Опубликовано 3 сентября, 2015 Поделиться Опубликовано 3 сентября, 2015 судя по фасеткам стираемости лигирование и переклейка здесь не помогут. Нижний зубной ряд нуждается в расширении. Но это невозможно при таком оверджет. Ну только если жесткий стрипинг. 1 Ссылка на комментарий
Yana guapa Опубликовано 3 сентября, 2015 Поделиться Опубликовано 3 сентября, 2015 думаю если убрать ок.накладки и проверить контакты - вся передняя поверхность нижних резцов окрасится. такие контакты плотные не дают стать ровно зубам. Надо расширять верх (ну или хотя бы изменить инклинацию верхних резцов) 2 Ссылка на комментарий
Monkey Опубликовано 3 сентября, 2015 Автор Поделиться Опубликовано 3 сентября, 2015 (изменено) судя по фасеткам стираемости лигирование и переклейка здесь не помогут. Нижний зубной ряд нуждается в расширении. Но это невозможно при таком оверджет. Ну только если жесткий стрипинг. Да, по перекрытию я смотрела, пространство (небольшое) есть. Я думаю, я еще сама связками (8-ками) заузила.Сейчас все зубы залигировала по одному и, действительно, попробую прямоугольную дугу- торк пойдет (брекеты на резцах 0*) может быть за счет этого расправятся...ну и плюс посепарирую еще.Спасибо за советы! Изменено 3 сентября, 2015 пользователем Monkey Ссылка на комментарий
Yana guapa Опубликовано 3 сентября, 2015 Поделиться Опубликовано 3 сентября, 2015 Да, по перекрытию я смотрела, пространство (небольшое) есть. Я думаю, я еще сама связками (8-ками) заузила. Про ВЧ речь идет?Были брекеты вверху? Сейчас все зубы залигировала по одному и, действительно, попробую прямоугольную дугу- торк пойдет (брекеты на резцах 0*) может быть за счет этого расправятся.... не думаю, что это поможет. при отсутвие должного оверджета не получится протрузии, а значит и разворачиваться некуда будет. и прямоугольная дуга не поможет при таком дефиците места. процесс пойдет только тогда, когда появится место. это либо 1. создание оверджета (за счет ВЧ), или 2. сепарация НЧ 3. как вариант дистализация премоляров (если окклюзионные контакты позволяют (как сейчас по прикусу в боковых отделах? есть фото?) ) Ссылка на комментарий
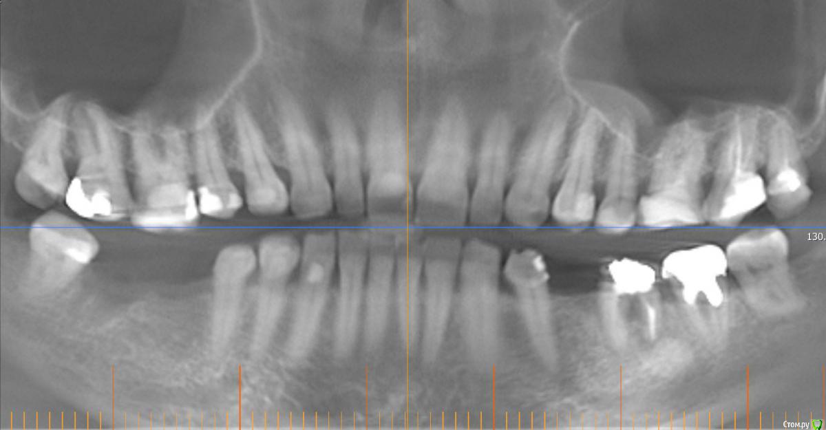
Monkey Опубликовано 6 сентября, 2015 Автор Поделиться Опубликовано 6 сентября, 2015 Про ВЧ речь идет?Были брекеты вверху? не думаю, что это поможет. при отсутвие должного оверджета не получится протрузии, а значит и разворачиваться некуда будет. и прямоугольная дуга не поможет при таком дефиците места. процесс пойдет только тогда, когда появится место. это либо 1. создание оверджета (за счет ВЧ), или 2. сепарация НЧ 3. как вариант дистализация премоляров (если окклюзионные контакты позволяют (как сейчас по прикусу в боковых отделах? есть фото?) ) Нет, брекетов на вч не было. Фотографии боковых отделов есть только июньские. Дистализировать там больше нельзя.Выходит вариант один - сепарировать весь фронт? Ссылка на комментарий
Yana guapa Опубликовано 7 сентября, 2015 Поделиться Опубликовано 7 сентября, 2015 Дистализировать там больше нельзя.Выходит вариант один - сепарировать весь фронт? или ставить брекеты наверх)) справа 2 класс, ротирована НЧ вправо походу. (средние линии не совпадают, а при открытии рта выравниваются). у вас все равно компромиссное лечение (не до идеала, судя по бугорковому смыканию, наличию 8-к, заваленным 7-кам,....), то тогда и посепарировать можно. по-другому не впихнуть резцы. 1 Ссылка на комментарий
Monkey Опубликовано 7 сентября, 2015 Автор Поделиться Опубликовано 7 сентября, 2015 или ставить брекеты наверх)) справа 2 класс, ротирована НЧ вправо походу. (средние линии не совпадают, а при открытии рта выравниваются). у вас все равно компромиссное лечение (не до идеала, судя по бугорковому смыканию, наличию 8-к, заваленным 7-кам,....), то тогда и посепарировать можно. по-другому не впихнуть резцы. думаю там преждевременный контакт на 8-ке левой, вот она и скатывается. Яна, спасибо большое за советы! Ссылка на комментарий
Yana guapa Опубликовано 7 сентября, 2015 Поделиться Опубликовано 7 сентября, 2015 думаю там преждевременный контакт на 8-ке левой, вот она и скатывается. так удаляйте их! )) и на имплантах ( и коронках, думаю вы их тоже там планирует) поднимите немного прикус. Напрашивается. + Не будет такого плотного контакта на резцах Ссылка на комментарий
Monkey Опубликовано 9 сентября, 2015 Автор Поделиться Опубликовано 9 сентября, 2015 (изменено) так удаляйте их! )) и на имплантах ( и коронках, думаю вы их тоже там планирует) поднимите немного прикус. Напрашивается. + Не будет такого плотного контакта на резцах а вот никак - пациентка и ортопед категорически против о всех последствиях имеющихся и возможных оба в курсе. Изменено 9 сентября, 2015 пользователем Monkey Ссылка на комментарий
Maverick Опубликовано 9 сентября, 2015 Поделиться Опубликовано 9 сентября, 2015 Можно подвергнуть сепарации нижний зубной ряд от премоляра до премоляра. Места будет валом тогда резцам. Плюс с резцов меньше сошлифуете. Ссылка на комментарий
Yana guapa Опубликовано 9 сентября, 2015 Поделиться Опубликовано 9 сентября, 2015 а вот никак - пациентка и ортопед категорически против о всех последствиях имеющихся и возможных оба в курсе. лично я избегаю совместных работ с такими ортопедами, которые имеют другой подход в лечении и другое представление о конечном результате. И конечно же, отказываюсь от пациентов, которые не соглашаются на удаление 8-к (тем более если это критично для лечения) Ссылка на комментарий
udgine1990 Опубликовано 9 сентября, 2015 Поделиться Опубликовано 9 сентября, 2015 Можно подвергнуть сепарации нижний зубной ряд от премоляра до премоляра. Места будет валом тогда резцам. Плюс с резцов меньше сошлифуете.Поддержу сепарацию Ссылка на комментарий
Kazankov.Egor Опубликовано 21 сентября, 2015 Поделиться Опубликовано 21 сентября, 2015 или ставить брекеты наверх)) справа 2 класс, ротирована НЧ вправо походу. (средние линии не совпадают, а при открытии рта выравниваются). Если бы вы понимали насколько это смелое заявление) дельного совета без полной диагностики тут не дать) даже в отношении единственного зуба. у вас все равно компромиссное лечение (не до идеала, судя по бугорковому смыканию, наличию 8-к, заваленным 7-кам,....), то тогда и посепарировать можно. по-другому не впихнуть резцы. Ссылка на комментарий
Рекомендуемые сообщения
Для публикации сообщений создайте учётную запись или авторизуйтесь
Вы должны быть пользователем, чтобы оставить комментарий
Создать аккаунт
Зарегистрируйте новый аккаунт в нашем сообществе. Это очень просто!
Регистрация нового пользователяВойти
Уже есть аккаунт? Войти в систему.
Войти